相关产品推荐更多 >
万千商家帮你免费找货
0 人在求购买到急需产品
- 详细信息
- 文献和实验
- 技术资料
- 免疫原:
Carrier-protein conjugated synthetic peptide encompassing a sequence within the N-terminus region of human TLR9. The exact sequence is proprietary.
- 亚型:
IgG
- 形态:
Liquid
- 保存条件:
Store as concentrated solution. Centrifuge briefly prior to opening vial. For short-term storage (1-2 weeks), store at 4ºC. For long-term storage, aliquot and store at -20ºC or below. Avoid multiple freeze-thaw cycles.
- 克隆性:
Polyclonal
- 标记物:
Unconjugated
- 适应物种:
Human, Mouse
- 保质期:
12 months from the shipping date of the product.
- 抗原来源:
Human
- 目录编号:
GTX100726
- 级别:
Primary Antibodies
- 库存:
Available
- 供应商:
GeneTex
- 宿主:
Rabbit
- 应用范围:
WB, IHC-P
- 浓度:
0.4 mg/ml (Please refer to the vial label for the specific concentration.)
- 靶点:
TLR9
- 抗体英文名:
TLR9 antibody [N2], N-term
- 抗体名:
TLR9 抗体 [N2], N-term
- 规格:
100 μl/25 μl
| 规格: | 100 μl | 产品价格: | ¥4000.0 |
|---|---|---|---|
| 规格: | 25 μl | 产品价格: | ¥1700.0 |
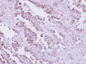
TLR9 antibody [N2], N-term detects TLR9 protein by immunohistochemical analysis.
Sample: Paraffin-embedded mouse spleen.
TLR9 stained by TLR9 antibody [N2], N-term (GTX100726) diluted at 1:500.
Antigen Retrieval: Citrate buffer, pH 6.0, 15 min
Sample (30 ug of whole cell lysate)
A: THP-1
7.5% SDS PAGE
GTX100726 diluted at 1:1000
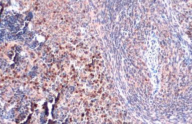
Immunohistochemical analysis of paraffin-embedded human lung cancer, using TLR9(GTX100726) antibody at 1:250 dilution.
Antigen Retrieval: Citrate buffer, pH 6.0, 15 min
Sample (30 ug of whole cell lysate)
A: Non-transfected 293T lysates
B: TLR9 transfected 293T lysates
7.5% SDS PAGE
GTX100726 diluted at 1:2000
风险提示:丁香通仅作为第三方平台,为商家信息发布提供平台空间。用户咨询产品时请注意保护个人信息及财产安全,合理判断,谨慎选购商品,商家和用户对交易行为负责。对于医疗器械类产品,请先查证核实企业经营资质和医疗器械产品注册证情况。
文献和实验N2 supplement的配置和N2 Supplement操作手册
as a substitute for the N-1 Bottenstein formulation. N-2 medium appears to be selective for neuronal Cell lines and does not support the growth of nonneuronal cell lines. N2 Supplement作用特点以及protocol 应用 •无血清培养 •血清替代品 •神经细胞 瘤生长
In the field of therapeutic recombinant proteins, monoclonal antibodies (mAbs) have achieved a rising success with more than 30 mAbs that have reached the market in the past 20 years. From a structural standpoint, one of the most important
人 Toll 样受体 9(TLR9) 酶联免疫分析 试剂盒使用说明书 本试剂仅供研究使用 目的:本试剂盒用于测定人血清,细胞上清及相关液体样本中 Toll 样受体9(TLR9) 的含量。 实验原理: 本试剂盒应用双抗体夹心法测定标本中 人 Toll 样受体9(TLR9) 水平。用纯化的人 Toll 样受体9(TLR9) 抗体包被微孔板,制成固相抗体,往包被单抗的微孔中依次加入 Toll 样受体9(TLR9
技术资料暂无技术资料 索取技术资料





![HLA Class I antibody [W6/32]](https://img1.dxycdn.com/2023/0711/451/6106825198874858761-14.jpg!wh200)



