相关产品推荐更多 >
万千商家帮你免费找货
0 人在求购买到急需产品
- 详细信息
- 文献和实验
- 技术资料
- 免疫原:
Recombinant protein encompassing a sequence within the center region of human Annexin A1. The exact sequence is proprietary.
- 亚型:
IgG
- 形态:
Liquid
- 保存条件:
Store as concentrated solution. Centrifuge briefly prior to opening vial. For short-term storage (1-2 weeks), store at 4ºC. For long-term storage, aliquot and store at -20ºC or below. Avoid multiple freeze-thaw cycles.
- 克隆性:
Polyclonal
- 标记物:
Unconjugated
- 适应物种:
Human, Mouse, Rat
- 保质期:
12 months from the shipping date of the product.
- 抗原来源:
Human
- 目录编号:
GTX101070
- 级别:
Primary Antibodies
- 库存:
Available
- 供应商:
GeneTex
- 宿主:
Rabbit
- 应用范围:
WB, ICC/IF, IHC-P, IP
- 浓度:
0.95 mg/ml (Please refer to the vial label for the specific concentration.)
- 靶点:
Annexin A1
- 抗体英文名:
Annexin A1 antibody
- 抗体名:
Annexin A1 抗体
- 规格:
100 μl/25 μl
| 规格: | 100 μl | 产品价格: | ¥4000.0 |
|---|---|---|---|
| 规格: | 25 μl | 产品价格: | ¥1700.0 |
Wild-type (WT) and Annexin A1 knockout (KO) HeLa cell extracts (30 μg) were separated by 10% SDS-PAGE, and the membrane was blotted with Annexin A1 antibody (GTX101070) diluted at 1:1000. The HRP-conjugated anti-rabbit IgG antibody (GTX213110-01) was used to detect the primary antibody.
Various whole cell extracts (30 μg) were separated by 10% SDS-PAGE, and the membranes were blotted with Annexin A1 antibody (GTX101070) diluted at 1:5000 and competitor's antibody diluted at 1:5000. The HRP-conjugated anti-rabbit IgG antibody (GTX213110-01) was used to detect the primary antibody.
*The competitor is not affiliated with GeneTex and does not endorse this product.
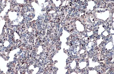
Annexin A1 antibody detects Annexin A1 protein at nucleus by immunohistochemical analysis.
Sample: Paraffin-embedded mouse lung.
Annexin A1 stained by Annexin A1 antibody (GTX101070) diluted at 1:500.
Antigen Retrieval: Citrate buffer, pH 6.0, 15 min
Annexin A1 antibody detects Annexin A1 protein by immunofluorescent analysis.
Sample: HeLa cells were fixed in 4% PFA at RT for 15 min.
Green: Annexin A1 stained by Annexin A1 antibody (GTX101070) diluted at 1:500.
Blue: Fluoroshield with DAPI (GTX30920).
Scale bar= 10 μm.
Immunoprecipitation of Annexin A1 protein from HeLa whole cell extracts using 5 μg of Annexin A1 antibody (GTX101070).
Western blot analysis was performed using Annexin A1 antibody (GTX101070).
EasyBlot anti-Rabbit IgG (GTX221666-01) was used as a secondary reagent.
Various whole cell extracts (30 μg) were separated by 10% SDS-PAGE, and the membrane was blotted with Annexin A1 antibody (GTX101070) diluted at 1:10000. The HRP-conjugated anti-rabbit IgG antibody (GTX213110-01) was used to detect the primary antibody.
Various whole cell extracts (30 μg) were separated by 10% SDS-PAGE, and the membrane was blotted with Annexin A1 antibody (GTX101070) diluted at 1:10000. The HRP-conjugated anti-rabbit IgG antibody (GTX213110-01) was used to detect the primary antibody. Corresponding RNA expression data for the same cell lines are based on Human Protein Atlas program.
Various whole cell extracts (30 μg) were separated by 10% SDS-PAGE, and the membrane was blotted with Annexin A1 antibody (GTX101070) diluted at 1:10000. The HRP-conjugated anti-rabbit IgG antibody (GTX213110-01) was used to detect the primary antibody. Corresponding RNA expression data for the same cell lines are based on Human Protein Atlas program.
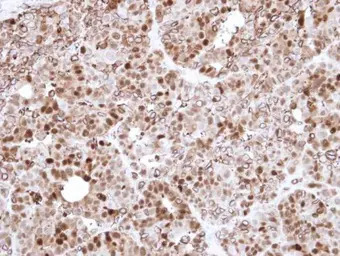
Immunohistochemical analysis of paraffin-embedded N87 Xenograft , using Annexin I(GTX101070) antibody at 1:500 dilution.
Antigen Retrieval: Trilogy™ (EDTA based, pH 8.0) buffer, 15min
Non-transfected (–) and transfected (+) 293T whole cell extracts (30 μg) were separated by 10% SDS-PAGE, and the membrane was blotted with Annexin A1 antibody (GTX101070) diluted at 1:10000. The HRP-conjugated anti-rabbit IgG antibody (GTX213110-01) was used to detect the primary antibody.
风险提示:丁香通仅作为第三方平台,为商家信息发布提供平台空间。用户咨询产品时请注意保护个人信息及财产安全,合理判断,谨慎选购商品,商家和用户对交易行为负责。对于医疗器械类产品,请先查证核实企业经营资质和医疗器械产品注册证情况。
文献和实验Law CH et al., Toxicology 2013 (PMID:23178681)
Fan CY et al., Electrophoresis 2013 (PMID:24115172)
Jing Chen et al., Front Immunol 2022 (PMID:35693826)
Santarsiero A et al., Oxid Med Cell Longev 2021 (PMID:34122722)
Kuo CH et al., Cell Biochem Funct 2020 (PMID:33135206)
Wang C et al., Environ Toxicol Pharmacol 2019 (PMID:31586870)
人a1-抗胰蛋白酶(a1-Antitrypsin)ELISA试剂盒 说明书
ml 标准品( Standards ): 200ug/ 瓶 2 瓶 底物工作液( TMB Solution ) 12ml 第一抗体工作液( Biotinylated Antibody ) 12ml 终止
Annexin V-PI 双染法 在细胞凋亡的早期就有细胞膜表面破损发生。破损时凋亡细胞表面的磷脂腺丝氨酸(PS)可以从细胞内膜翻转至细胞的外膜。该过程发生在DNA片段化之前,因而检测PS的表达,能反映早期凋亡。AnnexinV是相对分子质量为35 000大小的Ca2+依赖的磷脂结合蛋白,对PS有很高的亲和性,并且可以与暴露于细胞外的PS相结合。利用这一原理,可以将AnnexinV标记荧光来识别早期的细胞凋亡。通常利用AnnexinV-FITC和碘化丙啶(P1)来区分凋亡和坏死细胞。PI
大鼠a1-酸性糖蛋白(a1-AGP)ELISA试剂盒 说明书
品( Standards ): 5000ug/ 瓶 2 瓶 底物工作液( TMB Solution ) 12ml 第一抗体工作液( Biotinylated Antibody ) 12ml 终止液 ( Stop Solution
技术资料暂无技术资料 索取技术资料






![p63 antibody [rTP40/3690]](https://img1.dxycdn.com/2023/0711/451/6106825198874858761-14.jpg!wh200)

![VEGFD antibody [N3C3]](https://img1.dxycdn.com/2023/0711/255/2344116916935858761-14.jpg!wh200)

