相关产品推荐更多 >
万千商家帮你免费找货
0 人在求购买到急需产品
- 详细信息
- 文献和实验
- 技术资料
- 免疫原:
Recombinant protein encompassing a sequence within the center region of human PRKCSH. The exact sequence is proprietary.
- 亚型:
IgG
- 形态:
Liquid
- 保存条件:
Store as concentrated solution. Centrifuge briefly prior to opening vial. For short-term storage (1-2 weeks), store at 4ºC. For long-term storage, aliquot and store at -20ºC or below. Avoid multiple freeze-thaw cycles.
- 克隆性:
Polyclonal
- 标记物:
Unconjugated
- 适应物种:
Human
- 保质期:
12 months from the shipping date of the product.
- 抗原来源:
Human
- 目录编号:
GTX101889
- 级别:
Primary Antibodies
- 库存:
Available
- 供应商:
GeneTex
- 宿主:
Rabbit
- 应用范围:
WB, ICC/IF, IHC-P
- 浓度:
0.94 mg/ml (Please refer to the vial label for the specific concentration.)
- 靶点:
PRKCSH
- 抗体英文名:
PRKCSH antibody [N1C1]
- 抗体名:
PRKCSH 抗体 [N1C1]
- 规格:
100 μl/25 μl
| 规格: | 100 μl | 产品价格: | ¥4000.0 |
|---|---|---|---|
| 规格: | 25 μl | 产品价格: | ¥1700.0 |
Wild-type (WT) and PRKCSH knockout (KO) 293T cell extracts (30 μg) were separated by 7.5% SDS-PAGE, and the membrane was blotted with PRKCSH antibody [N1C1] (GTX101889) diluted at 1:10000. The HRP-conjugated anti-rabbit IgG antibody (GTX213110-01) was used to detect the primary antibody.
Sample (30 ug of whole cell lysate)
A: A431 (GTX27909)
7.5% SDS PAGE
GTX101889 diluted at 1:10000
PRKCSH antibody [N1C1] detects PRKCSH protein at endoplasmic reticulum by immunofluorescent analysis.
Sample: HeLa cells were fixed in 4% PFA at RT for 15 min.
Green: PRKCSH protein stained by PRKCSH antibody [N1C1] (GTX101889) diluted at 1:1000.
Blue: Hoechst 33342 staining.
Scale bar = 10 μm.
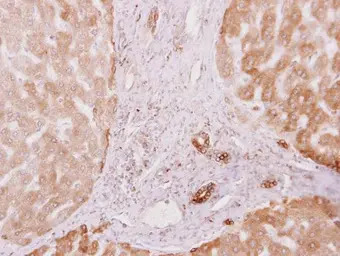
PRKCSH antibody [N1C1] detects PRKCSH protein at cytoplasm on human normal liver by immunohistochemical analysis.
Sample: Paraffin-embedded normal liver.
PRKCSH antibody [N1C1] (GTX101889) dilution: 1:500.
Antigen Retrieval: Trilogy™ (EDTA based, pH 8.0) buffer, 15min
Immunofluorescence analysis of PFA-fixed A549, using PRKCSH(GTX101889) antibody at 1:200 dilution.
风险提示:丁香通仅作为第三方平台,为商家信息发布提供平台空间。用户咨询产品时请注意保护个人信息及财产安全,合理判断,谨慎选购商品,商家和用户对交易行为负责。对于医疗器械类产品,请先查证核实企业经营资质和医疗器械产品注册证情况。
文献和实验[资源] 所有的看家基因(housekeeping genes)列表+引物设计服务
sapiens replication protein A2, 32kDa (RPA2), mRNA 537 NM_004356 Homo sapiens CD81 antigen (target of antiproliferative antibody 1) (CD81), mRNA 3638 NM_001743 Homo sapiens calmodulin 2 (phosphorylase kinase, delta) (CALM2), mRNA 4675 NM_004231
技术资料暂无技术资料 索取技术资料





![Aurora A antibody [1F8]](https://img1.dxycdn.com/2023/0711/451/6106825198874858761-14.jpg!wh200)


![Ribonuclease T2 antibody [N1C3]](https://img1.dxycdn.com/2023/0516/050/2572066211091928561-14.jpg!wh200)

