相关产品推荐更多 >
万千商家帮你免费找货
0 人在求购买到急需产品
- 详细信息
- 文献和实验
- 技术资料
- 免疫原:
Recombinant protein encompassing a sequence within the N-terminus region of human Netrin G1 ligand. The exact sequence is proprietary.
- 亚型:
IgG
- 形态:
Liquid
- 保存条件:
Store as concentrated solution. Centrifuge briefly prior to opening vial. For short-term storage (1-2 weeks), store at 4ºC. For long-term storage, aliquot and store at -20ºC or below. Avoid multiple freeze-thaw cycles.
- 克隆性:
Polyclonal
- 标记物:
Unconjugated
- 适应物种:
Human, Mouse, Rat
- 保质期:
12 months from the shipping date of the product.
- 抗原来源:
Human
- 目录编号:
GTX121508
- 级别:
Primary Antibodies
- 库存:
Available
- 供应商:
GeneTex
- 宿主:
Rabbit
- 应用范围:
WB, ICC/IF, IHC-P
- 浓度:
1 mg/ml (Please refer to the vial label for the specific concentration.)
- 靶点:
Netrin G1 ligand
- 抗体英文名:
Netrin G1 ligand antibody [N1N3]
- 抗体名:
Netrin G1 ligand 抗体 [N1N3]
- 规格:
100 μl/25 μl
| 规格: | 100 μl | 产品价格: | ¥4000.0 |
|---|---|---|---|
| 规格: | 25 μl | 产品价格: | ¥1700.0 |
Immunofluorescence analysis of methanol-fixed MCF-7, using Netrin G1 ligand(GTX121508) antibody at 1:500 dilution.
Various tissue extracts (50 μg) were separated by 7.5% SDS-PAGE, and the membrane was blotted with Netrin 1 antibody (GTX121508) diluted at 1:2000. The HRP-conjugated anti-rabbit IgG antibody (GTX213110-01) was used to detect the primary antibody.
Sample (30 μg of whole cell lysate)
A: MCF-7
7.5% SDS PAGE
GTX121508 diluted at 1:2000
The HRP-conjugated anti-rabbit IgG antibody (GTX213110-01) was used to detect the primary antibody.
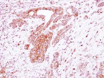
Immunohistochemical analysis of paraffin-embedded human breast cancer, using Netrin G1 ligand(GTX121508) antibody at 1:250 dilution.
Antigen Retrieval: Trilogy™ (EDTA based, pH 8.0) buffer, 15min
风险提示:丁香通仅作为第三方平台,为商家信息发布提供平台空间。用户咨询产品时请注意保护个人信息及财产安全,合理判断,谨慎选购商品,商家和用户对交易行为负责。对于医疗器械类产品,请先查证核实企业经营资质和医疗器械产品注册证情况。
文献和实验Raghavan KS et al., Cancer Res Commun 2022 (PMID:36310768)
Theoretical Aspects of the Quantitative Characterization of Ligand Binding
. Calvert, P.D., Nichol, L.W., and Sawyer, W.H. 1979. Binding equations for interacting systems comprising multivalent acceptor and bivalent ligand: Application to antigen‐antibody systems. J. Theor. Biol. 80
Using Biacore to Measure the Binding Kinetics of an Antibody‐Antigen Interaction
?protein interaction is described using an antibody and its antigen as an example. The affinity of the antibody for its antigen is determined by measuring the binding kinetics of the interaction. The protocols are divided into three major steps
+Neo+Fas) tumors but not that of N1d (MH134+Neo) tumors in gld/gld lpr/lpr mice. MH134+Neo+FasL tumor cells were rejected after the induction of inflammation with infiltration of neutrophils in mice. These results suggest that electroporation and Fas
技术资料暂无技术资料 索取技术资料





![Integrin alpha 4 antibody [TA-2]](https://img1.dxycdn.com/2023/0711/451/6106825198874858761-14.jpg!wh200)



