相关产品推荐更多 >
万千商家帮你免费找货
0 人在求购买到急需产品
- 详细信息
- 文献和实验
- 技术资料
- 免疫原:
Recombinant protein encompassing a sequence within the center region of human Glycerol kinase 2. The exact sequence is proprietary.
- 亚型:
IgG
- 形态:
Liquid
- 保存条件:
Store as concentrated solution. Centrifuge briefly prior to opening vial. For short-term storage (1-2 weeks), store at 4ºC. For long-term storage, aliquot and store at -20ºC or below. Avoid multiple freeze-thaw cycles.
- 克隆性:
Polyclonal
- 标记物:
Unconjugated
- 适应物种:
Human
- 保质期:
12 months from the shipping date of the product.
- 抗原来源:
Human
- 目录编号:
GTX103519
- 级别:
Primary Antibodies
- 库存:
Available
- 供应商:
GeneTex
- 宿主:
Rabbit
- 应用范围:
WB, ICC/IF, IHC-P
- 浓度:
0.41 mg/ml (Please refer to the vial label for the specific concentration.)
- 靶点:
Glycerol kinase 2
- 抗体英文名:
Glycerol kinase 2 antibody [N1C1]
- 抗体名:
Glycerol kinase 2 抗体 [N1C1]
- 规格:
100 μl/25 μl
| 规格: | 100 μl | 产品价格: | ¥4000.0 |
|---|---|---|---|
| 规格: | 25 μl | 产品价格: | ¥1700.0 |
Sample (30 ug of whole cell lysate)
A: Hep G2 (GTX27900)
7.5% SDS PAGE
glycerol kinase 2 antibody
GTX103519 diluted at 1:1000
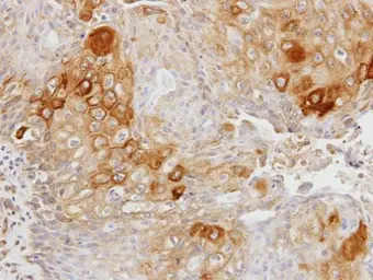
Immunohistochemical analysis of paraffin-embedded OVCA xenograft, using Glycerol kinase 2(GTX103519) antibody at 1:100 dilution.
Antigen Retrieval: Trilogy™ (EDTA based, pH 8.0) buffer, 15min
Immunofluorescence analysis of PFA-fixed HeLa, using glycerol kinase 2(GTX103519) antibody at 1:200 dilution.
风险提示:丁香通仅作为第三方平台,为商家信息发布提供平台空间。用户咨询产品时请注意保护个人信息及财产安全,合理判断,谨慎选购商品,商家和用户对交易行为负责。对于医疗器械类产品,请先查证核实企业经营资质和医疗器械产品注册证情况。
文献和实验PROTOCOL To 1.5 mL eppendorf tubes add: 200 µg of protein extract (see Western blot protocol for protein sample preps) q.s. to 300 µL with RIPA (with protease and phosphatase inhibitors). Primary antibody (amount determined
affinity) and the other is an IP kinase reaction. Substrate/Antibody, Lysate Interaction: 1. For GST c-Jun substrate interaction the quantity of protein on the beads is variable with the batch made (make fresh at least once a week). Generally
of the kinases to GST-Jun (due to very high affinity) and the other is an IP kinase reaction. Substrate/Antibody, Lysate Interaction: 1. For GST c-Jun substrate interaction the quantity of protein on the beads is variable with the batch made (make
技术资料暂无技术资料 索取技术资料







![C/EBP beta antibody [47A1]](https://img1.dxycdn.com/2023/0711/451/6106825198874858761-14.jpg!wh200)

