相关产品推荐更多 >
万千商家帮你免费找货
0 人在求购买到急需产品
- 详细信息
- 文献和实验
- 技术资料
- 免疫原:
Recombinant protein encompassing a sequence within the center region of human DNA ligase III. The exact sequence is proprietary.
- 亚型:
IgG
- 形态:
Liquid
- 保存条件:
Store as concentrated solution. Centrifuge briefly prior to opening vial. For short-term storage (1-2 weeks), store at 4ºC. For long-term storage, aliquot and store at -20ºC or below. Avoid multiple freeze-thaw cycles.
- 克隆性:
Polyclonal
- 标记物:
Unconjugated
- 适应物种:
Human, Mouse
- 保质期:
12 months from the shipping date of the product.
- 抗原来源:
Human
- 目录编号:
GTX103172
- 级别:
Primary Antibodies
- 库存:
Available
- 供应商:
GeneTex
- 宿主:
Rabbit
- 应用范围:
WB, ICC/IF, IHC-P
- 浓度:
0.81 mg/ml (Please refer to the vial label for the specific concentration.)
- 靶点:
DNA ligase III
- 抗体英文名:
DNA ligase III antibody
- 抗体名:
DNA ligase III 抗体
- 规格:
100 μl/25 μl
| 规格: | 100 μl | 产品价格: | ¥4000.0 |
|---|---|---|---|
| 规格: | 25 μl | 产品价格: | ¥1700.0 |
Non-transfected (–) and transfected (+) 293T whole cell extracts (30 μg) were separated by 7.5% SDS-PAGE, and the membrane was blotted with DNA ligase III antibody (GTX103172) diluted at 1:500.
DNA ligase III antibody detects DNA ligase III protein by western blot analysis. Various whole cell extracts (30 μg) were separated by 7.5% SDS-PAGE, and the membrane was blotted with DNA ligase III antibody (GTX103172) diluted by 1:1000.
DNA ligase III antibody detects LIG3 protein at nucleus by immunofluorescent analysis.
Sample: HeLa cells were fixed in 4% PFA at RT for 15 min.
Green: LIG3 protein stained by DNA ligase III antibody (GTX103172) diluted at 1:500.
Blue: Hoechst 33342 staining.
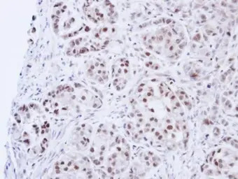
Immunohistochemical analysis of paraffin-embedded A549 Xenograft, using DNA ligase 3(GTX103172) antibody at 1:100 dilution.
Antigen Retrieval: Trilogy™ (EDTA based, pH 8.0) buffer, 15min
Various whole cell extracts (30 μg) were separated by 5% SDS-PAGE, and the membrane was blotted with DNA ligase III antibody (GTX103172) diluted at 1:1000. The HRP-conjugated anti-rabbit IgG antibody (GTX213110-01) was used to detect the primary antibody. Corresponding RNA expression data for the same cell lines are based on Human Protein Atlas program.
风险提示:丁香通仅作为第三方平台,为商家信息发布提供平台空间。用户咨询产品时请注意保护个人信息及财产安全,合理判断,谨慎选购商品,商家和用户对交易行为负责。对于医疗器械类产品,请先查证核实企业经营资质和医疗器械产品注册证情况。
文献和实验Sebastian R et al., Mol Cell 2020 (PMID:32649884)
Huang Y et al., FASEB J 2018 (PMID:29874127)
Howes T. R.L. et al., DNA Repair 2017
Bhandari SK et al., Sci Rep 2023 (PMID:36928068)
Ligation of DNA with T4 DNA Ligase
recombination and DNA synthesis. DNA ligase from E. coli is a polypeptide with a molecular weight of 74,000 and is NAD-dependent. T4 DNA ligase is the product of gene 30 of the T4 phage, has a molecular weight of 68,000, and is ATP-dependent. Both enzymes
Joining RNA Molecules with T4 DNA Ligase
Researchers interested in studying RNA structure and function or RNA-protein interactions are increasingly using site-specifically modified RNAs to probe sites of interest (1 ). In addition to expanding the repertoire of functional groups
Splint Ligation of RNA with T4 DNA Ligase
Splint ligation of RNA, whereby specific RNA molecules are ligated together, can be carried out using T4 DNA ligase and a bridging DNA oligonucleotide complementary to the RNAs. This method takes advantage of the property of T4 DNA ligase
技术资料暂无技术资料 索取技术资料






![Cytokeratin 20 antibody [KS 20.8]](https://img1.dxycdn.com/2023/0711/451/6106825198874858761-14.jpg!wh200)


