相关产品推荐更多 >
万千商家帮你免费找货
0 人在求购买到急需产品
- 详细信息
- 文献和实验
- 技术资料
- 免疫原:
Recombinant protein encompassing a sequence within the center region of human Creatine kinase (brain). The exact sequence is proprietary.
- 亚型:
IgG
- 形态:
Liquid
- 保存条件:
Store as concentrated solution. Centrifuge briefly prior to opening vial. For short-term storage (1-2 weeks), store at 4ºC. For long-term storage, aliquot and store at -20ºC or below. Avoid multiple freeze-thaw cycles.
- 克隆性:
Polyclonal
- 标记物:
Unconjugated
- 适应物种:
Human, Mouse, Rat, Zebrafish
- 保质期:
12 months from the shipping date of the product.
- 抗原来源:
Human
- 目录编号:
GTX101759
- 级别:
Primary Antibodies
- 库存:
Available
- 供应商:
GeneTex
- 宿主:
Rabbit
- 应用范围:
WB, ICC/IF, IHC-P
- 浓度:
2.05 mg/ml (Please refer to the vial label for the specific concentration.)
- 靶点:
Creatine kinase (brain)
- 抗体英文名:
Creatine kinase (brain) antibody [N1C1]
- 抗体名:
Creatine kinase (brain) 抗体 [N1C1]
- 规格:
100 μl/25 μl
| 规格: | 100 μl | 产品价格: | ¥4000.0 |
|---|---|---|---|
| 规格: | 25 μl | 产品价格: | ¥1700.0 |
Sample (30 μg of whole cell lysate)
A: zebrafish eye
10% SDS PAGE
GTX101759 diluted at 1:1000
Immunohistochemical analysis of paraffin-embedded zebrafish tissue, using Creatine kinase (brain) antibody [N1C1] (GTX101759) at 1:300 dilution.
Various whole cell extracts (30 μg) were separated by 10% SDS-PAGE, and the membrane was blotted with Creatine kinase (brain) antibody [N1C1] (GTX101759) diluted at 1:1000. The HRP-conjugated anti-rabbit IgG antibody (GTX213110-01) was used to detect the primary antibody.
Creatine kinase (brain) antibody [N1C1] detects Creatine kinase (brain) protein at cytoplasm by immunofluorescent analysis.
Sample: 293T cells were fixed in 4% PFA at RT for 15 min.
Green: Creatine kinase (brain) stained by Creatine kinase (brain) antibody [N1C1] (GTX101759) diluted at 1:1000.
Blue: Fluoroshield with DAPI (GTX30920).
Creatine kinase (brain) antibody [N1C1] detects Creatine kinase (brain) protein at cytoplasm by immunohistochemical analysis.
Sample: Paraffin-embedded mouse intestine.
Creatine kinase (brain) stained by Creatine kinase (brain) antibody [N1C1] (GTX101759) diluted at 1:500.
Antigen Retrieval: Citrate buffer, pH 6.0, 15 min
Creatine kinase (brain) antibody [N1C1] detects Creatine kinase (brain) protein at cytoplasm and nucleus by immunofluorescent analysis.
Sample: HeLa cells were fixed in 4% PFA at RT for 15 min.
Green: Creatine kinase (brain) protein stained by Creatine kinase (brain) antibody [N1C1] (GTX101759) diluted at 1:500.
Red: alpha Tubulin, a cytoskeleton marker, stained by alpha Tubulin antibody [B-5-1-2] (GTX11304) diluted at 1:10000.
Blue: Hoechst 33342 staining.
Various tissue extracts (50 μg) were separated by 10% SDS-PAGE, and the membrane was blotted with Creatine kinase (brain) antibody [N1C1] (GTX101759) diluted at 1:1000. The HRP-conjugated anti-rabbit IgG antibody (GTX213110-01) was used to detect the primary antibody.
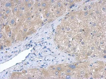
Immunohistochemical analysis of paraffin-embedded human hepatoma, using Creatine kinase (brain) antibody(GTX101759) antibody at 1:500 dilution.
Antigen Retrieval: Trilogy™ (EDTA based, pH 8.0) buffer, 15min
风险提示:丁香通仅作为第三方平台,为商家信息发布提供平台空间。用户咨询产品时请注意保护个人信息及财产安全,合理判断,谨慎选购商品,商家和用户对交易行为负责。对于医疗器械类产品,请先查证核实企业经营资质和医疗器械产品注册证情况。
文献和实验Lin ST et al., J Proteomics 2012 (PMID:22889595)
Dynamic Imaging of Brain Function
) by measurement of neural activity (e.g., membrane potential, ion flux, neurotransmitter flux), energy metabolism (e.g., glucose consumption, oxygen consumption, creatine kinase flux), and functional hyperemia (e.g., blood oxygenation, blood flow, blood
Immunoprecipitation of PDE2 Phosphorylated and Inactivated by an Associated Protein Kinase
4 . I describe protocols for producing an antibody to an aminoterminal bacterial fusion protein encoding amino acids 1–251 of PDE2A2 as well as the use of this antibody in immunoprecipitating a PDE2:tyrosine protein-kinase complex from rat brain or PC12 cells.
secondary antibody review -- data from 99 publications
cytometry used as a control to detect cell responses targeted antigen 7 Alexa Fluor 488 7 Cy3 8 goat IgG Alexa Fluor 488 1:2000 detect antibody binding in human embryonic kidney 293T cells Invitrogen 9 donkey
技术资料暂无技术资料 索取技术资料






![Snurportin 1 antibody [N1C2]](https://img1.dxycdn.com/2023/0516/045/6925717576889828561-14.jpg!wh200)
![CD9 antibody [IVA50]](https://img1.dxycdn.com/2023/0711/451/6106825198874858761-14.jpg!wh200)


