相关产品推荐更多 >
万千商家帮你免费找货
0 人在求购买到急需产品
- 详细信息
- 文献和实验
- 技术资料
- 免疫原:
Recombinant protein encompassing a sequence within the center region of human DNA ligase IV. The exact sequence is proprietary.
- 亚型:
IgG
- 形态:
Liquid
- 保存条件:
Store as concentrated solution. Centrifuge briefly prior to opening vial. For short-term storage (1-2 weeks), store at 4ºC. For long-term storage, aliquot and store at -20ºC or below. Avoid multiple freeze-thaw cycles.
- 克隆性:
Polyclonal
- 标记物:
Unconjugated
- 适应物种:
Human, Mouse
- 保质期:
12 months from the shipping date of the product.
- 抗原来源:
Human
- 目录编号:
GTX100100
- 级别:
Primary Antibodies
- 库存:
Available
- 供应商:
GeneTex
- 宿主:
Rabbit
- 应用范围:
WB, IHC-P
- 浓度:
0.65 mg/ml (Please refer to the vial label for the specific concentration.)
- 靶点:
DNA ligase IV
- 抗体英文名:
DNA ligase IV antibody [N2C2], Internal
- 抗体名:
DNA ligase IV 抗体 [N2C2], Internal
- 规格:
100 μl/25 μl
| 规格: | 100 μl | 产品价格: | ¥4000.0 |
|---|---|---|---|
| 规格: | 25 μl | 产品价格: | ¥1700.0 |
Sample(30 μg of whole cell lysate)
A:MOLT4(GTX27912) 7.5% SDS PAGE
GTX100100 diluted at 1:1000
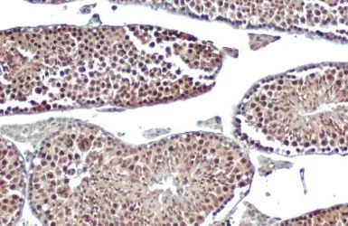
DNA ligase IV antibody [N2C2], Internal detects DNA ligase IV protein at nucleus by immunohistochemical analysis.
Sample: Paraffin-embedded mouse testis.
DNA ligase IV stained by DNA ligase IV antibody [N2C2], Internal (GTX100100) diluted at 1:500.
Antigen Retrieval: Citrate buffer, pH 6.0, 15 min
风险提示:丁香通仅作为第三方平台,为商家信息发布提供平台空间。用户咨询产品时请注意保护个人信息及财产安全,合理判断,谨慎选购商品,商家和用户对交易行为负责。对于医疗器械类产品,请先查证核实企业经营资质和医疗器械产品注册证情况。
文献和实验Ly P et al., Nat Cell Biol 2016 (PMID:27918550)
You BJ et al., Food Chem Toxicol 2014 (PMID:24373828)
Britton S et al., Nucleic Acids Res 2020 (PMID:32890395)
Zhu S et al., Nucleic Acids Res 2017 (PMID:28985363)
Joining RNA Molecules with T4 DNA Ligase
beyond the very limited set available through standard mutagenesis, current synthesis techniques allow for inclusion of radioactive labels and/or various crosslinking reagents at single internal sites in RNA. The latter probes are particularly useful for determining
Site-Directed Mutagenesis of Antibody-Variable Regions
has an average error rate of 0.8% (6 ,7 ). In this chapter, we described an efficient method for mutagenesis of cloned antibody fragments in which mutant oligonucleotides are utilized to initiate the synthesis of a phosphorothioate nucleotide containing DNA
are suitable for the precise and absolute quantification of the template copy number (1,2). For this purpose, we describe here a quantitative PCR strategy that uses a known amount of an internal standard DNA that is amplified in competition with the sample
技术资料暂无技术资料 索取技术资料






![Integrin alpha 4 antibody [MRalpha4-1]](https://custom.dxycdn.com/trademd/upload/pic/2011/12/14/1323695851.jpg!small.t.1)
![Cav1.3 antibody [S48A-9]](https://img1.dxycdn.com/2023/0711/451/6106825198874858761-14.jpg!wh200)

