相关产品推荐更多 >
万千商家帮你免费找货
0 人在求购买到急需产品
- 详细信息
- 文献和实验
- 技术资料
- 免疫原:
Recombinant protein encompassing a sequence within the center region of human Sodium/Potassium ATPase beta 1. The exact sequence is proprietary.
- 亚型:
IgG
- 形态:
Liquid
- 保存条件:
Store as concentrated solution. Centrifuge briefly prior to opening vial. For short-term storage (1-2 weeks), store at 4ºC. For long-term storage, aliquot and store at -20ºC or below. Avoid multiple freeze-thaw cycles.
- 克隆性:
Polyclonal
- 标记物:
Unconjugated
- 适应物种:
Human, Mouse, Rat
- 保质期:
12 months from the shipping date of the product.
- 抗原来源:
Human
- 目录编号:
GTX113390
- 级别:
Primary Antibodies
- 库存:
Available
- 供应商:
GeneTex
- 宿主:
Rabbit
- 应用范围:
WB, IHC-P
- 浓度:
1 mg/ml (Please refer to the vial label for the specific concentration.)
- 靶点:
Sodium/Potassium ATPase beta 1
- 抗体英文名:
Sodium/Potassium ATPase beta 1 antibody
- 抗体名:
Sodium/Potassium ATPase beta 1 抗体
- 规格:
100 μl/25 μl
| 规格: | 100 μl | 产品价格: | ¥4000.0 |
|---|---|---|---|
| 规格: | 25 μl | 产品价格: | ¥1700.0 |
Human brain (30 μg) was separated by 10% SDS-PAGE, and the membrane was blotted with Sodium/Potassium ATPase beta 1 antibody (GTX113390) diluted at 1:1000. The HRP-conjugated anti-rabbit IgG antibody (GTX213110-01) was used to detect the primary antibody.
Sample (50 μg of whole cell lysate)
A: Rat brain
10% SDS PAGE
GTX113390 diluted at 1:1000
The HRP-conjugated anti-rabbit IgG antibody (GTX213110-01) was used to detect the primary antibody.
Sample (50 ug of whole cell lysate)
A: mouse brain
10% SDS PAGE
GTX113390 diluted at 1:1000
Sodium Potassium ATPase Beta 1 antibody detects ATP1B1 protein at membrane on human hepatoma by immunohistochemical analysis.
Sample: Paraffin-embedded hepatoma tissue.
Sodium Potassium ATPase Beta 1 antibody (GTX113390) dilution: 1:500.
Antigen Retrieval: Trilogy™ (EDTA based, pH 8.0) buffer, 15min
Immunohistochemical analysis of paraffin-embedded MDAMB468 xenograft, using ATPase beta1(Na+/K+)(GTX113390) antibody at 1:100 dilution.
Antigen Retrieval: Trilogy™ (EDTA based, pH 8.0) buffer, 15min
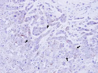
Sodium Potassium ATPase Beta 1 antibody detects ATP1B1 protein at membrane on Cal27 xenograft by immunohistochemical analysis.
Sample: Paraffin-embedded Cal27 xenograft.
Sodium Potassium ATPase Beta 1 antibody (GTX113390) dilution: 1:500.
Antigen Retrieval: Trilogy™ (EDTA based, pH 8.0) buffer, 15min
风险提示:丁香通仅作为第三方平台,为商家信息发布提供平台空间。用户咨询产品时请注意保护个人信息及财产安全,合理判断,谨慎选购商品,商家和用户对交易行为负责。对于医疗器械类产品,请先查证核实企业经营资质和医疗器械产品注册证情况。
文献和实验Williams D et al., PLoS One 2021 (PMID:34847154)
Solarski M et al., PLoS One 2019 (PMID:31136617)
Kage H et al., Am J Physiol Lung Cell Mol Physiol 2014 (PMID:25106430)
Tokhtaeva E et al., J Cell Sci 2016 (PMID:27142834)
Flodby P et al., Am J Respir Cell Mol Biol 2016 (PMID:27064541)
Kage H et al., Am J Physiol Lung Cell Mol Physiol 2014 ([Epub ahead of print])
Ding WG et al., PLoS One 2014 (PMID:24663680)
Li G et al., Am J Respir Cell Mol Biol 2014 (PMID:24588076)
Wen X et al., Eur J Oral Sci 2014 (PMID:24313748)
Marchelletta RR et al., Gastroenterology 2013 (PMID:24001788)
Eid S et al., Int J Mol Sci 2022 (PMID:36499150)
Wu SY et al., Autophagy 2023 (PMID:36109708)
技术资料暂无技术资料 索取技术资料





![IL7 Receptor alpha antibody [SB/199]](https://custom.dxycdn.com/trademd/upload/pic/2011/12/14/1323695851.jpg!small.t.1)



