相关产品推荐更多 >
万千商家帮你免费找货
0 人在求购买到急需产品
- 详细信息
- 文献和实验
- 技术资料
- 免疫原:
Recombinant protein encompassing a sequence within the center region of human O-GlcNAc transferase. The exact sequence is proprietary.
- 亚型:
IgG
- 形态:
Liquid
- 保存条件:
Store as concentrated solution. Centrifuge briefly prior to opening vial. For short-term storage (1-2 weeks), store at 4ºC. For long-term storage, aliquot and store at -20ºC or below. Avoid multiple freeze-thaw cycles.
- 克隆性:
Polyclonal
- 标记物:
Unconjugated
- 适应物种:
Human, Mouse, Rat
- 保质期:
12 months from the shipping date of the product.
- 抗原来源:
Human
- 目录编号:
GTX109939
- 级别:
Primary Antibodies
- 库存:
Available
- 供应商:
GeneTex
- 宿主:
Rabbit
- 应用范围:
WB, ICC/IF, IHC-P, FACS, IP
- 浓度:
1.39 mg/ml (Please refer to the vial label for the specific concentration.)
- 靶点:
O-GlcNAc transferase
- 抗体英文名:
O-GlcNAc transferase antibody
- 抗体名:
O-GlcNAc transferase 抗体
- 规格:
100 μl/25 μl
| 规格: | 100 μl | 产品价格: | ¥4000.0 |
|---|---|---|---|
| 规格: | 25 μl | 产品价格: | ¥1700.0 |
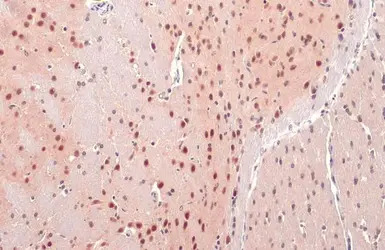
O-GlcNAc transferase antibody detects O-GlcNAc transferase protein at cytoplasm and nucleus by immunohistochemical analysis.
Sample: Paraffin-embedded rat brain.
O-GlcNAc transferase stained by O-GlcNAc transferase antibody (GTX109939) diluted at 1:500.
Antigen Retrieval: Citrate buffer, pH 6.0, 15 min
O-GlcNAc transferase antibody detects O-GlcNAc transferase protein at cytoplasm and nucleus by immunohistochemical analysis.
Sample: Paraffin-embedded rat brain.
O-GlcNAc transferase stained by O-GlcNAc transferase antibody (GTX109939) diluted at 1:500.
Antigen Retrieval: Citrate buffer, pH 6.0, 15 min
O-GlcNAc transferase antibody detects O-GlcNAc transferase protein at cytoplasm and nucleus by immunohistochemical analysis.
Sample: Paraffin-embedded rat brain.
O-GlcNAc transferase stained by O-GlcNAc transferase antibody (GTX109939) diluted at 1:500.
Antigen Retrieval: Citrate buffer, pH 6.0, 15 min
Various whole cell extracts (30 μg) were separated by 7.5% SDS-PAGE, and the membrane was blotted with O-GlcNAc transferase antibody (GTX109939) diluted at 1:1000. The HRP-conjugated anti-rabbit IgG antibody (GTX213110-01) was used to detect the primary antibody. Corresponding RNA expression data for the same cell lines are based on Human Protein Atlas program.
O-GlcNAc transferase antibody detects O-GlcNAc transferase protein at cytoplasm and nucleus by immunohistochemical analysis.
Sample: Paraffin-embedded mouse brain.
O-GlcNAc transferase stained by O-GlcNAc transferase antibody (GTX109939) diluted at 1:500.
Antigen Retrieval: Citrate buffer, pH 6.0, 15 min
O-GlcNAc transferase antibody detects O-GlcNAc transferase protein at cytoplasm and nucleus by immunofluorescent analysis.
Sample: MCF7 cells were fixed in 4% PFA at RT for 15 min.
Green: O-GlcNAc transferase protein stained by O-GlcNAc transferase antibody (GTX109939) diluted at 1:500.
Red: phalloidin, a cytoskeleton marker, stained by phalloidin (invitrogen, A12380) diluted at 1:200.
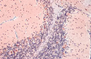
O-GlcNAc transferase antibody detects O-GlcNAc transferase protein at cytoplasm and nucleus by immunohistochemical analysis.
Sample: Paraffin-embedded mouse brain.
O-GlcNAc transferase stained by O-GlcNAc transferase antibody (GTX109939) diluted at 1:500.
Antigen Retrieval: Citrate buffer, pH 6.0, 15 min
O-GlcNAc transferase antibody detects O-GlcNAc transferase protein at cytoplasm and nucleus by immunohistochemical analysis.
Sample: Paraffin-embedded mouse brain.
O-GlcNAc transferase stained by O-GlcNAc transferase antibody (GTX109939) diluted at 1:500.
Antigen Retrieval: Citrate buffer, pH 6.0, 15 min
O-GlcNAc transferase antibody detects O-GlcNAc transferase protein at nucleus by immunofluorescent analysis.
Sample: HeLa cells were fixed in 4% PFA at RT for 15 min.
Green: O-GlcNAc transferase stained by O-GlcNAc transferase antibody (GTX109939) diluted at 1:500.
Red: alpha Tubulin, a cytoskeleton marker, stained by alpha Tubulin antibody [GT114] (GTX628802) diluted at 1:1000.
Scale bar= 10μm.
风险提示:丁香通仅作为第三方平台,为商家信息发布提供平台空间。用户咨询产品时请注意保护个人信息及财产安全,合理判断,谨慎选购商品,商家和用户对交易行为负责。对于医疗器械类产品,请先查证核实企业经营资质和医疗器械产品注册证情况。
文献和实验Huang YJ et al., Nanotheranostics 2017 (PMID:29071196)
Chen YJ et al., Biomed Res Int 2015 (PMID:26583147)
Sammartino G et al., Biomed Res Int 2016 (PMID:27073803)
Nagai-Okatani C et al., PLoS One 2016 (PMID:27281159)
Komura K et al., Glycobiology 2012 (PMID:22846177)
Ise H et al., Glycobiology 2012 (PMID:22345628)
Since the discovery of O -GlcNAc modification (O -GlcNAcylation) 20 years ago, much attention has been given to OGT (O -GlcNAc transferase), the unique enzyme responsible for the nuclear and cytosolic O -GlcNAcylation processes. This review
A Modified Coupled Enzyme Method for O-linked GlcNAc Transferase Activity Assay
In order to determine the activity of O-linked GlcNAc transferase (OGT), a modified coupled enzyme method was proposed. This method was based on the measurement of uridine 5′-(trihydrogen diphosphate) (UDP), a product generated
Enzymatic Characterization of Recombinant Enzymes of O-GlcNAc Cycling
. Here we describe the production of and methods for assay of the recombinant enzymes of O -GlcNAc cycling: O -linked GlcNAc Transferase (OGT) and O -GlcNAcase (OGA).
技术资料暂无技术资料 索取技术资料









