相关产品推荐更多 >
万千商家帮你免费找货
0 人在求购买到急需产品
- 详细信息
- 文献和实验
- 技术资料
- 免疫原:
Recombinant protein encompassing a sequence within the center region of human alpha 2 Antiplasmin. The exact sequence is proprietary.
- 亚型:
IgG
- 形态:
Liquid
- 保存条件:
Store as concentrated solution. Centrifuge briefly prior to opening vial. For short-term storage (1-2 weeks), store at 4ºC. For long-term storage, aliquot and store at -20ºC or below. Avoid multiple freeze-thaw cycles.
- 克隆性:
Polyclonal
- 标记物:
Unconjugated
- 适应物种:
Human, Mouse, Zebrafish
- 保质期:
12 months from the shipping date of the product.
- 抗原来源:
Human
- 目录编号:
GTX110076
- 级别:
Primary Antibodies
- 库存:
Available
- 供应商:
GeneTex
- 宿主:
Rabbit
- 应用范围:
WB, ICC/IF, IHC-P, IHC-Wm
- 浓度:
1 mg/ml (Please refer to the vial label for the specific concentration.)
- 靶点:
Alpha 2 Antiplasmin
- 抗体英文名:
Alpha 2 Antiplasmin antibody [N3C3]
- 抗体名:
Alpha 2 Antiplasmin 抗体 [N3C3]
- 规格:
100 μl/25 μl
| 规格: | 100 μl | 产品价格: | ¥4000.0 |
|---|---|---|---|
| 规格: | 25 μl | 产品价格: | ¥1700.0 |
Immunohistochemical analysis (whole mount) of zebrafish embryo, using Alpha 2 Antiplasmin antibody [N3C3] (GTX110076) at 1:200 dilution.
Immunofluorescence analysis of methanol-fixed A431, using SERPINF2(GTX110076) antibody at 1:200 dilution.
Sample (50 ug of whole cell lysate)
A: mouse liver
10% SDS PAGE
GTX110076 diluted at 1:1000
Human tissue extract (30 μg) was separated by 10% SDS-PAGE, and the membrane was blotted with alpha 2 Antiplasmin antibody [N3C3] (GTX110076) diluted at 1:2000.
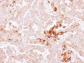
Immunohistochemical analysis of paraffin-embedded OVCAR3 xenograft, using alpha 2 Antiplasmin(GTX110076) antibody at 1:500 dilution.
Antigen Retrieval: Citrate buffer, pH 6.0, 15 min
Sample (30 ug of whole cell lysate)
A: Hela
10% SDS PAGE
GTX110076 diluted at 1:1000
风险提示:丁香通仅作为第三方平台,为商家信息发布提供平台空间。用户咨询产品时请注意保护个人信息及财产安全,合理判断,谨慎选购商品,商家和用户对交易行为负责。对于医疗器械类产品,请先查证核实企业经营资质和医疗器械产品注册证情况。
文献和实验domesticus x Mus spretus] F1 DNA). In the analysis of the antibody bound (B) and unbound (U) fractions (right panel), the bands representing the maternal and paternal alleles are indicated.MATERIALS Reagents100-bp DNA step ladder (for duplex PCR
hydroxylaseAssociation of a 14-3-3 protein with CMP-NeuAc:GM1 alpha 2,3-sialyltransferaseInteraction of 14-3-3 with signaling proteins is mediated by phosphoserineActivation-modulated association of 14-3-3 proteins with Cbl14-3-3 binding sequence in cytoplasmic domain
Antigen Design Sera Purification Tech Sheet
, the N-terminus is also frequently exposed and on the surface of the protein making it an ideal candidate for antibody generation. If a protein sequence is derived from the cDNA sequence, the leader sequence should not be included in the sequence selected
技术资料暂无技术资料 索取技术资料







![MUSK antibody [N1N2], N-term](https://img1.dxycdn.com/2023/0516/895/8887749495766728561-14.jpg!wh200)

