相关产品推荐更多 >
万千商家帮你免费找货
0 人在求购买到急需产品
- 详细信息
- 文献和实验
- 技术资料
- 免疫原:
Recombinant protein encompassing a sequence within the center region of human beta Tubulin 2. The exact sequence is proprietary.
- 亚型:
IgG
- 形态:
Liquid
- 保存条件:
Store as concentrated solution. Centrifuge briefly prior to opening vial. For short-term storage (1-2 weeks), store at 4ºC. For long-term storage, aliquot and store at -20ºC or below. Avoid multiple freeze-thaw cycles.
- 克隆性:
Polyclonal
- 标记物:
Unconjugated
- 适应物种:
Human, Mouse
- 保质期:
12 months from the shipping date of the product.
- 抗原来源:
Human
- 目录编号:
GTX101863
- 级别:
Primary Antibodies
- 库存:
Available
- 供应商:
GeneTex
- 宿主:
Rabbit
- 应用范围:
WB, ICC/IF, IHC-P
- 浓度:
1 mg/ml (Please refer to the vial label for the specific concentration.)
- 靶点:
beta Tubulin 2
- 抗体英文名:
beta Tubulin 2 antibody [N1C1]
- 抗体名:
beta Tubulin 2 抗体 [N1C1]
- 规格:
100 μl/25 μl
| 规格: | 100 μl | 产品价格: | ¥4000.0 |
|---|---|---|---|
| 规格: | 25 μl | 产品价格: | ¥1700.0 |
Sample (30 ug of whole cell lysate)
A: NIH-3T3
10% SDS PAGE
GTX101863 diluted at 1:3000
Sample (50 ug of whole cell lysate)
A: mouse brain
10% SDS PAGE
GTX101863 diluted at 1:5000
Sample (30 ug of whole cell lysate)
A: 293T
10% SDS PAGE
GTX101863 diluted at 1:1000
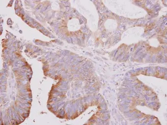
beta Tubulin 2 antibody [N1C1] detects beta Tubulin 2 protein at cytoplasm on human colon carcinoma by immunohistochemical analysis.
Sample: Paraffin-embedded colon carcinoma.
beta Tubulin 2 antibody [N1C1] (GTX101863) dilution: 1:500.
Antigen Retrieval: Trilogy™ (EDTA based, pH 8.0) buffer, 15min
Immunofluorescence analysis of PFA-fixed HeLa, using beta Tubulin 2(GTX101863) antibody at 1:200 dilution.
风险提示:丁香通仅作为第三方平台,为商家信息发布提供平台空间。用户咨询产品时请注意保护个人信息及财产安全,合理判断,谨慎选购商品,商家和用户对交易行为负责。对于医疗器械类产品,请先查证核实企业经营资质和医疗器械产品注册证情况。
文献和实验祝贺〖雅裕睿安〗成为Signalway Antibody(SAB)独家
ul; 货号21617,产品描述:Tubulin beta-III Antibody;规格 50 ul / 100 ul; 货号21612,产品描述:GAPDH Antibody;规格 50 ul / 100 ul; 货号21335,产品描述:β-Tubulin mouse mAb;规格 50 ul / 100 ul; 货号21336,产品描述:GAPDH mouse
Large-scale immunofluorescence
containing 2% n-propyl gallate and 0.25 ug/ml Hoechst Primary antibodies rabbit anti-beta-gal antibody (Cappell Laboratories #0631-0002, at 1:200 dilution) rat monoclonal anti-yeast tubulin (YOL1/34; Sera-lab, at 1:100 dilution
C in the dark. Solutions Solution A PBS Mounting solution Primary antibodies rabbit anti-beta-gal antibody (Cappell Laboratories #0631-0002, at 1:200 dilution) rat monoclonal anti-yeast tubulin (YOL1/34; Sera-lab
技术资料暂无技术资料 索取技术资料





![GABPB2 antibody [N1N3]](https://img1.dxycdn.com/2023/0711/255/2344116916935858761-14.jpg!wh200)

![ANP antibody [N1C3]](https://img1.dxycdn.com/2023/0516/050/2572066211091928561-14.jpg!wh200)
![Glycophorin A antibody [JC159] (APC)](https://img1.dxycdn.com/2023/0711/451/6106825198874858761-14.jpg!wh200)


