相关产品推荐更多 >
万千商家帮你免费找货
0 人在求购买到急需产品
- 详细信息
- 文献和实验
- 技术资料
- 免疫原:
Synthetic 18 amino acid peptide from C-terminus of human GPR40.
- 亚型:
IgG
- 形态:
Liquid
- 保存条件:
Store as concentrated solution. Centrifuge briefly prior to opening vial. For short-term storage (1-2 weeks), store at 4ºC. For long-term storage, aliquot and store at -20ºC or below. Avoid multiple freeze-thaw cycles.
- 克隆性:
Polyclonal
- 标记物:
Unconjugated
- 适应物种:
Human, Monkey
- 保质期:
12 months from the shipping date of the product.
- 抗原来源:
Human
- 目录编号:
GTX12570
- 级别:
Primary Antibodies
- 库存:
Available
- 供应商:
GeneTex
- 宿主:
Rabbit
- 应用范围:
WB, IHC-P
- 浓度:
1 mg/ml (Please refer to the vial label for the specific concentration.)
- 靶点:
GPR40
- 抗体英文名:
GPR40 antibody
- 抗体名:
GPR40 抗体
- 规格:
25 μg
IHC-P analysis of brain, cortex tissue using GTX12570 GPR40 antibody.
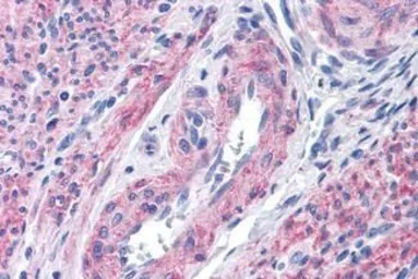
IHC-P analysis of human uterus tissue using GTX12570 GPR40 antibody.
Antigen retrieval : Heat-induced antigen retrieval
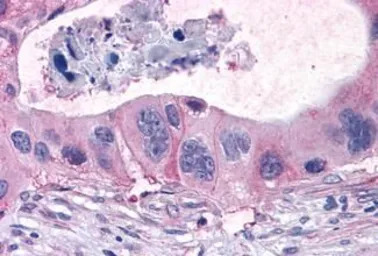
IHC-P analysis of human pancreas, carcinoma tissue using GTX12570 GPR40 antibody.
Antigen retrieval : Heat-induced antigen retrieval
IHC-P analysis of brain, parkinson's disease tissue using GTX12570 GPR40 antibody.
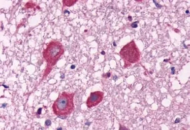
IHC-P analysis of human brain, neurons tissue using GTX12570 GPR40 antibody.
Antigen retrieval : Heat-induced antigen retrieval
风险提示:丁香通仅作为第三方平台,为商家信息发布提供平台空间。用户咨询产品时请注意保护个人信息及财产安全,合理判断,谨慎选购商品,商家和用户对交易行为负责。对于医疗器械类产品,请先查证核实企业经营资质和医疗器械产品注册证情况。
文献和实验NSMB:徐华强 / 谢欣 / 蒋轶发现孤儿受体 GPR119 内源性配体的分子机制
糖尿病、脂肪肝和肥胖症等代谢性疾病已经成为影响人类健康的一大「杀手」,研究显示一些孤儿受体可能成为治疗这些疾病的重要靶点。 GPR119 又被称为葡萄糖依赖的促胰岛素受体(Glucose-dependent insulinotropic receptor),是 G 蛋白偶联受体(GPCR)超家族中的一种孤儿受体。由于其在糖代谢调控中的作用,GPR119 被认为是一种治疗糖尿病、脂肪肝和肥胖症等代谢性疾病的潜在药物靶点。GPR119 主要分布在胰岛 β 细胞和胃肠道 L 细胞,调节葡萄糖依赖
网络 十、SP40/40 自1982年起,生物科学技术文献中先后提出一批术语。后经鉴定它们都是蛋白质,且结构类同、功能相近,与补体的末端成分相关。这些成分有不同的名称:如Clusterin、SGP-2、SP40/40、TRRM-2、T64、GP111、SP80、CLI、apo-J和NA1/NA2等。Fritz等建议用Clusterin(暂译为群集素
人白介素-12 p40(IL-12 p40)ELISA试剂盒 说明书
上海西唐生物科技有限公司 021-55229872, 65333639 www.westang.com 人白介素-12 p40 (IL-12 p40)ELISA 试剂盒 ( 用于血清、血浆、细胞培养上清液和其它生物体液内 ) 原理 本实验采用双抗体夹心 ABC-ELISA 法。用抗人 IL-12 p40 单抗包被于酶标板上,标准品和样品中的 IL-12 p40与单抗
技术资料暂无技术资料 索取技术资料






![PSA antibody [ER-PR8]](https://custom.dxycdn.com/trademd/upload/pic/2011/12/14/1323695845.jpg!small.t.1)
![CD100 antibody [010]](https://img1.dxycdn.com/2023/0711/451/6106825198874858761-14.jpg!wh200)
![SIGLEC12 antibody [N2C2], Internal](https://img1.dxycdn.com/2023/0516/045/6925717576889828561-14.jpg!wh200)

