相关产品推荐更多 >
万千商家帮你免费找货
0 人在求购买到急需产品
- 详细信息
- 文献和实验
- 技术资料
- 免疫原:
Synthetic 19 amino acid peptide from N-terminal extracellular domain of human EDNRB.
- 亚型:
IgG
- 形态:
Liquid
- 保存条件:
Store as concentrated solution. Centrifuge briefly prior to opening vial. For short-term storage (1-2 weeks), store at 4ºC. For long-term storage, aliquot and store at -20ºC or below. Avoid multiple freeze-thaw cycles.
- 克隆性:
Polyclonal
- 标记物:
Unconjugated
- 适应物种:
Human, Dog
- 保质期:
12 months from the shipping date of the product.
- 抗原来源:
Human
- 目录编号:
GTX12980
- 级别:
Primary Antibodies
- 库存:
Available
- 供应商:
GeneTex
- 宿主:
Rabbit
- 应用范围:
WB, ICC/IF, IHC-P
- 浓度:
1 mg/ml (Please refer to the vial label for the specific concentration.)
- 靶点:
Endothelin B Receptor
- 抗体英文名:
Endothelin B Receptor antibody
- 抗体名:
Endothelin B Receptor 抗体
- 规格:
25 μg
IHC-P analysis of brain, alzheimer's senile plaque tissue using GTX12980 Endothelin B Receptor antibody.
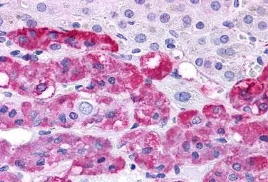
IHC-P analysis of human adrenal, medulla tissue using GTX12980 Endothelin B Receptor antibody.
Antigen retrieval : Heat-induced antigen retrieval
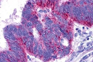
IHC-P analysis of human colon, carcinoma tissue using GTX12980 Endothelin B Receptor antibody.
Antigen retrieval : Heat-induced antigen retrieval
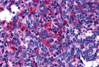
IHC-P analysis of human lung, small cell carcinoma tissue using GTX12980 Endothelin B Receptor antibody.
Antigen retrieval : Heat-induced antigen retrieval
ICC/IF analysis of HEK293 transfected with Endothelin B Receptor using GTX12980 Endothelin B Receptor antibody.
IHC-P analysis of brain, dementia, senile plaque tissue using GTX12980 Endothelin B Receptor antibody.
IHC-P analysis of artery, smooth muscle tissue using GTX12980 Endothelin B Receptor antibody.
风险提示:丁香通仅作为第三方平台,为商家信息发布提供平台空间。用户咨询产品时请注意保护个人信息及财产安全,合理判断,谨慎选购商品,商家和用户对交易行为负责。对于医疗器械类产品,请先查证核实企业经营资质和医疗器械产品注册证情况。
文献和实验Imaging B-Cell Receptor Signaling by Single-Molecule Techniques
B-cell activation initiates antibody responses against pathogens. Recent imaging of B cells in vivo shows that B cells move rapidly through lymphoid tissues to search for antigens captured on the surfaces of antigen-presenting cells
Antibody-Induced Opsonophagocytosis of Serogroup B Meningococci Measured by Flow Cytometry
meningococci, there seems to be a correlation between SBA activity and protection (1 ), whereas OP has been less well-studied. This function may have a supplementary or even major role in protection against group B meningococci.
Toll-Like Receptor-Dependent Immune Complex Activation of B Cells and Dendritic Cells
-like receptor 7 (TLR7) in the activation of the corresponding autoantibody producing B cells. Importantly, TLR9/TLR7-deficiency results in the inability of autoreactive B cells to proliferate in response to DNA/RNA-associated autoantigens in vitro, and in marked
技术资料暂无技术资料 索取技术资料






![VCP antibody [N3C2], Internal](https://img1.dxycdn.com/2023/0711/255/2344116916935858761-14.jpg!wh200)

![Nucleolin antibody [364-5]](https://img1.dxycdn.com/2023/0711/451/6106825198874858761-14.jpg!wh200)

