相关产品推荐更多 >
万千商家帮你免费找货
0 人在求购买到急需产品
- 详细信息
- 文献和实验
- 技术资料
- 免疫原:
Recombinant protein encompassing a sequence within the center region of human Heme Oxygenase 1. The exact sequence is proprietary.
- 亚型:
IgG
- 形态:
Liquid
- 保存条件:
Store as concentrated solution. Centrifuge briefly prior to opening vial. For short-term storage (1-2 weeks), store at 4ºC. For long-term storage, aliquot and store at -20ºC or below. Avoid multiple freeze-thaw cycles.
- 克隆性:
Polyclonal
- 标记物:
Unconjugated
- 适应物种:
Human, Mouse, Rat, Monkey
- 保质期:
12 months from the shipping date of the product.
- 抗原来源:
Human
- 目录编号:
GTX101147
- 级别:
Primary Antibodies
- 库存:
Available
- 供应商:
GeneTex
- 宿主:
Rabbit
- 应用范围:
WB, ICC/IF, IHC-P, ELISA, Sandwich ELISA
- 浓度:
0.45 mg/ml (Please refer to the vial label for the specific concentration.)
- 靶点:
Heme Oxygenase 1
- 抗体英文名:
Heme Oxygenase 1 antibody
- 抗体名:
Heme Oxygenase 1 抗体
- 规格:
100 μl/25 μl
| 规格: | 100 μl | 产品价格: | ¥4000.0 |
|---|---|---|---|
| 规格: | 25 μl | 产品价格: | ¥1700.0 |
Wild-type (WT) and Heme Oxygenase 1 knockout (KO) HeLa cell extracts (30 μg) were separated by 12% SDS-PAGE, and the membrane was blotted with Heme Oxygenase 1 antibody (GTX101147) diluted at 1:500. The HRP-conjugated anti-rabbit IgG antibody (GTX213110-01) was used to detect the primary antibody, and the signal was developed with Trident ECL plus-Enhanced.
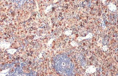
Heme Oxygenase 1 antibody detects Heme Oxygenase 1 protein at cytoplasm by immunohistochemical analysis.
Sample: Paraffin-embedded mouse liver.
Heme Oxygenase 1 stained by Heme Oxygenase 1 antibody (GTX101147) diluted at 1:500.
Antigen Retrieval: Citrate buffer, pH 6.0, 15 min
Heme Oxygenase 1 antibody detects Heme Oxygenase 1 protein at cytoplasm by immunohistochemical analysis.
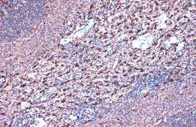
Sample: Paraffin-embedded rat spleen.
Heme Oxygenase 1 stained by Heme Oxygenase 1 antibody (GTX101147) diluted at 1:500.
Antigen Retrieval: Citrate buffer, pH 6.0, 15 min
Heme Oxygenase 1 antibody detects Heme Oxygenase 1 protein at cytoplasm by immunohistochemical analysis.
Sample: Paraffin-embedded mouse spleen.
Heme Oxygenase 1 stained by Heme Oxygenase 1 antibody (GTX101147) diluted at 1:500.
Antigen Retrieval: Citrate buffer, pH 6.0, 15 min
Sandwich ELISA detection of recombinant full-length Heme Oxygenase 1 protein using GTX633677 as capture antibody at concentration of 5 μg/mL and GTX101147 as detection antibody at concentration of 1 μg/mL. Rabbit IgG antibody (HRP) (GTX213110-01) was diluted at 1:10000 and used to detect the primary antibody.
Rat tissue extract (50 μg) was separated by 12% SDS-PAGE, and the membrane was blotted with Heme Oxygenase 1 antibody (GTX101147) diluted at 1:1000. The HRP-conjugated anti-rabbit IgG antibody (GTX213110-01) was used to detect the primary antibody.
Whole cell extract (30 μg) was separated by 12% SDS-PAGE, and the membrane was blotted with Heme Oxygenase 1 antibody (GTX101147) diluted at 1:1000. The HRP-conjugated anti-rabbit IgG antibody (GTX213110-01) was used to detect the primary antibody.
Untreated (–) and treated (+) HeLa whole cell extracts (30 μg) were separated by 12% SDS-PAGE, and the membrane was blotted with Heme Oxygenase 1 antibody (GTX101147) diluted at 1:5000. The HRP-conjugated anti-rabbit IgG antibody (GTX213110-01) was used to detect the primary antibody.
Heme Oxygenase 1 antibody detects Heme Oxygenase 1 protein at endoplasmic reticulum and nucleus by immunofluorescent analysis.
Sample: Mock and treated HeLa cells were fixed in 4% PFA at RT for 15 min.
Green: Heme Oxygenase 1 stained by Heme Oxygenase 1 antibody (GTX101147) diluted at 1:500.
Blue: Fluoroshield with DAPI (GTX30920).
Heme Oxygenase 1 antibody detects Heme Oxygenase 1 protein at cytoplasm on human renal carcinoma by immunohistochemical analysis.
Sample: Paraffin-embedded human renal carcinoma .
Heme Oxygenase 1 antibody (GTX101147) diluted at 1:500.
Antigen Retrieval: Trilogy™ (EDTA based, pH 8.0) buffer, 15min
风险提示:丁香通仅作为第三方平台,为商家信息发布提供平台空间。用户咨询产品时请注意保护个人信息及财产安全,合理判断,谨慎选购商品,商家和用户对交易行为负责。对于医疗器械类产品,请先查证核实企业经营资质和医疗器械产品注册证情况。
文献和实验Mohd Salman et al., Dis Model Mech. 2020 (PMID:32540990)
Mohd Salman et al., Mol Neurobiol. 2020 (PMID:32399817)
Kuang Y et al., Mol Med Rep 2020 (PMID:32945364)
Yeh CN et al., Cancer Manag Res 2018 (PMID:30538554)
Hseu YC et al., Oxid Med Cell Longev 2020 (PMID:32104530)
Tsai YS et al., Cancer Sci 2019 (PMID:30719818)
Binte Hossain KF et al., Ecotoxicol Environ Saf 2020 (PMID:32036095)
Hseu YC et al., Oxid Med Cell Longev 2019 (PMID:31814875)
Huang SY et al., Biomolecules 2019 (PMID:31430968)
Neitzel C et al., Cells 2019 (PMID:31366086)
Hseu YC et al., Biochem Pharmacol 2019 (PMID:30991050)
Ko PH et al., Chin Med 2019 (PMID:30936938)
Chu Y et al., Int J Mol Sci 2019 (PMID:30621167)
Cai J et al., Cell Rep 2018 (PMID:30428342)
Yeom M et al., Front Pharmacol 2018 (PMID:30524278)
Huang KF et al., J Cell Physiol 2018 (PMID:29943824)
Cheng YM et al., Oncotarget 2018 (PMID:29899863)
Tsai MS et al., Toxicol Lett 2018 (PMID:29574133)
Lin JT et al., Food Funct. 2017 (PMID:28232982)
Xu YM et al., Oncotarget 2016 (PMID:26716417)
Hseu YC et al., J Dermatol Sci 2018 (PMID:29395579)
Hseu YC et al., journal of functional foods 2015 12()
Hseu YC et al., Free Radic Biol Med 2015 (PMID:26021820)
Huang YC et al., Toxicol Appl Pharmacol 2017 (PMID:28558962)
Ugun-Klusek A et al., Cell Death Dis 2017 (PMID:28055010)
Asada D et al., Pediatr Int 2016 (PMID:27097979)
Lin PL et al., Free Radic Biol Med 2016 (PMID:27033953)
Yu JS et al., PLoS One 2016 (PMID:27023634)
Yeh CH et al., J Cell Physiol 2015 (PMID:25557231)
YP Lee et al., Am J Cancer Res 2023 (PMID:37168338)
Lai W et al., Nanomaterials (Basel) 2022 (PMID:36432281)
Zhang W et al., Oxid Med Cell Longev 2023 (PMID:36691640)
Pritchard KA Jr et al., PLoS One 2022 (PMID:36018859)
Valeria Consoli et al., Int J Mol Sci 2022 (PMID:35628518)
Valeria Ciaffaglione et al., Molecules 2022 (PMID:35630697)
Yang Yang et al., Front Cell Neurosci 2022 (PMID:35496911)
Angela Filoni et al., Life (Basel) 2022 (PMID:35207500)
Ryan Houston et al., Mol Biol Cell 2021 (PMID:34495738)
Xing Ren et al., Neuropsychiatr Dis Treat 2022 (PMID:35280979)
Ting-Yu Chao et al., Food Sci Nutr 2021 (PMID:34531989)
Kostka T et al., Arch Toxicol 2020 (PMID:32671443)
Li J et al., Ecotoxicol Environ Saf 2021 (PMID:34773846)
Shih HJ et al., Sci Rep 2021 (PMID:34824343)
Cazzato G et al., Biomolecules 2021 (PMID:34439887)
Fallica AN et al., J Med Chem 2021 (PMID:34472337)
Song L et al., Brain Res Bull 2021 (PMID:34500039)
Mineo S et al., Arch Oral Biol 2021 (PMID:34325345)
Sorrenti V et al., Biomolecules 2021 (PMID:34205698)
Raineri A et al., Molecules. 2021 (PMID:34443613)
Hori Y et al., Cells 2021 (PMID:34063571)
Zeng J et al., Phytother Res 2021 (PMID:33755271)
Hossain KFB et al., Food Chem Toxicol 2020 (PMID:33091556)
Chen HY et al., Chem Biol Interact 2020 (PMID:32980322)
Seiwert N et al., Cell Death Dis 2020 (PMID:32968051)
Hossain KFB et al., Ecotoxicol Environ Saf 2021 (PMID:32947215)
Batubara I et al., Antioxidants (Basel) 2020 (PMID:32784463)
Immunoregulatory Properties of Heme Oxygenase-1
Heme oxygenase-1 (HO-1) is one of the three isoforms of the heme oxygenase enzyme that catabolyzes the degradation of heme into biliverdin with the production of free iron and CO. HO-1 is induced by its substrate and by other stimuli
Heme Oxygenase Activity Current Methods and Applications
The heme oxygenase enzymes (HO-1 and HO-2) oxidize heme to biliver-din-IXα (BVIXα), releasing carbon monoxide (CO) and iron (Fig. 1 ). HO enzymes control the rate of heme degradation and, consequently, also control the redistribution
oxygenase-1 (HO-1) and ferritin, both possessing highly protective properties. There is good experimental evidence that at least part of the beneficial profile of long-term PETN treatment is based on activation of the heme oxygenase-1/ferritin system.
技术资料暂无技术资料 索取技术资料





![LONRF3 antibody [N2C2], Internal](https://img1.dxycdn.com/2023/0516/050/2572066211091928561-14.jpg!wh200)
![OST48 antibody [C1C3]](https://img1.dxycdn.com/2023/0516/895/8887749495766728561-14.jpg!wh200)


