相关产品推荐更多 >
万千商家帮你免费找货
0 人在求购买到急需产品
- 详细信息
- 文献和实验
- 技术资料
- 免疫原:
A synthetic peptide corresponding to residues 56-72 of human Thimet Oligopeptidase. [UniProt# P52888]
- 亚型:
IgG2b
- 形态:
Liquid
- 保存条件:
Store as concentrated solution. Centrifuge briefly prior to opening vial. For short-term storage (1-2 weeks), store at 4ºC. For long-term storage, aliquot and store at -20ºC or below. Avoid multiple freeze-thaw cycles.
- 克隆性:
Monoclonal
- 标记物:
Unconjugated
- 适应物种:
Human, Mouse, Rat, Rabbit, Primate
- 保质期:
12 months from the shipping date of the product.
- 抗原来源:
Human
- 目录编号:
GTX30631
- 级别:
Primary Antibodies
- 库存:
Available
- 供应商:
GeneTex
- 宿主:
Mouse
- 应用范围:
WB, ICC/IF, IHC-P
- 浓度:
1.54 mg/ml (Please refer to the vial label for the specific concentration.)
- 靶点:
Thimet Oligopeptidase
- 抗体英文名:
Thimet Oligopeptidase antibody [4D6]
- 抗体名:
Thimet Oligopeptidase 抗体 [4D6]
- 规格:
50 μl
WB analysis of HeLa cell lysate using GTX30631 Thimet Oligopeptidase antibody [4D6].
Lane 1 : 0.5 ug/ml
Lane 2 : 2 ug/ml
Loading : 30μg
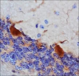
IHC-P analysis of mouse brain tissue using GTX30631 Thimet Oligopeptidase antibody [4D6].
风险提示:丁香通仅作为第三方平台,为商家信息发布提供平台空间。用户咨询产品时请注意保护个人信息及财产安全,合理判断,谨慎选购商品,商家和用户对交易行为负责。对于医疗器械类产品,请先查证核实企业经营资质和医疗器械产品注册证情况。
文献和实验Peptidomic Approaches to Study Proteolytic Activity
. Berti, D.A., Morano, C., Russo, L.C., Castro, L.M., Cunha, F.M., Zhang, X., Sironi, J., Klitzke, C.F., Ferro, E.S., and Fricker, L.D. 2009. Analysis of intracellular substrates and products of thimet
技术资料暂无技术资料 索取技术资料






![EIF3F antibody [N1C3]](https://img1.dxycdn.com/2023/0711/255/2344116916935858761-14.jpg!wh200)
![CD147 antibody [OX114] (Biotin)](https://custom.dxycdn.com/trademd/upload/pic/2011/12/14/1323695851.jpg!small.t.1)

