相关产品推荐更多 >
万千商家帮你免费找货
0 人在求购买到急需产品
- 详细信息
- 文献和实验
- 技术资料
- 免疫原:
Recombinant protein encompassing a sequence within the center region of human IL10 Receptor alpha. The exact sequence is proprietary.
- 亚型:
IgG
- 形态:
Liquid
- 保存条件:
Store as concentrated solution. Centrifuge briefly prior to opening vial. For short-term storage (1-2 weeks), store at 4ºC. For long-term storage, aliquot and store at -20ºC or below. Avoid multiple freeze-thaw cycles.
- 克隆性:
Polyclonal
- 标记物:
Unconjugated
- 适应物种:
Human, Mouse
- 保质期:
12 months from the shipping date of the product.
- 抗原来源:
Human
- 目录编号:
GTX102731
- 级别:
Primary Antibodies
- 库存:
Available
- 供应商:
GeneTex
- 宿主:
Rabbit
- 应用范围:
WB, IHC-P
- 浓度:
0.85 mg/ml (Please refer to the vial label for the specific concentration.)
- 靶点:
IL10 Receptor alpha
- 抗体英文名:
IL10 Receptor alpha antibody
- 抗体名:
IL10 Receptor alpha 抗体
- 规格:
100 μl/25 μl
| 规格: | 100 μl | 产品价格: | ¥4000.0 |
|---|---|---|---|
| 规格: | 25 μl | 产品价格: | ¥1700.0 |
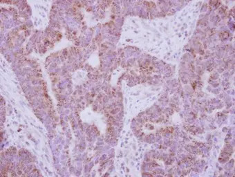
Immunohistochemical analysis of paraffin-embedded human colon carcinoma, using IL10 Receptor alpha(GTX102731) antibody at 1:250 dilution.
Antigen Retrieval: Trilogy™ (EDTA based, pH 8.0) buffer, 15min
HeLa whole cell and membrane extracts (30 μg) were separated by 7.5% SDS-PAGE, and the membrane was blotted with IL10 Receptor alpha antibody (GTX102731) diluted at 1:500. The HRP-conjugated anti-rabbit IgG antibody (GTX213110-01) was used to detect the primary antibody, and the signal was developed with Trident ECL plus-Enhanced.
Non-transfected (–) and transfected (+) 293T whole cell extracts (30 μg) were separated by 7.5% SDS-PAGE, and the membrane was blotted with IL10 Receptor alpha antibody (GTX102731) diluted at 1:1000. The HRP-conjugated anti-rabbit IgG antibody (GTX213110-01) was used to detect the primary antibody, and the signal was developed with Trident ECL plus-Enhanced.
风险提示:丁香通仅作为第三方平台,为商家信息发布提供平台空间。用户咨询产品时请注意保护个人信息及财产安全,合理判断,谨慎选购商品,商家和用户对交易行为负责。对于医疗器械类产品,请先查证核实企业经营资质和医疗器械产品注册证情况。
文献和实验Terasaki M et al., Cancer Genomics Proteomics 2021 (PMID:33608310)
Shi J et al., Cell Death Dis 2016 (PMID:26962683)
PPAR-Alpha Cloning, Expression, and Characterization
Peroxisome proliferator-activated receptor α (PPARα) is a member of the nuclear/steroid receptor gene superfamily that also comprises β, δ, and γ isoforms. PPARα is a ligand-activated transcription factor that plays
inflammatory immune responses mediated by classical macrophage activation can also be detrimental to the host. In contrast, the IL-4 receptor-alpha-mediated alternative pathway of macrophage activation has been proposed as a mechanism to attenuate excessive
In situ hybridisation to alpha satellite sequences (chromosome specific)
Alpha satellite sequences, whilst highly repetitive, are specific to each individual chromosome. These sequences flank the centromeres and can present a target measured in megabases. In this protocol a biotin or digoxigenin labelled DNA
技术资料暂无技术资料 索取技术资料





![Wnt9a antibody [N1N2], N-term](https://img1.dxycdn.com/2023/0711/255/2344116916935858761-14.jpg!wh200)

![Nesprin 1 antibody [6A]](https://img1.dxycdn.com/2023/0711/451/6106825198874858761-14.jpg!wh200)


