相关产品推荐更多 >
万千商家帮你免费找货
0 人在求购买到急需产品
- 详细信息
- 文献和实验
- 技术资料
- 免疫原:
Recombinant protein encompassing a sequence within the N-terminus region of human ZNF571. The exact sequence is proprietary.
- 亚型:
IgG
- 形态:
Liquid
- 保存条件:
Store as concentrated solution. Centrifuge briefly prior to opening vial. For short-term storage (1-2 weeks), store at 4ºC. For long-term storage, aliquot and store at -20ºC or below. Avoid multiple freeze-thaw cycles.
- 克隆性:
Polyclonal
- 标记物:
Unconjugated
- 适应物种:
Human
- 保质期:
12 months from the shipping date of the product.
- 抗原来源:
Human
- 目录编号:
GTX119554
- 级别:
Primary Antibodies
- 库存:
Available
- 供应商:
GeneTex
- 宿主:
Rabbit
- 应用范围:
WB, ICC/IF, IHC-P
- 浓度:
1 mg/ml (Please refer to the vial label for the specific concentration.)
- 靶点:
ZNF571
- 抗体英文名:
ZNF571 antibody [N1N2], N-term
- 抗体名:
ZNF571 抗体 [N1N2], N-term
- 规格:
100 μl/25 μl
| 规格: | 100 μl | 产品价格: | ¥4000.0 |
|---|---|---|---|
| 规格: | 25 μl | 产品价格: | ¥1700.0 |
Sample (30 ug of whole cell lysate)
A: U87-MG
7.5% SDS PAGE
GTX119554 diluted at 1:3000
ZNF571 antibody [N1N2], N-term detects ZNF571 protein at nucleus by immunofluorescent analysis.
Sample: NT2D1 cells were fixed in 4% PFA at RT for 15 min.
Green: ZNF571 protein stained by ZNF571 antibody [N1N2], N-term (GTX119554) diluted at 1:500.
Blue: Hoechst 33342 staining.
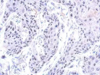
Immunohistochemical analysis of paraffin-embedded Cal27 xenograft, using ZNF571(GTX119554) antibody at 1:500 dilution.
Antigen Retrieval: Trilogy™ (EDTA based, pH 8.0) buffer, 15min
风险提示:丁香通仅作为第三方平台,为商家信息发布提供平台空间。用户咨询产品时请注意保护个人信息及财产安全,合理判断,谨慎选购商品,商家和用户对交易行为负责。对于医疗器械类产品,请先查证核实企业经营资质和医疗器械产品注册证情况。
文献和实验In the field of therapeutic recombinant proteins, monoclonal antibodies (mAbs) have achieved a rising success with more than 30 mAbs that have reached the market in the past 20 years. From a structural standpoint, one of the most important
to protect the antibody. These should be stored in smaller aliquots (about 1 ml) and frozen for long term storage though the protected solution is also stable for months at four degrees. Ascites fluid: This is a bit more problematic as it may contain
Materials 0.1M NaHC03 pH9 DMSO NHS-Biotin (N-Hydroxysuccinimidobiotin, Sigma #H-1759) PBS Procedure Dialyze the sample against carbonate buffer. After dialysis, adjust
技术资料暂无技术资料 索取技术资料








![CD45 antibody [2D1] (PE-Cy7)](https://img1.dxycdn.com/2023/0711/451/6106825198874858761-14.jpg!wh200)
