相关产品推荐更多 >
万千商家帮你免费找货
0 人在求购买到急需产品
- 详细信息
- 文献和实验
- 技术资料
- 免疫原:
Recombinant protein encompassing a sequence within the C-terminus region of human C5. The exact sequence is proprietary.
- 亚型:
IgG
- 形态:
Liquid
- 保存条件:
Store as concentrated solution. Centrifuge briefly prior to opening vial. For short-term storage (1-2 weeks), store at 4ºC. For long-term storage, aliquot and store at -20ºC or below. Avoid multiple freeze-thaw cycles.
- 克隆性:
Polyclonal
- 标记物:
Unconjugated
- 适应物种:
Human
- 保质期:
12 months from the shipping date of the product.
- 抗原来源:
Human
- 目录编号:
GTX111625
- 级别:
Primary Antibodies
- 库存:
Available
- 供应商:
GeneTex
- 宿主:
Rabbit
- 应用范围:
WB, IHC-P
- 浓度:
1 mg/ml (Please refer to the vial label for the specific concentration.)
- 靶点:
C5 / C5b
- 抗体英文名:
C5 / C5b antibody [C2C3-2], C-term
- 抗体名:
C5 / C5b 抗体 [C2C3-2], C-term
- 规格:
100 μl/25 μl
| 规格: | 100 μl | 产品价格: | ¥4000.0 |
|---|---|---|---|
| 规格: | 25 μl | 产品价格: | ¥1700.0 |
Sample (30 ug of whole cell lysate)
A: H1299
5% SDS PAGE
GTX111625 diluted at 1:1000
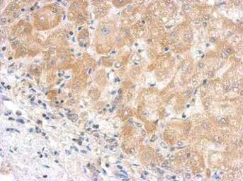
Immunohistochemical analysis of paraffin-embedded human hepatoma, using C5 antibody(GTX111625) antibody at 1:500 dilution.
Antigen Retrieval: Trilogy™ (EDTA based, pH 8.0) buffer, 15min
风险提示:丁香通仅作为第三方平台,为商家信息发布提供平台空间。用户咨询产品时请注意保护个人信息及财产安全,合理判断,谨慎选购商品,商家和用户对交易行为负责。对于医疗器械类产品,请先查证核实企业经营资质和医疗器械产品注册证情况。
文献和实验补体成分 C5(C5a/C5b) 补体成分:C5 血清浓度(μg/ml):70 分子量(kDa):190 亚单位(链)及分子量(kDa):α∶115;β∶75 激活产物:C5a;C5b 生物学活性:C5a 强的过敏毒素作用、趋化作用、促代谢作用及免疫调节作用 C5b
Quantification of Complement C5b-9 Binding to Cells by Flow Cytometry
. By using an antibody that identifies a novel antigen of the C5b-9 complex, the amount of C5b-9 complexes on cells can be quantified by flow cytometry. The detailed protocol is described in this chapter.
补体成分 C2(C2a/C2b) 补体成分:C2 血清浓度(μg/ml):20 分子量(kDa):110 亚单位(链)及分子量(kDa):1条 激活产物:C2b;C2a 生物学活性:C2a 丝氨酸蛋白酶,组成CP中的C3、C5转化酶 ELISA KIT & ANTIBODY
技术资料暂无技术资料 索取技术资料







![NUP98 antibody [2H10]](https://img1.dxycdn.com/2023/0711/451/6106825198874858761-14.jpg!wh200)


