相关产品推荐更多 >
万千商家帮你免费找货
0 人在求购买到急需产品
- 详细信息
- 文献和实验
- 技术资料
- 免疫原:
Noxa Antibody was developed by immunizing mice with a fusion protein containing human Noxa.
- 亚型:
IgG1
- 形态:
Liquid
- 保存条件:
Store as concentrated solution. Centrifuge briefly prior to opening vial. For short-term storage (1-2 weeks), store at 4ºC. For long-term storage, aliquot and store at -20ºC or below. Avoid multiple freeze-thaw cycles.
- 克隆性:
Monoclonal
- 标记物:
Unconjugated
- 适应物种:
Human, Mouse, Rat
- 保质期:
12 months from the shipping date of the product.
- 抗原来源:
Human
- 目录编号:
GTX13654
- 级别:
Primary Antibodies
- 库存:
Available
- 供应商:
GeneTex
- 宿主:
Mouse
- 应用范围:
WB, ICC/IF, IHC-P
- 浓度:
1 mg/ml (Please refer to the vial label for the specific concentration.)
- 靶点:
Noxa
- 抗体英文名:
Noxa antibody [114C307.1]
- 抗体名:
Noxa 抗体 [114C307.1]
- 规格:
100 μg
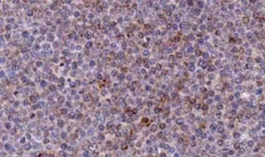
IHC-P analysis of chronic lymphocytic leukemia (CLL) xenograft tissue using GTX13654 Noxa antibody [114C307.1].
Dilution : 1:2000
ICC/IF analysis of HeLa cells using GTX13654 Noxa antibody [114C307.1].
Green : primary antibody
Red : Tubulin
Blue : DAPI
Dilution : 1:10
WB analysis of (A) 293 cell ovreexpressing human Noxa, (B) RL-7, and (C) T98G cell lysate using GTX13654 Noxa antibody [114C307.1].
风险提示:丁香通仅作为第三方平台,为商家信息发布提供平台空间。用户咨询产品时请注意保护个人信息及财产安全,合理判断,谨慎选购商品,商家和用户对交易行为负责。对于医疗器械类产品,请先查证核实企业经营资质和医疗器械产品注册证情况。
文献和实验Ogiwara H et al., Cancer Cell 2019 (PMID:30686770)
双特异抗体(Bispecific antibody)的简介和制作方法
linker。目前用于该设计方法的linker 有:25 氨基酸残基的205c linker,以2C11CH1片段为主的23 氨基酸残基linker,24氨基酸残基的CBH1 linker,114氨基酸残基的ETA Ⅱ区段linker,(Gly4Ser)3及Ser2 (Gly4Ser)3linker等,均获得了有功能的双特异抗体分子。Coloma等将一种scFv直接融合表达于另一种scFvC 端或铰链区之后也获得了有功能的bis2Fv。Helfrich 等还构建了专门用于表达bisFvs的载体,可直接
1.5M Tris(PH 8.8) 100ml 18.171g (at4°C) 10% SDS 100 ml 10g (at room temperature) 10% ammonium persulfate 1ml 0.1g(replace every week store at at4°C) TEMED 8 room temprature Antibodies Primary antibody: 5A11(anti-mouse IgG) 500x-1000x Secondary
Immunohistochemistry using Anti-Ganglioside Antibodies
, T., Terashima,T., and Tai, T.(1993) Generation of a monoclonal antibody specific for ganglioside GM4: evidence for GM4 expression on astrocytes in chicken cerebellum. J. Biochem.(Tokyo), 114 :5-8 3) Kotani, M., Kawashima, I., Ozawa, H., Ogura
技术资料暂无技术资料 索取技术资料





![ALDH1A1 antibody [5G9E6C9]](https://img1.dxycdn.com/2023/0711/451/6106825198874858761-14.jpg!wh200)



