相关产品推荐更多 >
万千商家帮你免费找货
0 人在求购买到急需产品
- 详细信息
- 文献和实验
- 技术资料
- 免疫原:
Recombinant protein encompassing a sequence within the center region of human Apolipoprotein D. The exact sequence is proprietary.
- 亚型:
IgG
- 形态:
Liquid
- 保存条件:
Store as concentrated solution. Centrifuge briefly prior to opening vial. For short-term storage (1-2 weeks), store at 4ºC. For long-term storage, aliquot and store at -20ºC or below. Avoid multiple freeze-thaw cycles.
- 克隆性:
Polyclonal
- 标记物:
Unconjugated
- 适应物种:
Human, Mouse, Rat
- 保质期:
12 months from the shipping date of the product.
- 抗原来源:
Human
- 目录编号:
GTX101306
- 级别:
Primary Antibodies
- 库存:
Available
- 供应商:
GeneTex
- 宿主:
Rabbit
- 应用范围:
WB, ICC/IF, IHC-P
- 浓度:
0.68 mg/ml (Please refer to the vial label for the specific concentration.)
- 靶点:
Apolipoprotein D
- 抗体英文名:
Apolipoprotein D antibody
- 抗体名:
Apolipoprotein D 抗体
- 规格:
100 μl/25 μl
| 规格: | 100 μl | 产品价格: | ¥4000.0 |
|---|---|---|---|
| 规格: | 25 μl | 产品价格: | ¥1700.0 |
Various whole cell extracts (30 μg) were separated by 12% SDS-PAGE, and the membrane was blotted with Apolipoprotein D antibody (GTX101306) diluted at 1:1000.
Apolipoprotein D antibody detects Apolipoprotein D protein at cytoplasm in rat liver by immunohistochemical analysis.
Sample: Paraffin-embedded rat liver.
Apolipoprotein D antibody (GTX101306) diluted at 1:500.
Antigen Retrieval: Citrate buffer, pH 6.0, 15 min
Apolipoprotein D antibody detects Apolipoprotein D protein at cytoplasm and nucleus by immunofluorescent analysis.
Sample: A431 cells were fixed in 4% PFA at RT for 15 min.
Green: Apolipoprotein D protein stained by Apolipoprotein D antibody (GTX101306) diluted at 1:500.
Blue: Hoechst 33342 staining.
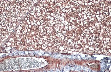
Apolipoprotein D antibody detects Apolipoprotein D protein at cytoplasm by immunohistochemical analysis.
Sample: Paraffin-embedded mouse brown adipocyte.
Apolipoprotein D stained by Apolipoprotein D antibody (GTX101306) diluted at 1:500.
Antigen Retrieval: Citrate buffer, pH 6.0, 15 min
风险提示:丁香通仅作为第三方平台,为商家信息发布提供平台空间。用户咨询产品时请注意保护个人信息及财产安全,合理判断,谨慎选购商品,商家和用户对交易行为负责。对于医疗器械类产品,请先查证核实企业经营资质和医疗器械产品注册证情况。
文献和实验Analysis of Protein Complexes by 2D Blue Native/SDSPAGE and Antibody-Shift Assay
Blue native polyacrylamide gel electrophoresis (BN-PAGE) is a powerful strategy for the separation of native multiprotein complex (MPC). Combined with other techniques, such as SDS–PAGE, immunoblotting, mass spectrometry, and antibody-shift
has eluted into the column. c) Add 5mL of PBS on top. d)Open Stopcock. collect in 2mL fractions, discarding the first 2mL and keeping the 2nd 2mL fraction. The second 2mL fraction contains the conjugated antibody*. *NOTE: Step d) appropriate only if 1mL
Temperature-Dependent Antibody Kinetics as a Tool in Antibody Lead Selection
Antibody–antigen interactions can principally be classified into three different temperature-dependent kinetic rate profiles. The affinity K D can persist, decrease, or increase in the temperature gradient. Today, the impact of temperature
技术资料暂无技术资料 索取技术资料





![CD72 antibody [Bu40]](https://img1.dxycdn.com/2023/0711/451/6106825198874858761-14.jpg!wh200)


