相关产品推荐更多 >
万千商家帮你免费找货
0 人在求购买到急需产品
- 详细信息
- 文献和实验
- 技术资料
- 免疫原:
Recombinant protein encompassing a sequence within the center region of human CREST. The exact sequence is proprietary.
- 亚型:
IgG
- 形态:
Liquid
- 保存条件:
Store as concentrated solution. Centrifuge briefly prior to opening vial. For short-term storage (1-2 weeks), store at 4ºC. For long-term storage, aliquot and store at -20ºC or below. Avoid multiple freeze-thaw cycles.
- 克隆性:
Polyclonal
- 标记物:
Unconjugated
- 适应物种:
Human, Mouse
- 保质期:
12 months from the shipping date of the product.
- 抗原来源:
Human
- 目录编号:
GTX115785
- 级别:
Primary Antibodies
- 库存:
Available
- 供应商:
GeneTex
- 宿主:
Rabbit
- 应用范围:
WB, ICC/IF, IHC-P, IP
- 浓度:
1.4 mg/ml (Please refer to the vial label for the specific concentration.)
- 靶点:
CREST
- 抗体英文名:
CREST antibody [N1C2]
- 抗体名:
CREST 抗体 [N1C2]
- 规格:
100 μl/25 μl
| 规格: | 100 μl | 产品价格: | ¥4000.0 |
|---|---|---|---|
| 规格: | 25 μl | 产品价格: | ¥1700.0 |
Sample (20 ug )
A: Hela whole cell lysate
B: HeLa nucleus 10% SDS PAGE
GTX115785 diluted at 1:1000
Sample (50 ug of whole cell lysate)
A: mouse brain
10% SDS PAGE
GTX115785 diluted at 1:1000
Immunofluorescence analysis of PFA-fixed A431, using CREST(GTX115785) antibody at 1:500 dilution.
Immunoprecipitation of CREST protein from MCF-7 whole cell extracts using 5 μg of CREST antibody [N1C2] (GTX115785).
Western blot analysis was performed using CREST antibody [N1C2] (GTX115785).
EasyBlot anti-Rabbit IgG (GTX221666-01) was used as a secondary reagent.
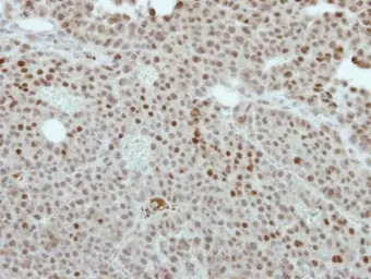
Immunohistochemical analysis of paraffin-embedded Huh-7 xenograft, using CREST(GTX115785) antibody at 1:500 dilution.
Antigen Retrieval: Citrate buffer, pH 6.0, 15 min
风险提示:丁香通仅作为第三方平台,为商家信息发布提供平台空间。用户咨询产品时请注意保护个人信息及财产安全,合理判断,谨慎选购商品,商家和用户对交易行为负责。对于医疗器械类产品,请先查证核实企业经营资质和医疗器械产品注册证情况。
文献和实验In the field of therapeutic recombinant proteins, monoclonal antibodies (mAbs) have achieved a rising success with more than 30 mAbs that have reached the market in the past 20 years. From a structural standpoint, one of the most important
In Vitro Analysis of Mouse Mesencephalic Neural Crest Development
Baroffio, A., Dupin, E., and Le Douarin, N.M. 1988. Clone‐forming ability and differentiation potential of migratory neural crest cells. Proc. Natl. Acad. Sci. U.S.A. 85:5325‐5329
Materials 0.1M NaHC03 pH9 DMSO NHS-Biotin (N-Hydroxysuccinimidobiotin, Sigma #H-1759) PBS Procedure Dialyze the sample against carbonate buffer. After dialysis, adjust
技术资料暂无技术资料 索取技术资料





![Apolipoprotein B antibody [6G6]](https://img1.dxycdn.com/2023/0711/451/6106825198874858761-14.jpg!wh200)
![Epsin 2 antibody [N1C1]](https://img1.dxycdn.com/2023/0711/255/2344116916935858761-14.jpg!wh200)


