相关产品推荐更多 >
万千商家帮你免费找货
0 人在求购买到急需产品
- 详细信息
- 文献和实验
- 技术资料
- 免疫原:
A synthetic peptide corresponding to an Internal region of Human SCD
- 亚型:
IgG
- 形态:
Liquid
- 保存条件:
Store as concentrated solution. Centrifuge briefly prior to opening vial. For short-term storage (1-2 weeks), store at 4ºC. For long-term storage, aliquot and store at -20ºC or below. Avoid multiple freeze-thaw cycles.
- 克隆性:
Polyclonal
- 标记物:
Unconjugated
- 适应物种:
Human
- 保质期:
12 months from the shipping date of the product.
- 抗原来源:
Human
- 目录编号:
GTX77829
- 级别:
Primary Antibodies
- 库存:
Available
- 供应商:
GeneTex
- 宿主:
Rabbit
- 应用范围:
WB, IHC-P
- 浓度:
0.5-1 mg/ml (Please refer to the vial label for the specific concentration.)
- 靶点:
SCD
- 抗体英文名:
SCD antibody, Internal
- 抗体名:
SCD 抗体, Internal
- 规格:
100 μg
WB analysis of Jurkat cells using GTX77829 SCD antibody at 1μg/ml.
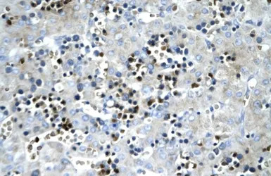
IHC-P analysis of human liver tissue using GTX77829 SCD antibody at 4.0-8.0μg/ml.
WB analysis of human liver tissue using GTX77829 SCD antibody at 1.0μg/ml.
风险提示:丁香通仅作为第三方平台,为商家信息发布提供平台空间。用户咨询产品时请注意保护个人信息及财产安全,合理判断,谨慎选购商品,商家和用户对交易行为负责。对于医疗器械类产品,请先查证核实企业经营资质和医疗器械产品注册证情况。
文献和实验上海西唐生物科技有限公司 021-55229872, 65333639 www.westang.com 人sCD13 (sCD13)ELISA 试剂盒 ( 用于血清、血浆、细胞培养上清液和其它生物体液内 ) 原理 本实验采用双抗体夹心 ABC-ELISA 法。用抗人 sCD13 单抗包被于酶标板上,标准品和样品中的 sCD13与单抗结合,加入生物素化的抗人 sCD13 ,形成
人sCD40配体(sCD40 Ligand)ELISA试剂盒 说明书
人sCD40 配体 (sCD40 Ligand)ELISA 试剂盒 ( 用于血清、血浆、细胞培养上清液和其它生物体液内 ) 原理 本实验采用双抗体夹心 ABC-ELISA 法。用抗人 sCD40 Ligand 单抗包被于酶标板上,标准品和样品中的 sCD40 Ligand与单抗结合,加入生物素化的抗人 sCD40 Ligand ,形成免疫复合物连接在板上,辣根
人sCD137配体(sCD137 Ligand)ELISA试剂盒 说明书
上海西唐生物科技有限公司 021-55229872, 65333639 www.westang.com 人s CD137 配体 (sCD 137 Ligand)ELISA 试剂盒 ( 用于血清、血浆、细胞培养上清液和其它生物体液内 ) 原理 本实验采用双抗体夹心 ABC-ELISA 法。用抗人 sCD137 Ligand 单抗包被于酶标板上,标准品和样品中的 sCD137
技术资料暂无技术资料 索取技术资料






![COL1A2 antibody [C2C3], C-term](https://img1.dxycdn.com/2023/0516/895/8887749495766728561-14.jpg!wh200)
![Heparin Cofactor II antibody [008]](https://img1.dxycdn.com/2023/0711/451/6106825198874858761-14.jpg!wh200)


