相关产品推荐更多 >
万千商家帮你免费找货
0 人在求购买到急需产品
- 详细信息
- 文献和实验
- 技术资料
- 免疫原:
Recombinant protein encompassing a sequence within the center region of human AMPK alpha 2. The exact sequence is proprietary.
- 亚型:
IgG
- 形态:
Liquid
- 保存条件:
Store as concentrated solution. Centrifuge briefly prior to opening vial. For short-term storage (1-2 weeks), store at 4ºC. For long-term storage, aliquot and store at -20ºC or below. Avoid multiple freeze-thaw cycles.
- 克隆性:
Polyclonal
- 标记物:
Unconjugated
- 适应物种:
Human, Mouse, Rat
- 保质期:
12 months from the shipping date of the product.
- 抗原来源:
Human
- 目录编号:
GTX103487
- 级别:
Primary Antibodies
- 库存:
Available
- 供应商:
GeneTex
- 宿主:
Rabbit
- 应用范围:
WB, ICC/IF, IHC-P, IP
- 浓度:
0.96 mg/ml (Please refer to the vial label for the specific concentration.)
- 靶点:
Knockdown/Knockout validation was supported by references (PMID:29753072)
- 抗体英文名:
AMPK alpha 2 antibody
- 抗体名:
AMPK alpha 2 抗体
- 规格:
100 μl/25 μl
| 规格: | 100 μl | 产品价格: | ¥4000.0 |
|---|---|---|---|
| 规格: | 25 μl | 产品价格: | ¥1700.0 |
AMPK alpha 2 antibody immunoprecipitates AMPK alpha 2 protein in IP experiments. IP Sample: 1000 μg 293T whole cell lysate/extract A. 30 μg 293T whole cell lysate/extract B. Control with 2.5 μg of preimmune rabbit IgG C. Immunoprecipitation of AMPK alpha 2 protein by 2.5 μg of AMPK alpha 2 antibody (GTX103487) 10% SDS-PAGE The immunoprecipitated AMPK alpha 2 protein was detected by AMPK alpha 2 antibody (GTX103487) diluted at 1:1000. EasyBlot anti-rabbit IgG (GTX221666-01) was used as a secondary reagent.
AMPK alpha 2 antibody detects AMPK alpha 2 protein at cytoplasm by immunohistochemical analysis.
Sample: Paraffin-embedded mouse stomach.
AMPK alpha 2 stained by AMPK alpha 2 antibody (GTX103487) diluted at 1:500.
Antigen Retrieval: Citrate buffer, pH 6.0, 15 min
AMPK alpha 2 antibody detects AMPK alpha 2 protein at cytoplasm, nucleus and vesicle by immunofluorescent analysis.
Sample: 293T cells were fixed in 4% PFA at RT for 15 min.
Green: AMPK alpha 2 stained by AMPK alpha 2 antibody (GTX103487) diluted at 1:500.
Blue: Fluoroshield with DAPI (GTX30920).
AMPK alpha 2 antibody detects AMPK alpha 2 protein at cytoplasm by immunohistochemical analysis.
Sample: Paraffin-embedded rat stomach.
AMPK alpha 2 stained by AMPK alpha 2 antibody (GTX103487) diluted at 1:500.
Antigen Retrieval: Citrate buffer, pH 6.0, 15 min
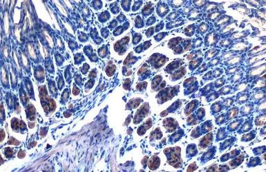
AMPK alpha 2 antibody detects AMPK alpha 2 protein at cytoplasm by immunohistochemical analysis.
Sample: Paraffin-embedded mouse stomach.
AMPK alpha 2 stained by AMPK alpha 2 antibody (GTX103487) diluted at 1:500.
Antigen Retrieval: Citrate buffer, pH 6.0, 15 min
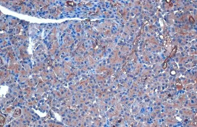
AMPK alpha 2 antibody detects AMPK alpha 2 protein at cytoplasm by immunohistochemical analysis.
Sample: Paraffin-embedded rat pancreas.
AMPK alpha 2 stained by AMPK alpha 2 antibody (GTX103487) diluted at 1:500.
Antigen Retrieval: Citrate buffer, pH 6.0, 15 min
AMPK alpha 2 antibody detects AMPK alpha 2 protein at cytoplasm by immunohistochemical analysis.
Sample: Paraffin-embedded mouse stomach.
AMPK alpha 2 stained by AMPK alpha 2 antibody (GTX103487) diluted at 1:500.
Antigen Retrieval: Citrate buffer, pH 6.0, 15 min
AMPK alpha 2 antibody detects AMPK alpha 2 protein at cytoplasm by immunohistochemical analysis.
Sample: Paraffin-embedded mouse intestine.
AMPK alpha 2 stained by AMPK alpha 2 antibody (GTX103487) diluted at 1:500.
Antigen Retrieval: Citrate buffer, pH 6.0, 15 min
Sample (30 ug of whole cell lysate)
A:NIH-3T3
7.5% SDS PAGE
GTX103487 diluted at 1:1000
AMPK alpha 2 antibody detects AMPK alpha 2 protein at cytoplasm in mouse muscle by immunohistochemical analysis.
Sample: Paraffin-embedded mouse muscle.
AMPK alpha 2 antibody (GTX103487) diluted at 1:500.
Antigen Retrieval: Citrate buffer, pH 6.0, 15 min
风险提示:丁香通仅作为第三方平台,为商家信息发布提供平台空间。用户咨询产品时请注意保护个人信息及财产安全,合理判断,谨慎选购商品,商家和用户对交易行为负责。对于医疗器械类产品,请先查证核实企业经营资质和医疗器械产品注册证情况。
文献和实验Wu W et al., J Physiol Biochem 2017 (PMID:29288408)
Lee YZ et al., Oncotarget 2014 (PMID:25026281)
Zhou X et al., Nutr Metab (Lond) 2015 (PMID:25774202)
Guo Y et al., Arch Biochem Biophys 2016 (PMID:27136709)
Zhou X et al., J Physiol Biochem 2014 (PMID:24729044)
Lin YY et al., Nature 2012 (PMID:22318606)
Hsu YF et al., Biochim Biophys Acta 2012 (PMID:22155142)
Gao J et al., Redox Biol 2019 (PMID:31669973)
Wang H et al., Free Radic Biol Med 2018 (PMID:29753072)
In situ hybridisation to alpha satellite sequences (chromosome specific)
Alpha satellite sequences, whilst highly repetitive, are specific to each individual chromosome. These sequences flank the centromeres and can present a target measured in megabases. In this protocol a biotin or digoxigenin labelled DNA
secondary antibody review -- data from 99 publications
cytometry used as a control to detect cell responses targeted antigen 7 Alexa Fluor 488 7 Cy3 8 goat IgG Alexa Fluor 488 1:2000 detect antibody binding in human embryonic kidney 293T cells Invitrogen 9 donkey
-l1-antibody-ya4674.html 兔来源、无偶联标记、抗 PD-L1 的 IgG 单克隆抗体。 Estrogen Receptor alpha Antibody (YA450) (HY-P80663) www.medchemexpress.cn/antibody/estrogen-receptor-alpha-rabbit-mab.html 兔来源、无偶联标记、抗 Estrogen Receptor alpha 的 IgG 单克隆抗体 CDX2 Antibody (YA3498
技术资料暂无技术资料 索取技术资料






![Cytokeratin 7 antibody [KRT7/903]](https://img1.dxycdn.com/2023/0711/451/6106825198874858761-14.jpg!wh200)


