相关产品推荐更多 >
万千商家帮你免费找货
0 人在求购买到急需产品
- 详细信息
- 文献和实验
- 技术资料
- 免疫原:
Recombinant protein encompassing a sequence within the center region of human Phosphatase orphan 2. The exact sequence is proprietary.
- 亚型:
IgG
- 形态:
Liquid
- 保存条件:
Store as concentrated solution. Centrifuge briefly prior to opening vial. For short-term storage (1-2 weeks), store at 4ºC. For long-term storage, aliquot and store at -20ºC or below. Avoid multiple freeze-thaw cycles.
- 克隆性:
Polyclonal
- 标记物:
Unconjugated
- 适应物种:
Human
- 保质期:
12 months from the shipping date of the product.
- 抗原来源:
Human
- 目录编号:
GTX119798
- 级别:
Primary Antibodies
- 库存:
Available
- 供应商:
GeneTex
- 宿主:
Rabbit
- 应用范围:
WB, IHC-P
- 浓度:
1 mg/ml (Please refer to the vial label for the specific concentration.)
- 靶点:
Phosphatase orphan 2
- 抗体英文名:
Phosphatase orphan 2 antibody [N1C3]
- 抗体名:
Phosphatase orphan 2 抗体 [N1C3]
- 规格:
100 μl/25 μl
| 规格: | 100 μl | 产品价格: | ¥4000.0 |
|---|---|---|---|
| 规格: | 25 μl | 产品价格: | ¥1700.0 |
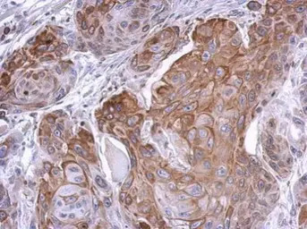
Phosphatase orphan 2 antibody [N1C3] detects Phosphatase orphan 2 protein at cytoplasm in human endometrial cancer by immunohistochemical analysis.
Sample: Paraffin-embedded human endometrial cancer.
Phosphatase orphan 2 antibody [N1C3] (GTX119798) diluted at 1:500.
Antigen Retrieval: Citrate buffer, pH 6.0, 15 min
Immunohistochemical analysis of paraffin-embedded cal27 xenograft, using Phosphatase orphan 2(GTX119798) antibody at 1:500 dilution.
Antigen Retrieval: Trilogy™ (EDTA based, pH 8.0) buffer, 15min
Sample (30 ug of whole cell lysate)
A: A549
12% SDS PAGE
GTX119798 diluted at 1:1000
风险提示:丁香通仅作为第三方平台,为商家信息发布提供平台空间。用户咨询产品时请注意保护个人信息及财产安全,合理判断,谨慎选购商品,商家和用户对交易行为负责。对于医疗器械类产品,请先查证核实企业经营资质和医疗器械产品注册证情况。
文献和实验ALKALINE PHOSPHATASE (APAAP) TECHNIQUE
. DO NOT DIFFERENTIATE IN ACID ALCOHOL. 26. Mount in an AQUEOUS MOUNTANT. Results --Nuclei Blue --Sites of alkaline phosphatase activity Red Substrate Solution Naphthol-AS-MX phosphatase, free acid (Sigma N 4875) 2 mg N,N-Dimethyl formamide
DETECTION OF ß-GALACTOSIDASE AND ALKALINE PHOSPHATASE ACTIVITIES IN TISSUE
degeneration in the peripheral and central nervous systems-II. J. Neurochemistry 5 :32. McComb, R.B., G.N. Bowers, Jr., and S. Posen. 1979. Alkaline Phosphatase. Plenum Press, New York. Miller, J. 1972. Experiments in molecular genetics. Cold
secondary antibody review -- data from 99 publications
cytometry used as a control to detect cell responses targeted antigen 7 Alexa Fluor 488 7 Cy3 8 goat IgG Alexa Fluor 488 1:2000 detect antibody binding in human embryonic kidney 293T cells Invitrogen 9 donkey
技术资料暂无技术资料 索取技术资料







![S-arrestin antibody [PDS1]](https://img1.dxycdn.com/2023/0711/451/6106825198874858761-14.jpg!wh200)

