相关产品推荐更多 >
万千商家帮你免费找货
0 人在求购买到急需产品
- 详细信息
- 文献和实验
- 技术资料
- 免疫原:
Recombinant protein encompassing a sequence within the center region of human Caspase 1. The exact sequence is proprietary.
- 亚型:
IgG
- 形态:
Liquid
- 保存条件:
Store as concentrated solution. Centrifuge briefly prior to opening vial. For short-term storage (1-2 weeks), store at 4ºC. For long-term storage, aliquot and store at -20ºC or below. Avoid multiple freeze-thaw cycles.
- 克隆性:
Polyclonal
- 标记物:
Unconjugated
- 适应物种:
Human, Mouse
- 保质期:
12 months from the shipping date of the product.
- 抗原来源:
Human
- 目录编号:
GTX101322
- 级别:
Primary Antibodies
- 库存:
Available
- 供应商:
GeneTex
- 宿主:
Rabbit
- 应用范围:
WB, ICC/IF, IHC-P
- 浓度:
1.08 mg/ml (Please refer to the vial label for the specific concentration.)
- 靶点:
Caspase 1
- 抗体英文名:
Caspase 1 antibody [N1N3]
- 抗体名:
Caspase 1 抗体 [N1N3]
- 规格:
100 μl/25 μl
| 规格: | 100 μl | 产品价格: | ¥4000.0 |
|---|---|---|---|
| 规格: | 25 μl | 产品价格: | ¥1700.0 |
Immunofluorescence analysis of methanol-fixed HeLa, using Caspase 1 alpha(GTX101322) antibody at 1:500 dilution.
Immunohistochemical analysis of paraffin-embedded SW480 xenograft, using Caspase 1 alpha(GTX101322) antibody at 1:100 dilution.
Antigen Retrieval: Trilogy™ (EDTA based, pH 8.0) buffer, 15min
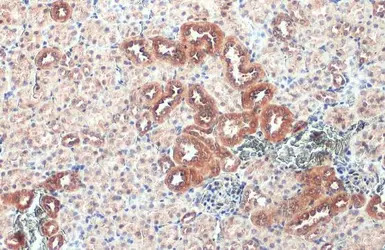
Caspase 1 antibody [N1N3] detects Caspase 1 protein at cell membrane and cytoplasm by immunohistochemical analysis.
Sample: Paraffin-embedded mouse kidney.
Caspase 1 stained by Caspase 1 antibody [N1N3] (GTX101322) diluted at 1:500.
Antigen Retrieval: Citrate buffer, pH 6.0, 15 min
Whole cell extract (30 μg) was separated by 7.5% SDS-PAGE, and the membrane was blotted with Caspase 1 antibody [N1N3] (GTX101322) diluted at 1:1000. The HRP-conjugated anti-rabbit IgG antibody (GTX213110-01) was used to detect the primary antibody.
风险提示:丁香通仅作为第三方平台,为商家信息发布提供平台空间。用户咨询产品时请注意保护个人信息及财产安全,合理判断,谨慎选购商品,商家和用户对交易行为负责。对于医疗器械类产品,请先查证核实企业经营资质和医疗器械产品注册证情况。
文献和实验Zhang C et al., Mol Med Rep 2021 (PMID:33760111)
Wu CY et al., J Cell Mol Med 2020 (PMID:33135320)
Chen C.Y. et al., Clinical Science 2018;132(20)
Yang JC et al., Evid Based Complement Alternat Med 2013 (PMID:23653660)
Hosoya T et al., J Am Soc Nephrol 2022 (PMID:34799437)
Feng M et al., Int J Mol Sci 2022 (PMID:36077522)
[3] 。但据报道,MCF-7 人乳腺癌细胞系中,因在 CASP-3 基因 exon 3 中存在 47bp 的缺失而不表达 caspase 3 蛋白[4] 。前体形式的 caspase-3 由一个前端功能区(prodomain)和一大一小两个催化亚单位构成。在特定的刺激比如配体受体互作、生长因子匮乏和细胞功能抑制剂等的作用下,未活化的酶原形式的 caspase-3 在 Asp-28/Ser-29(N 端功能前区)以及 Asp-175/Ser-176(大小亚基之间)被剪切活化,转变为活化的 p17 大亚
【求助】请问western blot做凋亡检测时,识别caspase-3酶原和激活的caspase-3的抗体是相同的吗?
-caspase-3(#9664)和原形态的caspase-3(#9662),但是需要说明的是,原形态的caspase-3抗体也可以同时检测剪切态的caspase-3,所以建议购买原形态的caspase-3就行了。 (如下图所示) 另外,PARP也是购买全长的就行了,(PARP Antibody #9542)。 lsdcfhyj 谢谢两位的回答 本文由丁香园论坛提供,想了解更多有用的、有意思的前沿资讯以及酷炫的实验
In the field of therapeutic recombinant proteins, monoclonal antibodies (mAbs) have achieved a rising success with more than 30 mAbs that have reached the market in the past 20 years. From a structural standpoint, one of the most important
技术资料暂无技术资料 索取技术资料






![TGF beta 2 antibody [220ct16.4.3.1]](https://img1.dxycdn.com/2023/0711/451/6106825198874858761-14.jpg!wh200)
![Cyclin D1 antibody [DCS-6]](https://custom.dxycdn.com/trademd/upload/pic/2011/12/14/1323695845.jpg!small.t.1)


