相关产品推荐更多 >
万千商家帮你免费找货
0 人在求购买到急需产品
- 详细信息
- 文献和实验
- 技术资料
- 免疫原:
Recombinant protein encompassing a sequence within the center region of human GSTP1. The exact sequence is proprietary.
- 亚型:
IgG
- 形态:
Liquid
- 保存条件:
Store as concentrated solution. Centrifuge briefly prior to opening vial. For short-term storage (1-2 weeks), store at 4ºC. For long-term storage, aliquot and store at -20ºC or below. Avoid multiple freeze-thaw cycles.
- 克隆性:
Polyclonal
- 标记物:
Unconjugated
- 适应物种:
Human, Mouse, Rat
- 保质期:
12 months from the shipping date of the product.
- 抗原来源:
Human
- 目录编号:
GTX112695
- 级别:
Primary Antibodies
- 库存:
Available
- 供应商:
GeneTex
- 宿主:
Rabbit
- 应用范围:
WB, ICC/IF, IHC-P
- 浓度:
1 mg/ml (Please refer to the vial label for the specific concentration.)
- 靶点:
GSTP1
- 抗体英文名:
GSTP1 antibody
- 抗体名:
GSTP1 抗体
- 规格:
100 μl/25 μl
| 规格: | 100 μl | 产品价格: | ¥4000.0 |
|---|---|---|---|
| 规格: | 25 μl | 产品价格: | ¥1700.0 |
GSTP1 antibody detects GSTP1 protein at nucleus on mouse brain stem by immunohistochemical analysis.
Sample: Paraffin-embedded mouse brain stem.
GSTP1 antibody (GTX112695) dilution: 1:500.
Antigen Retrieval: Trilogy™ (EDTA based, pH 8.0) buffer, 15min
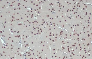
GSTP1 antibody detects GSTP1 protein at cytoplasm and nucleus by immunohistochemical analysis.
Sample: Paraffin-embedded mouse brain.
GSTP1 stained by GSTP1 antibody (GTX112695) diluted at 1:500.
Antigen Retrieval: Citrate buffer, pH 6.0, 15 min
Sample (50 μg of whole cell lysate)
A: mouse brain
12% SDS PAGE
GTX112695 diluted at 1:1000
The HRP-conjugated anti-rabbit IgG antibody (GTX213110-01) was used to detect the primary antibody.
GSTP1 antibody detects GSTP1 protein at nucleus on mouse brain stem by immunohistochemical analysis.
Sample: Paraffin-embedded mouse brain stem.
GSTP1 antibody (GTX112695) dilution: 1:500.
Antigen Retrieval: Trilogy™ (EDTA based, pH 8.0) buffer, 15min
Immunohistochemical analysis of paraffin-embedded U87 xenograft, using GSTP1(GTX112695) antibody at 1:500 dilution.
Antigen Retrieval: Trilogy™ (EDTA based, pH 8.0) buffer, 15min
GSTP1 antibody detects GSTP1 protein at nucleus on mouse testis by immunohistochemical analysis.
Sample: Paraffin-embedded mouse testis.
GSTP1 antibody (GTX112695) dilution: 1:500.
Antigen Retrieval: Trilogy™ (EDTA based, pH 8.0) buffer, 15min
GSTP1 antibody detects GSTP1 protein by western blot analysis.
A. 50 μg Rat brain lysate/extract
12% SDS-PAGE
GSTP1 antibody (GTX112695) dilution: 1:1000
The HRP-conjugated anti-rabbit IgG antibody (GTX213110-01) was used to detect the primary antibody.
GSTP1 antibody detects GSTP1 protein at nucleus on rat fore brain by immunohistochemical analysis.
Sample: Paraffin-embedded rat fore brain.
GSTP1 antibody (GTX112695) dilution: 1:500.
Antigen Retrieval: Trilogy™ (EDTA based, pH 8.0) buffer, 15min
GSTP1 antibody detects GSTP1 protein at cytoplasm and nucleus by immunofluorescent analysis.
Sample: HeLa cells were fixed in 4% PFA at RT for 15 min.
Green: GSTP1 protein stained by GSTP1 antibody (GTX112695) diluted at 1:500.
Red: alpha Tubulin, a cytoskeleton marker, stained by alpha Tubulin antibody [GT114] (GTX628802) diluted at 1:1000.
Blue: Hoechst 33342 staining.
GSTP1 antibody detects GSTP1 protein by Western blot analysis.
A. 30 μg A549 whole cell lysate/extract
B. 30 μg HCT116 whole cell lysate/extract
12 % SDS-PAGE
GSTP1 antibody (GTX112695) dilution: 1:5000
风险提示:丁香通仅作为第三方平台,为商家信息发布提供平台空间。用户咨询产品时请注意保护个人信息及财产安全,合理判断,谨慎选购商品,商家和用户对交易行为负责。对于医疗器械类产品,请先查证核实企业经营资质和医疗器械产品注册证情况。
文献和实验Szu-Ting Lin et al., Cellular and Molecular Life Sciences 2015 (PMID:25596698)
May EW et al., Pharmacol Res 2014 (PMID:25242635)
Chang JF et al., Toxicol Sci 2014 (PMID:24675091)
Chen JY et al., J Nutr Biochem 2013 (PMID:24011924)
Sze SCW et al., Int J Mol Sci 2022 (PMID:36293552)
Makoto Asahina et al., Mol Brain 2021 (PMID:34120625)
Asahina M et al., Hum Mol Genet 2020 (PMID:32259258)
Zhang Q et al., J Exp Clin Cancer Res 2019 (PMID:31324203)
Kim HJ et al., Allergy Asthma Immunol Res 2019 (PMID:31172724)
Generation of Antibody Molecules Through Antibody Engineering
been overcome to a large extent using genetic-engineering techniques to produce chimeric mouse/human and completely human antibodies. Such an approach is particularly suitable because of the domain structure of the antibody molecule ( 2 ), where functional
The importance of antibody molecules was first recognized in the 1890s, when it was shown that immunity to tetanus and diphtheria was caused by antibodies against the bacterial exotoxins (1 ). Around the same time, it was shown that antisera
General comments: Antibodies, like most proteins, do not like to be freeze-thawed. Avoid repetitive freezing of your solution. The best way to store your antibody is to keep a high protein concentration (>1 mg/ml), add some protease
技术资料暂无技术资料 索取技术资料








