相关产品推荐更多 >
万千商家帮你免费找货
0 人在求购买到急需产品
- 详细信息
- 文献和实验
- 技术资料
- 免疫原:
Recombinant protein encompassing a sequence within the center region of human BAT1. The exact sequence is proprietary.
- 亚型:
IgG
- 形态:
Liquid
- 保存条件:
Store as concentrated solution. Centrifuge briefly prior to opening vial. For short-term storage (1-2 weeks), store at 4ºC. For long-term storage, aliquot and store at -20ºC or below. Avoid multiple freeze-thaw cycles.
- 克隆性:
Polyclonal
- 标记物:
Unconjugated
- 适应物种:
Human, Mouse, Rat
- 保质期:
12 months from the shipping date of the product.
- 抗原来源:
Human
- 目录编号:
GTX101475
- 级别:
Primary Antibodies
- 库存:
Available
- 供应商:
GeneTex
- 宿主:
Rabbit
- 应用范围:
WB, ICC/IF, IHC-P
- 浓度:
0.43 mg/ml (Please refer to the vial label for the specific concentration.)
- 靶点:
BAT1
- 抗体英文名:
BAT1 antibody [N1C2]
- 抗体名:
BAT1 抗体 [N1C2]
- 规格:
100 μl/25 μl
| 规格: | 100 μl | 产品价格: | ¥4000.0 |
|---|---|---|---|
| 规格: | 25 μl | 产品价格: | ¥1700.0 |
BAT1 antibody [N1C2] detects BAT1 protein at nucleus in rat liver by immunohistochemical analysis.
Sample: Paraffin-embedded rat liver.
BAT1 antibody [N1C2] (GTX101475) diluted at 1:500.
Antigen Retrieval: Citrate buffer, pH 6.0, 15 min
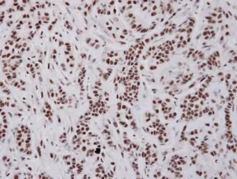
UAP56 antibody [N1C2] detects UAP56 protein at nucleus in mouse ovary by immunohistochemical analysis.
Sample: Paraffin-embedded mouse ovary.
UAP56 antibody [N1C2] (GTX101475) diluted at 1:500.
Antigen Retrieval: Citrate buffer, pH 6.0, 15 min
Immunohistochemical analysis of paraffin-embedded A549 xenograft , using UAP56(GTX101475) antibody at 1:100 dilution.
Antigen Retrieval: Citrate buffer, pH 6.0, 15 min
BAT1 antibody detects BAT1 protein by western blot analysis. Various whole cell extracts (30 μg) were separated by 10% SDS-PAGE, and the membrane was blotted with BAT1 antibody (GTX101475) diluted by 1:500. The HRP-conjugated anti-rabbit IgG antibody (GTX213110-01) was used to detect the primary antibody.
UAP56 antibody [N1C2] detects UAP56 protein at nucleus in mouse brain by immunohistochemical analysis.
Sample: Paraffin-embedded mouse brain.
UAP56 antibody [N1C2] (GTX101475) diluted at 1:500.
Antigen Retrieval: Citrate buffer, pH 6.0, 15 min
BAT1 antibody [N1C2] detects BAT1 protein at nucleus by immunofluorescent analysis.
Sample: HeLa cells were fixed in 4% PFA at RT for 15 min.
Green: BAT1 protein stained by BAT1 antibody [N1C2] (GTX101475) diluted at 1:500.
Red: alpha Tubulin protein stained by alpha Tubulin antibody [GT114] (GTX628802) diluted at 1:1000.
Scale bar = 10 μm.
风险提示:丁香通仅作为第三方平台,为商家信息发布提供平台空间。用户咨询产品时请注意保护个人信息及财产安全,合理判断,谨慎选购商品,商家和用户对交易行为负责。对于医疗器械类产品,请先查证核实企业经营资质和医疗器械产品注册证情况。
文献和实验Yang CC et al., PLoS One 2014 (PMID:25360769)
In the field of therapeutic recombinant proteins, monoclonal antibodies (mAbs) have achieved a rising success with more than 30 mAbs that have reached the market in the past 20 years. From a structural standpoint, one of the most important
Materials 0.1M NaHC03 pH9 DMSO NHS-Biotin (N-Hydroxysuccinimidobiotin, Sigma #H-1759) PBS Procedure Dialyze the sample against carbonate buffer. After dialysis, adjust
Antibody-Based Detection of CAG Repeat Expansion Containing Genes
-revealed by the 1C2 antibody interaction—and a tendency of mutant proteins to aggregate in vitro and in vivo. To date nine polygln expansion disorders have been characterized, the list of which includes Huntington’s disease (HD) the most frequent
技术资料暂无技术资料 索取技术资料






![Bestrophin 3 antibody [3B11]](https://img1.dxycdn.com/2023/0711/451/6106825198874858761-14.jpg!wh200)
![LOK antibody [N1N2], N-term](https://img1.dxycdn.com/2023/0711/255/2344116916935858761-14.jpg!wh200)


