相关产品推荐更多 >
万千商家帮你免费找货
0 人在求购买到急需产品
- 详细信息
- 文献和实验
- 技术资料
- 免疫原:
Synthetic peptide [KLH conjugated] made to the N-term extracellular
- 亚型:
IgG
- 形态:
Liquid
- 保存条件:
Store as concentrated solution. Centrifuge briefly prior to opening vial. For short-term storage (1-2 weeks), store at 4ºC. For long-term storage, aliquot and store at -20ºC or below. Avoid multiple freeze-thaw cycles.
- 克隆性:
Polyclonal
- 标记物:
Unconjugated
- 适应物种:
Human
- 保质期:
12 months from the shipping date of the product.
- 目录编号:
GTX12680
- 级别:
Primary Antibodies
- 库存:
Available
- 供应商:
GeneTex
- 宿主:
Rabbit
- 应用范围:
IHC-P
- 浓度:
1 mg/ml (Please refer to the vial label for the specific concentration.)
- 靶点:
Chemokine Receptor D6
- 抗体英文名:
Chemokine Receptor D6 antibody
- 抗体名:
Chemokine Receptor D6 抗体
- 规格:
25 μg
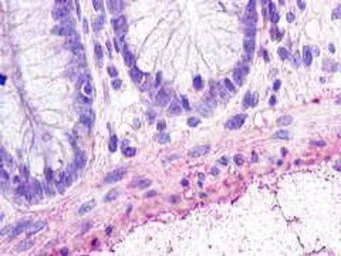
IHC-P analysis of colon tissue using GTX12680 GPCR D6 antibody.
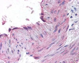
IHC-P analysis of skin tissue using GTX12680 GPCR D6 antibody.
IHC-P analysis of colon tissue using GTX12680 GPCR D6 antibody.
IHC-P analysis of small intestine tissue using GTX12680 GPCR D6 antibody.
风险提示:丁香通仅作为第三方平台,为商家信息发布提供平台空间。用户咨询产品时请注意保护个人信息及财产安全,合理判断,谨慎选购商品,商家和用户对交易行为负责。对于医疗器械类产品,请先查证核实企业经营资质和医疗器械产品注册证情况。
文献和实验Detailed understanding of chemokine action ultimately requires molecular cloning of chemokine receptor genes and cDNAs. Both forward and reverse genetic methods have been used for this purpose (1 ). Forward methods, which involve primary
Epigenetic Regulation of Chemokine/Chemokine Receptor Expression
for several members of the CXC (ELR+ ) chemokine family. In addition we describe a chromatin immunoprecipitation assay to determine the association between chromatin transcription markers and DNA following pretreatment of cell cultures with an HDi, Trichostatin A (TSA
Chemokine Receptor Antagonist Development
This chapter describes assays that focus on the characterization of compounds identified in high-�throughput screening campaigns, and the subsequent medicinal chemistry programs. They cover methods to determine potency
技术资料暂无技术资料 索取技术资料





![beta Tubulin antibody [TU-06]](https://img1.dxycdn.com/2023/0711/451/6106825198874858761-14.jpg!wh200)

![SIRP alpha antibody [15-414]](https://custom.dxycdn.com/trademd/upload/pic/2011/12/14/1323695851.jpg!small.t.1)

![FOXL2 antibody [C3], C-term](https://img1.dxycdn.com/2023/0516/895/8887749495766728561-14.jpg!wh200)

