相关产品推荐更多 >
万千商家帮你免费找货
0 人在求购买到急需产品
- 详细信息
- 文献和实验
- 技术资料
- 免疫原:
Recombinant protein encompassing a sequence within the center region of human Bmi1. The exact sequence is proprietary.
- 亚型:
IgG
- 形态:
Liquid
- 保存条件:
Store as concentrated solution. Centrifuge briefly prior to opening vial. For short-term storage (1-2 weeks), store at 4ºC. For long-term storage, aliquot and store at -20ºC or below. Avoid multiple freeze-thaw cycles.
- 克隆性:
Polyclonal
- 标记物:
Unconjugated
- 适应物种:
Human, Mouse, Cat, Dog
- 保质期:
12 months from the shipping date of the product.
- 抗原来源:
Human
- 目录编号:
GTX114008
- 级别:
Primary Antibodies
- 库存:
Available
- 供应商:
GeneTex
- 宿主:
Rabbit
- 应用范围:
WB, ICC/IF, IHC-P, IP
- 浓度:
1 mg/ml (Please refer to the vial label for the specific concentration.)
- 靶点:
Bmi1
- 抗体英文名:
Bmi1 antibody
- 抗体名:
Bmi1 抗体
- 规格:
100 μl/25 μl
| 规格: | 100 μl | 产品价格: | ¥4000.0 |
|---|---|---|---|
| 规格: | 25 μl | 产品价格: | ¥1700.0 |
Bmi1 antibody detects Bmi1 protein at nucleus by immunofluorescent analysis.
Sample: MDCK cells were fixed in 4% PFA at RT for 15 min.
Green: Bmi1 stained by Bmi1 antibody (GTX114008) diluted at 1:1000.
Red: phalloidin, a cytoskeleton marker, diluted at 1:100.
Scale bar= 10 μm.
Bmi1 antibody detects Bmi1 protein at nucleus by immunofluorescent analysis.
Sample: PG-4 cells were fixed in 4% PFA at RT for 15 min.
Green: Bmi1 stained by Bmi1 antibody (GTX114008) diluted at 1:1000.
Blue: Hoechst 33342 staining.
Scale bar= 10 μm.
Bmi1 antibody detects Bmi1 protein at cytoplasm and nucleus by immunohistochemical analysis.
Sample: Paraffin-embedded dog lung.
Bmi1 stained by Bmi1 antibody (GTX114008) diluted at 1:500.
Antigen Retrieval: Citrate buffer, pH 6.0, 15 min
Whole cell extract (30 μg) was separated by 10% SDS-PAGE, and the membrane was blotted with Bmi1 antibody (GTX114008) diluted at 1:1000. The HRP-conjugated anti-rabbit IgG antibody (GTX213110-01) was used to detect the primary antibody, and the signal was developed with Trident ECL plus-Enhanced.
Whole cell extract (30 μg) was separated by 10% SDS-PAGE, and the membrane was blotted with Bmi1 antibody (GTX114008) diluted at 1:1000. The HRP-conjugated anti-rabbit IgG antibody (GTX213110-01) was used to detect the primary antibody.
Non-transfected (–) and transfected (+) HeLa whole cell extracts (30 μg) were separated by 10% SDS-PAGE, and the membrane was blotted with Bmi1 antibody (GTX114008) diluted at 1:500. The HRP-conjugated anti-rabbit IgG antibody (GTX213110-01) was used to detect the primary antibody.
Bmi1 antibody detects Bmi1 protein by western blot analysis.
A. 30 μg K562 whole cell lysate/extract
B. 30 μg THP-1 whole cell lysate/extract
10% SDS-PAGE
Bmi1 antibody (GTX114008) dilution: 1:1000
The HRP-conjugated anti-rabbit IgG antibody (GTX213110-01) was used to detect the primary antibody.
Bmi1 antibody detects BMI1 protein by western blot analysis.
A. 30 μg THP-1 whole cell lysate/extract
B. 30 μg HL-60 whole cell lysate/extract
10% SDS-PAGE
Bmi1 antibody (GTX114008) dilution: 1:1000
The HRP-conjugated anti-rabbit IgG antibody (GTX213110-01) was used to detect the primary antibody.
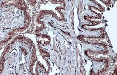
Bmi1 antibody detects Bmi1 protein at cytosol and nucleus on human breast carcinoma by immunohistochemical analysis.
Sample: Paraffin-embedded human breast carcinoma.
Bmi1 antibody (GTX114008) dilution: 1:500.
Antigen Retrieval: Trilogy™ (EDTA based, pH 8.0) buffer, 15min
BMI1 antibody [N1C3-2] detects BMI1 protein by immunofluorescent analysis.
Sample: HeLa cells were fixed in 4% PFA for 15 min.
Green: BMI1 protein stained by BMI1 antibody (GTX114008) diluted at 1:1000.
Blue: Hoechst 33342 staining.
Scale bar = 10 μm.
风险提示:丁香通仅作为第三方平台,为商家信息发布提供平台空间。用户咨询产品时请注意保护个人信息及财产安全,合理判断,谨慎选购商品,商家和用户对交易行为负责。对于医疗器械类产品,请先查证核实企业经营资质和医疗器械产品注册证情况。
文献和实验Huang CF et al., J Exp Clin Cancer Res 2017 (PMID:28865486)
Wang Y et al., J Mol Neurosci 2017 (PMID:28856557)
Huynh N et al., BMC Cancer 2017 (PMID:28629331)
Ko CY et al., Mol Neurobiol 2017 (PMID:28478507)
Wang LT et al., Oncogene 2017 (PMID:28368406)
Ju SY et al., Cell Death Dis 2015 (PMID:26136074)
Yu-Ting Yen et al., Int J Mol Sci 2021 (PMID:35008751)
Chen YK et al., Int J Oral Sci 2014 (PMID:25012868)
Chien CH et al., J Biomed Sci 2019 (PMID:31629402)
Lai YJ et al., J Cell Physiol 2018 (PMID:30341909)
Hsu CC et al., J Biomed Sci 2016 (PMID:27863490)
Chang KY et al., Biochem Biophys Res Commun 2017 (PMID:28939040)
Generation of Antibody Molecules Through Antibody Engineering
been overcome to a large extent using genetic-engineering techniques to produce chimeric mouse/human and completely human antibodies. Such an approach is particularly suitable because of the domain structure of the antibody molecule ( 2 ), where functional
The importance of antibody molecules was first recognized in the 1890s, when it was shown that immunity to tetanus and diphtheria was caused by antibodies against the bacterial exotoxins (1 ). Around the same time, it was shown that antisera
General comments: Antibodies, like most proteins, do not like to be freeze-thawed. Avoid repetitive freezing of your solution. The best way to store your antibody is to keep a high protein concentration (>1 mg/ml), add some protease
技术资料暂无技术资料 索取技术资料







![CREG1 antibody [AT1C6]](https://img1.dxycdn.com/2023/0711/451/6106825198874858761-14.jpg!wh200)
![CCKBR antibody [C1C2], Internal](https://img1.dxycdn.com/2023/0711/255/2344116916935858761-14.jpg!wh200)

