相关产品推荐更多 >
万千商家帮你免费找货
0 人在求购买到急需产品
- 详细信息
- 文献和实验
- 技术资料
- 免疫原:
KLH conjugated synthetic peptide between 10-37 amino acids from the N-terminal region of human APOA1.
- 亚型:
IgG
- 形态:
Liquid
- 保存条件:
Store as concentrated solution. Centrifuge briefly prior to opening vial. For short-term storage (1-2 weeks), store at 4ºC. For long-term storage, aliquot and store at -20ºC or below. Avoid multiple freeze-thaw cycles.
- 克隆性:
Polyclonal
- 标记物:
Unconjugated
- 适应物种:
Human
- 保质期:
12 months from the shipping date of the product.
- 抗原来源:
Human
- 目录编号:
GTX81467
- 级别:
Primary Antibodies
- 库存:
Available
- 供应商:
GeneTex
- 宿主:
Rabbit
- 应用范围:
WB, IHC-P
- 浓度:
Batch dependent (Please refer to the vial label for the specific concentration.)
- 靶点:
Apolipoprotein A1
- 抗体英文名:
Apolipoprotein A1 antibody, N-term
- 抗体名:
Apolipoprotein A1 抗体, N-term
- 规格:
400 μl
WB analysis of 293 cell lysate (2 ug/lane) either nontransfected (Lane 1) or transiently transfected with the Apolipoprotein A1(Lane 2) using GTX81467 Apolipoprotein A1 antibody, N-term.
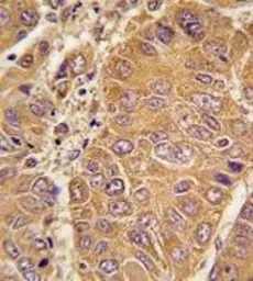
IHC-P analysis of human hepatocarcinoma using GTX81467 Apolipoprotein A1 antibody, N-term.
WB analysis of HepG2 cell lysate (35ug/lane) using GTX81467 Apolipoprotein A1 antibody, N-term.
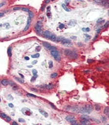
IHC-P analysis of human placenta tissue using GTX81467 Apolipoprotein A1 antibody, N-term.
风险提示:丁香通仅作为第三方平台,为商家信息发布提供平台空间。用户咨询产品时请注意保护个人信息及财产安全,合理判断,谨慎选购商品,商家和用户对交易行为负责。对于医疗器械类产品,请先查证核实企业经营资质和医疗器械产品注册证情况。
文献和实验In the field of therapeutic recombinant proteins, monoclonal antibodies (mAbs) have achieved a rising success with more than 30 mAbs that have reached the market in the past 20 years. From a structural standpoint, one of the most important
人a1-抗胰蛋白酶(a1-Antitrypsin)ELISA试剂盒 说明书
ml 标准品( Standards ): 200ug/ 瓶 2 瓶 底物工作液( TMB Solution ) 12ml 第一抗体工作液( Biotinylated Antibody ) 12ml 终止
大鼠a1-酸性糖蛋白(a1-AGP)ELISA试剂盒 说明书
品( Standards ): 5000ug/ 瓶 2 瓶 底物工作液( TMB Solution ) 12ml 第一抗体工作液( Biotinylated Antibody ) 12ml 终止液 ( Stop Solution
技术资料暂无技术资料 索取技术资料





![Ephrin B2 antibody [N1C1]](https://img1.dxycdn.com/2023/0516/895/8887749495766728561-14.jpg!wh200)

![Histone H4S1ph (phospho Ser1) antibody [RM194]](https://img1.dxycdn.com/2023/0711/451/6106825198874858761-14.jpg!wh200)


