相关产品推荐更多 >
万千商家帮你免费找货
0 人在求购买到急需产品
- 详细信息
- 文献和实验
- 技术资料
- 免疫原:
Carrier-protein conjugated synthetic peptide encompassing a sequence within the N-terminus region of human Cystatin S. The exact sequence is proprietary.
- 亚型:
IgG
- 形态:
Liquid
- 保存条件:
Store as concentrated solution. Centrifuge briefly prior to opening vial. For short-term storage (1-2 weeks), store at 4ºC. For long-term storage, aliquot and store at -20ºC or below. Avoid multiple freeze-thaw cycles.
- 克隆性:
Polyclonal
- 标记物:
Unconjugated
- 适应物种:
Human
- 保质期:
12 months from the shipping date of the product.
- 抗原来源:
Human
- 目录编号:
GTX100690
- 级别:
Primary Antibodies
- 库存:
Available
- 供应商:
GeneTex
- 宿主:
Rabbit
- 应用范围:
WB, ICC/IF, IHC-P
- 浓度:
1 mg/ml (Please refer to the vial label for the specific concentration.)
- 靶点:
Cystatin S
- 抗体英文名:
Cystatin S antibody [N1N3]
- 抗体名:
Cystatin S 抗体 [N1N3]
- 规格:
100 μl/25 μl
| 规格: | 100 μl | 产品价格: | ¥4000.0 |
|---|---|---|---|
| 规格: | 25 μl | 产品价格: | ¥1700.0 |
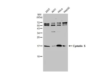
Various whole cell extracts (30 μg) were separated by 15% SDS-PAGE, and the membrane was blotted with Cystatin S antibody [N1N3] (GTX100690) diluted at 1:1000. The HRP-conjugated anti-rabbit IgG antibody (GTX213110-01) was used to detect the primary antibody.
Whole cell extract (30 μg) was separated by 15% SDS-PAGE, and the membrane was blotted with Cystatin S antibody [N1N3] (GTX100690) diluted at 1:1000. The HRP-conjugated anti-rabbit IgG antibody (GTX213110-01) was used to detect the primary antibody.
Immunohistochemical analysis of paraffin-embedded SW480 xenograft, using Cystatin S(GTX100690) antibody at 1:100 dilution.
Antigen Retrieval: Trilogy™ (EDTA based, pH 8.0) buffer, 15min
Immunofluorescence analysis of methanol-fixed A431, using Cystatin S(GTX100690) antibody at 1:200 dilution.
风险提示:丁香通仅作为第三方平台,为商家信息发布提供平台空间。用户咨询产品时请注意保护个人信息及财产安全,合理判断,谨慎选购商品,商家和用户对交易行为负责。对于医疗器械类产品,请先查证核实企业经营资质和医疗器械产品注册证情况。
文献和实验Maruyama Y et al., PeerJ 2023 (PMID:37193030)
A. Meyer( 1926)提出的表示湿润度的物理量,并赋以 N/ S=降水量(毫米)/(饱和水蒸气张力 -实际水蒸汽张力)(毫米 Hg)的定义。通常以一年的数量为对象,分母实际上是饱和水蒸汽张力对于当地平均气温之比,乘以空气关系饱和差(从 100减去平均相对湿度,又以 100除所得商)来求出。如下:表所示与植物群落及土壤类型的分布状况颇相一致。
In order to highlight our understanding on ecosystems functioning and resource sharing/competition, either in artificial environment or agrosystems, according to changes in the climatic conditions, it is necessary to measure accurately
Chimerization of a Monoclonal Antibody for Treating Hodgkin's Lymphoma
follicles and at the rim of germinal centers (2 ). Consequently, Ber-H2 has been utilized as an immunotoxin by conjugating the antibody to the ribosome-inactivating toxin Saporin to treat four patients with refractory Hodgkin’s lymphoma
技术资料暂无技术资料 索取技术资料







![Wnt1 antibody [13F9]](https://img1.dxycdn.com/2023/0711/451/6106825198874858761-14.jpg!wh200)

