相关产品推荐更多 >
万千商家帮你免费找货
0 人在求购买到急需产品
- 详细信息
- 文献和实验
- 技术资料
- 免疫原:
Carrier-protein conjugated synthetic peptide encompassing a sequence within the C-terminus region of human Dopamine Receptor D1. The exact sequence is proprietary.
- 亚型:
IgG
- 形态:
Liquid
- 保存条件:
Store as concentrated solution. Centrifuge briefly prior to opening vial. For short-term storage (1-2 weeks), store at 4ºC. For long-term storage, aliquot and store at -20ºC or below. Avoid multiple freeze-thaw cycles.
- 克隆性:
Polyclonal
- 标记物:
Unconjugated
- 适应物种:
Human, Mouse, Rat
- 保质期:
12 months from the shipping date of the product.
- 抗原来源:
Human
- 目录编号:
GTX100354
- 级别:
Primary Antibodies
- 库存:
Available
- 供应商:
GeneTex
- 宿主:
Rabbit
- 应用范围:
WB, ICC/IF, IHC-P, IHC-Fr
- 浓度:
2 mg/ml (Please refer to the vial label for the specific concentration.)
- 靶点:
Dopamine Receptor D1
- 抗体英文名:
Dopamine Receptor D1 antibody [C2C3], C-term
- 抗体名:
Dopamine Receptor D1 抗体 [C2C3], C-term
- 规格:
100 μl/25 μl
| 规格: | 100 μl | 产品价格: | ¥4000.0 |
|---|---|---|---|
| 规格: | 25 μl | 产品价格: | ¥1700.0 |
Dopamine Receptor D1 antibody [C2C3], C-term detects Dopamine Receptor D1 protein by immunofluorescent analysis.
Sample: DIV10 rat E18 primary cortical neuron cells were fixed in 4% PFA at RT for 15 min.
Green: Dopamine Receptor D1 stained by Dopamine Receptor D1 antibody [C2C3], C-term (GTX100354) diluted at 1:500.
Red: beta Tubulin 3/ Tuj1, stained by beta Tubulin 3/ Tuj1 antibody [GT11710] (GTX631836) diluted at 1:500.
Blue: Fluoroshield with DAPI (GTX30920).
Sample (30 μg of whole cell lysate)
A: IMR32 10% SDS PAGE
GTX100354 diluted at 1:1000
The HRP-conjugated anti-rabbit IgG antibody (GTX213110-01) was used to detect the primary antibody.
Dopamine Receptor D1 antibody [C2C3], C-term detects Dopamine Receptor D1 protein by immunohistochemical analysis.
Sample: Frozen-sectioned mouse cerebral cortex.
Green: Dopamine Receptor D1 stained by Dopamine Receptor D1 antibody [C2C3], C-term (GTX100354) diluted at 1:250.
Blue: Fluoroshield with DAPI (GTX30920).
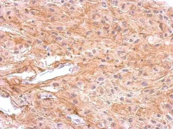
Immunohistochemical analysis of paraffin-embedded U373 xenograft, using Dopamine Receptor D1(GTX100354) antibody at 1:500 dilution.
Antigen Retrieval: Trilogy™ (EDTA based, pH 8.0) buffer, 15min
风险提示:丁香通仅作为第三方平台,为商家信息发布提供平台空间。用户咨询产品时请注意保护个人信息及财产安全,合理判断,谨慎选购商品,商家和用户对交易行为负责。对于医疗器械类产品,请先查证核实企业经营资质和医疗器械产品注册证情况。
文献和实验Hongzhu Li et al., Int J Mol Med 2022 (PMID:34779492)
Tapia E et al., Free Radic Res 2016 (PMID:27050624)
Dopamine receptors are members of a large family of neurotransmitter/hormone receptors that exert their biological actions via signal transduction pathways that involve subtype-specific guanine nucleotide binding or G proteins (see Kaziro et
Transcription Mechanisms for Dopamine Receptor Genes
, in addition to the availability of receptor-selective pharmacologic agents, have clarified the importance of the D1 class of dopamine receptors as well (7 ,8 ). The D1A dopamine receptor is one of two dopamine receptors abundantly expressed in the striatum
Dopamine Receptor Binding and Quantitative Autoradiographic Study
of neuropsychiatric disorders such as schizophrenia and Parkinson’s disease. Until 1990, the dopamine receptor population in the brain and periphery was believed to consist of two subtypes, D1 and D2 , which were distinguished by their pharmacology and coupling
技术资料暂无技术资料 索取技术资料








