相关产品推荐更多 >
万千商家帮你免费找货
0 人在求购买到急需产品
- 详细信息
- 文献和实验
- 技术资料
- 免疫原:
Recombinant protein encompassing a sequence within the center region of human 14-3-3 gamma. The exact sequence is proprietary.
- 亚型:
IgG
- 形态:
Liquid
- 保存条件:
Store as concentrated solution. Centrifuge briefly prior to opening vial. For short-term storage (1-2 weeks), store at 4ºC. For long-term storage, aliquot and store at -20ºC or below. Avoid multiple freeze-thaw cycles.
- 克隆性:
Polyclonal
- 标记物:
Unconjugated
- 适应物种:
Human, Mouse, Rat
- 保质期:
12 months from the shipping date of the product.
- 抗原来源:
Human
- 目录编号:
GTX113298
- 级别:
Primary Antibodies
- 库存:
Available
- 供应商:
GeneTex
- 宿主:
Rabbit
- 应用范围:
WB, ICC/IF, IHC-P, IP
- 浓度:
1.05 mg/ml (Please refer to the vial label for the specific concentration.)
- 靶点:
14-3-3 gamma
- 抗体英文名:
14-3-3 gamma antibody
- 抗体名:
14-3-3 gamma 抗体
- 规格:
100 μl/25 μl
| 规格: | 100 μl | 产品价格: | ¥4000.0 |
|---|---|---|---|
| 规格: | 25 μl | 产品价格: | ¥1700.0 |
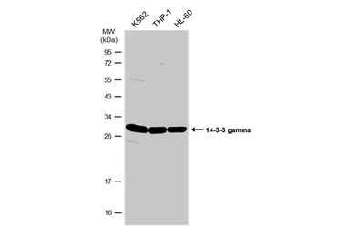
Various whole cell extracts (30 μg) were separated by 12% SDS-PAGE, and the membrane was blotted with 14-3-3 gamma antibody (GTX113298) diluted at 1:1000 and competitor's antibody (SC-731) diluted by 1:200. The HRP-conjugated anti-rabbit IgG antibody (GTX213110-01) was used to detect the primary antibody.
Various whole cell extracts (30 μg) were separated by 12% SDS-PAGE, and the membrane was blotted with 14-3-3 gamma antibody (GTX113298) diluted at 1:1000. The HRP-conjugated anti-rabbit IgG antibody (GTX213110-01) was used to detect the primary antibody.
Sample (50 μg of whole cell lysate)
A: mouse brain
12% SDS PAGE
GTX113298 diluted at 1:10000
The HRP-conjugated anti-rabbit IgG antibody (GTX213110-01) was used to detect the primary antibody.
14-3-3 gamma antibody detects 14-3-3 gamma protein at cytoplasm by immunohistochemical analysis.
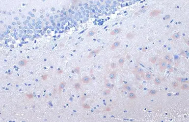
Sample: Paraffin-embedded rat brain.
14-3-3 gamma stained by 14-3-3 gamma antibody (GTX113298) diluted at 1:1000.
Antigen Retrieval: Citrate buffer, pH 6.0, 15 min
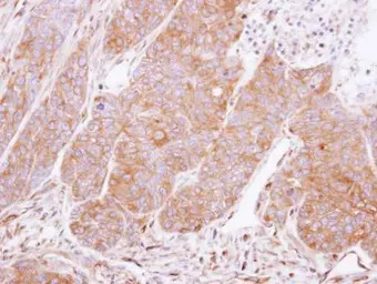
Immunohistochemical analysis of paraffin-embedded DLD1 xenograft, using 14-3-3 gamma(GTX113298) antibody at 1:500 dilution.
Antigen Retrieval: Citrate buffer, pH 6.0, 15 min
Immunofluorescence analysis of methanol-fixed HeLa, using 14-3-3 gamma(GTX113298) antibody at 1:200 dilution.
风险提示:丁香通仅作为第三方平台,为商家信息发布提供平台空间。用户咨询产品时请注意保护个人信息及财产安全,合理判断,谨慎选购商品,商家和用户对交易行为负责。对于医疗器械类产品,请先查证核实企业经营资质和医疗器械产品注册证情况。
文献和实验Sundararaman B et al., Mol Cell 2016 (PMID:26990993)
Iwahori S et al., J Biol Chem 2022 (PMID:36150501)
of the tryptic peptides derived from the purified enzyme revealed two amino acid sequences homologous to the 14-3-3 proteins. A polyclonal antibody was raised against purified ST-IV. A 33 kDa protein was co-immunoprecipitated from rat brain extracts with the anti
Introduction of human 14-3-3 proteins
of the tryptic peptides derived from the purified enzyme revealed two amino acid sequences homologous to the 14-3-3 proteins.A polyclonal antibody was raised against purified ST-IV.A 33 kDa protein was co-immunoprecipitated from rat brain extracts with the anti
14 Immunotargeting of Catalase to the Pulmonary Vascular Endothelium
. In order to provide catalase with such an affinity, catalase could be chemically conjugated with a carrier antibodies recognizing the surface endothelial antigens (8 ). A monoclonal antibody (MAb) against such an antigen, angiotensin-converting enzyme
技术资料暂无技术资料 索取技术资料





![ASFV p54 antibody [HL1286]](https://img1.dxycdn.com/2023/0711/058/8406876405285858761-14.jpg!wh200)

![STEP / PTPN5 antibody [23E5]](https://img1.dxycdn.com/2023/0711/451/6106825198874858761-14.jpg!wh200)

