相关产品推荐更多 >
万千商家帮你免费找货
0 人在求购买到急需产品
- 详细信息
- 文献和实验
- 技术资料
- 免疫原:
Recombinant protein encompassing a sequence within the C-terminus region of human F4/80. The exact sequence is proprietary.
- 亚型:
IgG
- 形态:
Liquid
- 保存条件:
Store as concentrated solution. Centrifuge briefly prior to opening vial. For short-term storage (1-2 weeks), store at 4ºC. For long-term storage, aliquot and store at -20ºC or below. Avoid multiple freeze-thaw cycles.
- 克隆性:
Polyclonal
- 标记物:
Unconjugated
- 适应物种:
Human, Mouse, Rat
- 保质期:
12 months from the shipping date of the product.
- 抗原来源:
Human
- 目录编号:
GTX101895
- 级别:
Primary Antibodies
- 库存:
Available
- 供应商:
GeneTex
- 宿主:
Rabbit
- 应用范围:
WB, IHC-P
- 浓度:
0.23 mg/ml (Please refer to the vial label for the specific concentration.)
- 靶点:
F4/80
- 抗体英文名:
F4/80 antibody [C2C3], C-term
- 抗体名:
F4/80 抗体 [C2C3], C-term
- 规格:
100 μl/25 μl
| 规格: | 100 μl | 产品价格: | ¥4000.0 |
|---|---|---|---|
| 规格: | 25 μl | 产品价格: | ¥1700.0 |
Immunohistochemical analysis of paraffin-embedded PC13 xenograft, using EMR1(GTX101895) antibody at 1:100 dilution.
Antigen Retrieval: Trilogy™ (EDTA based, pH 8.0) buffer, 15min
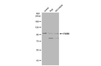
Various whole cell extracts (30 μg) were separated by 7.5% SDS-PAGE, and the membrane was blotted with F4/80 antibody [C2C3], C-term (GTX101895) diluted at 1:1000. The HRP-conjugated anti-rabbit IgG antibody (GTX213110-01) was used to detect the primary antibody.
Various whole cell extracts (30 μg) were separated by 7.5% SDS-PAGE, and the membrane was blotted with F4/80 antibody [C2C3], C-term (GTX101895) diluted at 1:1000. The HRP-conjugated anti-rabbit IgG antibody (GTX213110-01) was used to detect the primary antibody.
EMR1 antibody [C2C3], C-term detects EMR1 protein by western blot analysis.
A. 50 μg rat liver lysate/extract
7.5% SDS-PAGE
EMR1 antibody [C2C3], C-term (GTX101895) dilution: 1:1000
The HRP-conjugated anti-rabbit IgG antibody (GTX213110-01) was used to detect the primary antibody.
风险提示:丁香通仅作为第三方平台,为商家信息发布提供平台空间。用户咨询产品时请注意保护个人信息及财产安全,合理判断,谨慎选购商品,商家和用户对交易行为负责。对于医疗器械类产品,请先查证核实企业经营资质和医疗器械产品注册证情况。
文献和实验Gonz?lez-Hedstr?m D et al., Antioxidants (Basel) 2021 (PMID:34356299)
Dekker S et al., Front Cardiovasc Med 2018 (PMID:30159315)
Kim SY et al., Nutrients 2019 (PMID:30889894)
Tang T et al., PLoS One 2013 (PMID:24312613)
Rodriguez R et al., Am J Physiol Endocrinol Metab 2021 (PMID:34658252)
Lee Y et al., Nutrients 2021 (PMID:34684660)
8.0) in clean 16x125mm polypropylene test tube. If needed, adjust pH to 8.0 using 0.5M carbonate buffer. 2. Prepare fresh, 1mg/mL of either NHS-FITC in DMSO or 1mg/mL NHS-LC-Biotin in DH2O. If FITC coupling, add 75uL of FITC/DMSO solution to Antibody
8.0) in clean 16x125mm polypropylene test tube. If needed, adjust pH to 8.0 using 0.5M carbonate buffer. 2. Prepare fresh, 1mg/mL of either NHS-FITC in DMSO or 1mg/mL NHS-LC-Biotin in DH2O. If FITC coupling, add 75uL of FITC/DMSO solution to Antibody
monoclonal antibody production fusion
SOLUTIONS IMDM (Iscove's Modified Dulbecco's Medium with 25 mM Hepes/with L-Glutamine) BioWhittaker Europe Cat.: BE12-722F IMDM-FCS(10%v/v)-HTx100(1%v/v)-AJ(5%v/v)-IL-6 (100 U/ml) IMDM - FCS(10%v/v) - HTx
技术资料暂无技术资料 索取技术资料









