相关产品推荐更多 >
万千商家帮你免费找货
0 人在求购买到急需产品
- 详细信息
- 文献和实验
- 技术资料
- 免疫原:
Recombinant protein encompassing a sequence within the C-terminus region of human SHP2. The exact sequence is proprietary.
- 亚型:
IgG
- 形态:
Liquid
- 保存条件:
Store as concentrated solution. Centrifuge briefly prior to opening vial. For short-term storage (1-2 weeks), store at 4ºC. For long-term storage, aliquot and store at -20ºC or below. Avoid multiple freeze-thaw cycles.
- 克隆性:
Polyclonal
- 标记物:
Unconjugated
- 适应物种:
Human, Mouse, Rat
- 保质期:
12 months from the shipping date of the product.
- 抗原来源:
Human
- 目录编号:
GTX101062
- 级别:
Primary Antibodies
- 库存:
Available
- 供应商:
GeneTex
- 宿主:
Rabbit
- 应用范围:
WB, IHC-P
- 浓度:
0.63 mg/ml (Please refer to the vial label for the specific concentration.)
- 靶点:
SHP2
- 抗体英文名:
SHP2 antibody
- 抗体名:
SHP2 抗体
- 规格:
100 μl/25 μl
| 规格: | 100 μl | 产品价格: | ¥4000.0 |
|---|---|---|---|
| 规格: | 25 μl | 产品价格: | ¥1700.0 |
Wild-type (WT) and SHP2 knockout (KO) 293T cell extracts (30 μg) were separated by 7.5% SDS-PAGE, and the membrane was blotted with SHP2 antibody (GTX101062) diluted at 1:500. The HRP-conjugated anti-rabbit IgG antibody (GTX213110-01) was used to detect the primary antibody.
SHP2 antibody detects PTPN11 protein by Western blot analysis.
A. 50 μg rat brain lysate/extract
7.5 % SDS-PAGE
SHP2 antibody (GTX101062) dilution: 1:1000
Immunohistochemical analysis of paraffin-embedded A549 xenograft , using SHP2(GTX101062) antibody at 1:500 dilution.
Antigen Retrieval: Trilogy™ (EDTA based, pH 8.0) buffer, 15min
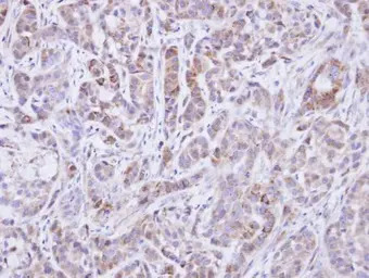
SHP2 antibody detects PTPN11 protein at cytosol on BT483 xenograft by immunohistochemical analysis.
Sample: Paraffin-embedded BT483 xenograft.
SHP2 antibody (GTX101062) dilution: 1:500.
Antigen Retrieval: Trilogy™ (EDTA based, pH 8.0) buffer, 15min
Sample (50 ug of whole cell lysate)
A: Mouse brain
7.5% SDS PAGE
GTX101062 diluted at 1:500
风险提示:丁香通仅作为第三方平台,为商家信息发布提供平台空间。用户咨询产品时请注意保护个人信息及财产安全,合理判断,谨慎选购商品,商家和用户对交易行为负责。对于医疗器械类产品,请先查证核实企业经营资质和医疗器械产品注册证情况。
文献和实验Wang YC et al., Int J Biol Sci 2018;14(1)
Washio K et al., Leuk Lymphoma 2017 (PMID:28367723)
Mang Y et al., Ann Transl Med 2022 (PMID:36330418)
食尸鬼 SHP2的分子量到底是多少啊,有的抗体说明书上是70KD,有的是64KD,我看的文献却说是68KD,到底是多少啊,不同细胞的会有差别吗,怎么这么大? 另外有的资料上说理论值是70KD,理论值是啥意思 weixiaozhu 食尸鬼 wrote: SHP2的分子量到底是多少啊,有的抗体说明书上是70KD,有的是64KD,我看的文献却说是68KD,到底是多少啊,不同细胞的会有差别
Cell Reports:浙大陈晓团队解码肌腱成熟过程的关键细胞图谱并验证 NGF-SHP2 调控成熟的机制
肌腱的细胞亚群和胶原纤维纳米水平构建机制,可望发现关键靶点和实现肌腱的亚显微结构再生。 在此背景下,浙江大学陈晓课题组于 2022 年 4 月 26 日在 Cell Reports 杂志上发表了题为 A Cd9+/Cd271+ stem/progenitor population and the SHP2 pathway contribute to neonatal-to-adult switching that regulates tendon maturation 的研究论文,首次
Generation of Antibody Molecules Through Antibody Engineering
been overcome to a large extent using genetic-engineering techniques to produce chimeric mouse/human and completely human antibodies. Such an approach is particularly suitable because of the domain structure of the antibody molecule ( 2 ), where functional
技术资料暂无技术资料 索取技术资料









