相关产品推荐更多 >
万千商家帮你免费找货
0 人在求购买到急需产品
- 详细信息
- 文献和实验
- 技术资料
- 免疫原:
Recombinant protein encompassing a sequence within the center region of human CD133. The exact sequence is proprietary.
- 亚型:
IgG
- 形态:
Liquid
- 保存条件:
Store as concentrated solution. Centrifuge briefly prior to opening vial. For short-term storage (1-2 weeks), store at 4ºC. For long-term storage, aliquot and store at -20ºC or below. Avoid multiple freeze-thaw cycles.
- 克隆性:
Polyclonal
- 标记物:
Unconjugated
- 适应物种:
Human
- 保质期:
12 months from the shipping date of the product.
- 抗原来源:
Human
- 目录编号:
GTX102109
- 级别:
Primary Antibodies
- 库存:
Available
- 供应商:
GeneTex
- 宿主:
Rabbit
- 应用范围:
WB, IHC-P
- 浓度:
1 mg/ml (Please refer to the vial label for the specific concentration.)
- 靶点:
CD133
- 抗体英文名:
CD133 antibody [N1C1]
- 抗体名:
CD133 抗体 [N1C1]
- 规格:
100 μl/25 μl
| 规格: | 100 μl | 产品价格: | ¥4000.0 |
|---|---|---|---|
| 规格: | 25 μl | 产品价格: | ¥1700.0 |
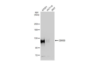
Various whole cell extracts (30 μg) were separated by 5% SDS-PAGE, and the membrane was blotted with CD133 antibody [N1C1] (GTX102109) diluted at 1:500. The HRP-conjugated anti-rabbit IgG antibody (GTX213110-01) was used to detect the primary antibody, and the signal was developed with Trident ECL plus-Enhanced.
CD133 antibody [N1C1] detects CD133 protein by western blot analysis.
A. 30 μg 293T whole cell extract
B. 30 μg whole cell extract of 3xFlag-human CD133-transfected 293T cells
7.5 % SDS-PAGE
CD133 antibody [N1C1] (GTX102109) dilution: 1:5000
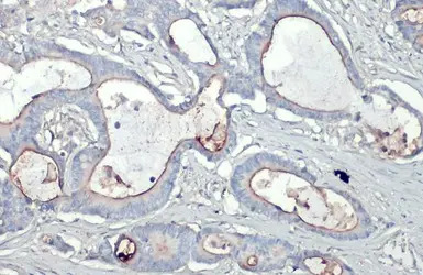
CD133 antibody [N1C1] detects CD133 protein at cell membrane by immunohistochemical analysis.
Sample: Paraffin-embedded human colon cancer.
CD133 stained by CD133 antibody [N1C1] (GTX102109) diluted at 1:500.
Antigen Retrieval: Citrate buffer, pH 6.0, 15 min
风险提示:丁香通仅作为第三方平台,为商家信息发布提供平台空间。用户咨询产品时请注意保护个人信息及财产安全,合理判断,谨慎选购商品,商家和用户对交易行为负责。对于医疗器械类产品,请先查证核实企业经营资质和医疗器械产品注册证情况。
文献和实验Hong KJ et al., J Cell Physiol 2014 (PMID:23881612)
Huang TH et al., J Cell Mol Med 2019 (PMID:31638335)
Transplantation Models to Characterize the Mechanisms of Stem Cell–Induced Islet Regeneration
Cocktail name Antibodies (clone, antibody, fluorochrome) Suggested concentration/tube (ng/ml
技术资料暂无技术资料 索取技术资料








