相关产品推荐更多 >
万千商家帮你免费找货
0 人在求购买到急需产品
- 详细信息
- 文献和实验
- 技术资料
- 免疫原:
synthetic acetylated and phosphorylated [Ac-Lys9, pSer10] histone H3 peptide (amino acids 7-20) corresponding to the N-terminus of human histone H3.
- 亚型:
IgG
- 形态:
Liquid
- 保存条件:
Store as concentrated solution. Centrifuge briefly prior to opening vial. For short-term storage (1-2 weeks), store at 4℃. For long-term storage, aliquot and store at -20℃ or below. Avoid multiple freeze-thaw cycles.
- 克隆性:
Polyclonal
- 标记物:
Unconjugated
- 适应物种:
Human, Mouse, Rat, Drosophila, Bovine, Chicken, Caenorhabditis elegans, Frog
- 保质期:
12 months from the shipping date of the product.
- 抗原来源:
Human
- 目录编号:
GTX12181
- 级别:
Primary Antibodies
- 库存:
Available
- 供应商:
GeneTex
- 宿主:
Rabbit
- 应用范围:
WB, ICC/IF, IHC-P
- 浓度:
Batch dependent (Please refer to the vial label for the specific concentration.)
- 靶点:
Histone H3K9acS10ph (Acetyl Lys9/phospho Ser10)
- 抗体英文名:
Histone H3K9acS10ph (Acetyl Lys9/phospho Ser10) antibody
- 抗体名:
Histone H3K9acS10ph (Acetyl Lys9/phospho Ser10) 抗体
- 规格:
50 μl
ICC/IF analysis of HeLa cells using GTX12181 Histone H3K9acS10ph (phospho Ser10, acetyl Lys9) antibody at 1:500.Cells were fixed and permeabilized with 4% PFA followed by 0.5% Triton X-100.
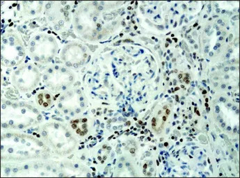
IHC-P analysis of rat kidney tissue using GTX12181 Histone H3K9acS10ph (phospho Ser10, acetyl Lys9) antibody at 0.2 μg/mL.
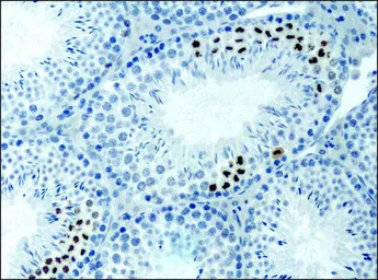
IHC-P analysis of mouse testis tissue using GTX12181 Histone H3K9acS10ph (phospho Ser10, acetyl Lys9) antibody at 0.4 μg/mL.
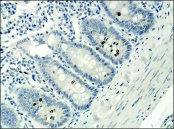
IHC-P analysis of rat duodenum tissue using GTX12181 Histone H3K9acS10ph (phospho Ser10, acetyl Lys9) antibody at 0.2 μg/mL.
WB analysis of serum and sodium butyrate-treated NIH3T3 cell lysate using GTX12181 Histone H3K9acS10ph (phospho Ser10, acetyl Lys9) antibody.
Lane 1: Histone H3K9acS10ph (phospho Ser10, acetyl Lys9) antibody.
Lane 2: Histone H3K9acS10ph (phospho Ser10, acetyl Lys9) antibody + Histone H3(Ac-Lys9, pSer10) peptide
Lane 3: Histone H3K9acS10ph (phospho Ser10, acetyl Lys9) antibody + Histone H3 (non-Ac, non-phos) peptide
Lane 4: Histone H3K9acS10ph (phospho Ser10, acetyl Lys9) antibody+ Histone H3(Ac-Lys9) peptide
Lane 5: Histone H3K9acS10ph (phospho Ser10, acetyl Lys9) antibody:+ Histone H3(pSer10) peptide.
风险提示:丁香通仅作为第三方平台,为商家信息发布提供平台空间。用户咨询产品时请注意保护个人信息及财产安全,合理判断,谨慎选购商品,商家和用户对交易行为负责。对于医疗器械类产品,请先查证核实企业经营资质和医疗器械产品注册证情况。
文献和实验0.05mol/L Tris-HCl缓冲液(pH7.19~9.10)
pH 0.2mol/L Tris(ml) 0.2mol/L HCl(ml) H2 O
pH 0.2mol/L Na2CO3(ml) 0.2mol/L NaHCO3(ml) 9.2
【求助】着急,不知道10mmol/L的Tris-HCl(pH8.0)如何配制?
ilovelc999 很着急,不知道10mmol/L的Tris-HCl(pH8.0)如何配制?有哪位知道吗?麻烦告诉我一下好吗。 mybbff 先配成10mM的,水先不要加足,调节pH到8.0后再定容到预定体积。 ilovelc999 恩,知道啦,多谢版主! wangbingying66 1.称取1.211g Tris 2.加800ml去离子
技术资料暂无技术资料 索取技术资料









