相关产品推荐更多 >
万千商家帮你免费找货
0 人在求购买到急需产品
- 详细信息
- 文献和实验
- 技术资料
- 免疫原:
Carrier-protein conjugated synthetic peptide encompassing a sequence within the center region of human Calcium binding protein p22. The exact sequence is proprietary.
- 亚型:
IgG
- 形态:
Liquid
- 保存条件:
Store as concentrated solution. Centrifuge briefly prior to opening vial. For short-term storage (1-2 weeks), store at 4ºC. For long-term storage, aliquot and store at -20ºC or below. Avoid multiple freeze-thaw cycles.
- 克隆性:
Polyclonal
- 标记物:
Unconjugated
- 适应物种:
Human
- 保质期:
12 months from the shipping date of the product.
- 抗原来源:
Human
- 目录编号:
GTX111870
- 级别:
Primary Antibodies
- 库存:
Available
- 供应商:
GeneTex
- 宿主:
Rabbit
- 应用范围:
WB, ICC/IF, IHC-P
- 浓度:
1 mg/ml (Please refer to the vial label for the specific concentration.)
- 靶点:
Calcium binding protein p22
- 抗体英文名:
Calcium binding protein p22 antibody [N2C2], Internal
- 抗体名:
Calcium binding protein p22 抗体 [N2C2], Internal
- 规格:
100 μl/25 μl
| 规格: | 100 μl | 产品价格: | ¥4000.0 |
|---|---|---|---|
| 规格: | 25 μl | 产品价格: | ¥1700.0 |
Sample (30 ug of whole cell lysate)
A: Hep G2 (GTX27900)
12% SDS PAGE
GTX111870 diluted at 1:1000
Immunofluorescence analysis of methanol-fixed HepG2, using Calcium binding protein P22(GTX111870) antibody at 1:200 dilution.
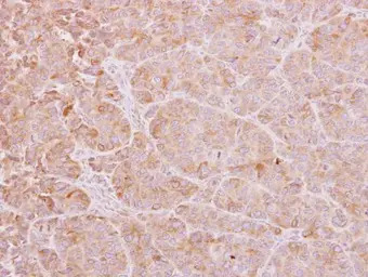
Calcium binding protein P22 antibody [N2C2], Internal detects Calcium binding protein P22 protein at cytoplasm on SW480 xenograft by immunohistochemical analysis.
Sample: Paraffin-embedded SW480 xenograft.
Calcium binding protein P22 antibody [N2C
Antigen Retrieval: Trilogy™ (EDTA based, pH 8.0) buffer, 15min
风险提示:丁香通仅作为第三方平台,为商家信息发布提供平台空间。用户咨询产品时请注意保护个人信息及财产安全,合理判断,谨慎选购商品,商家和用户对交易行为负责。对于医疗器械类产品,请先查证核实企业经营资质和医疗器械产品注册证情况。
文献和实验Analysis of Antibody-Antigen Interactions Using Surface Plasmon Resonance
utilizing the physical principal of surface plasmon resonance (SPR) (BIAcore™, Pharmacia Biosensor, Piscataway, NJ) (1 –4 ) have been developed which allow real-time measurements of protein binding interactions without the use of internal labels
secondary antibody review -- data from 99 publications
cytometry used as a control to detect cell responses targeted antigen 7 Alexa Fluor 488 7 Cy3 8 goat IgG Alexa Fluor 488 1:2000 detect antibody binding in human embryonic kidney 293T cells Invitrogen 9 donkey
【翻译】Development trends for monoclonal antibody cancer therapeutics
, after binding to a target, mAbs can recruit effector cells such as natural killer cells, macrophages or neutrophils, or activate complement to destroy the target3, 24, 25, 26, 27. These two modes of action are referred to as antibody-dependent cell cytotoxicity
技术资料暂无技术资料 索取技术资料







![LDB1 antibody [N2C3]](https://img1.dxycdn.com/2023/0516/045/6925717576889828561-14.jpg!wh200)
![ENaC Gamma antibody [11-35-1]](https://img1.dxycdn.com/2023/0711/451/6106825198874858761-14.jpg!wh200)

