相关产品推荐更多 >
万千商家帮你免费找货
0 人在求购买到急需产品
- 详细信息
- 文献和实验
- 技术资料
- 免疫原:
Recombinant protein encompassing a sequence within the center region of human ACADVL. The exact sequence is proprietary.
- 亚型:
IgG
- 形态:
Liquid
- 保存条件:
Store as concentrated solution. Centrifuge briefly prior to opening vial. For short-term storage (1-2 weeks), store at 4ºC. For long-term storage, aliquot and store at -20ºC or below. Avoid multiple freeze-thaw cycles.
- 克隆性:
Polyclonal
- 标记物:
Unconjugated
- 适应物种:
Human, Mouse, Rat
- 保质期:
12 months from the shipping date of the product.
- 抗原来源:
Human
- 目录编号:
GTX114232
- 级别:
Primary Antibodies
- 库存:
Available
- 供应商:
GeneTex
- 宿主:
Rabbit
- 应用范围:
WB, ICC/IF, IHC-P
- 浓度:
0.3 mg/ml (Please refer to the vial label for the specific concentration.)
- 靶点:
ACADVL
- 抗体英文名:
ACADVL antibody [N1C1]
- 抗体名:
ACADVL 抗体 [N1C1]
- 规格:
100 μl/25 μl
| 规格: | 100 μl | 产品价格: | ¥4000.0 |
|---|---|---|---|
| 规格: | 25 μl | 产品价格: | ¥1700.0 |
Wild-type (WT) and ACADVL knockout (KO) 293T cell extracts (30 μg) were separated by 7.5% SDS-PAGE, and the membrane was blotted with ACADVL antibody [N1C1] (GTX114232) diluted at 1:1000. The HRP-conjugated anti-rabbit IgG antibody (GTX213110-01) was used to detect the primary antibody.
Various whole cell extracts (30 μg) were separated by 7.5% SDS-PAGE, and the membrane was blotted with ACADVL antibody [N1C1] (GTX114232) diluted at 1:1000. The HRP-conjugated anti-rabbit IgG antibody (GTX213110-01) was used to detect the primary antibody. Corresponding RNA expression data for the same cell lines are based on Human Protein Atlas program.
Various whole cell extracts (30 μg) were separated by 7.5% SDS-PAGE, and the membrane was blotted with ACADVL antibody [N1C1] (GTX114232) diluted at 1:1000. The HRP-conjugated anti-rabbit IgG antibody (GTX213110-01) was used to detect the primary antibody.
ACADVL antibody [N1C1] detects ACADVL protein at mitochondria by immunofluorescent analysis.
Sample: HeLa cells were fixed in ice-cold MeOH for 5 min.
Green: ACADVL stained by ACADVL antibody [N1C1] (GTX114232) diluted at 1:500.
Blue: Fluoroshield with DAPI (GTX30920).
Scale bar= 10 μm.
Sample (50 μg of whole cell lysate)
A: mouse liver
7.5% SDS PAGE
GTX114232 diluted at 1:3000
The HRP-conjugated anti-rabbit IgG antibody (GTX213110-01) was used to detect the primary antibody.
ACADVL antibody [N1C1] detects ACADVL protein at cytoplasm by immunohistochemical analysis.
Sample: Paraffin-embedded rat liver.
ACADVL stained by ACADVL antibody [N1C1] (GTX114232) diluted at 1:500.
Antigen Retrieval: Citrate buffer, pH 6.0, 15 min
Immunohistochemical analysis of paraffin-embedded H358 xenograft, using ACADVL(GTX114232) antibody at 1:250 dilution.
Antigen Retrieval: Trilogy™ (EDTA based, pH 8.0) buffer, 15min
ACADVL antibody [N1C1] detects ACADVL protein at mitochondria by immunohistochemical analysis.
Sample: Paraffin-embedded human A549 xenograft.
ACADVL antibody [N1C1] (GTX114232) diluted at 1:500.
Antigen Retrieval: Trilogy™ (EDTA based, pH 8.0) buffer, 15min
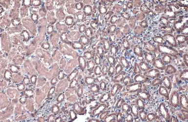
ACADVL antibody [N1C1] detects ACADVL protein at cytoplasm by immunohistochemical analysis.
Sample: Paraffin-embedded mouse kidney.
ACADVL stained by ACADVL antibody [N1C1] (GTX114232) diluted at 1:500.
Antigen Retrieval: Citrate buffer, pH 6.0, 15 min
风险提示:丁香通仅作为第三方平台,为商家信息发布提供平台空间。用户咨询产品时请注意保护个人信息及财产安全,合理判断,谨慎选购商品,商家和用户对交易行为负责。对于医疗器械类产品,请先查证核实企业经营资质和医疗器械产品注册证情况。
文献和实验Stein CS et al., Cell Rep 2018 (PMID:29949756)
Tenopoulou M et al., JCI Insight 2018 (PMID:30135317)
Tenopoulou M et al., J Biol Chem 2015 (PMID:25737446)
Doulias PT et al., Sci Signal 2013 (PMID:23281369)
Tong D et al., Circ Res 2021 (PMID:33882692)
Chu H et al., Carcinogenesis 2021 (PMID:33677528)
Raimo S et al., Redox Biol 2021 (PMID:33725513)
技术资料暂无技术资料 索取技术资料






![Hsp90 antibody [2D12]](https://img1.dxycdn.com/2023/0711/451/6106825198874858761-14.jpg!wh200)
![RAB20 antibody [N1C3]](https://img1.dxycdn.com/2023/0711/255/2344116916935858761-14.jpg!wh200)


