相关产品推荐更多 >
万千商家帮你免费找货
0 人在求购买到急需产品
- 详细信息
- 文献和实验
- 技术资料
- 免疫原:
Carrier-protein conjugated synthetic peptide encompassing a sequence within the C-terminus region of human Calnexin. The exact sequence is proprietary.
- 亚型:
IgG
- 形态:
Liquid
- 保存条件:
Store as concentrated solution. Centrifuge briefly prior to opening vial. For short-term storage (1-2 weeks), store at 4ºC. For long-term storage, aliquot and store at -20ºC or below. Avoid multiple freeze-thaw cycles.
- 克隆性:
Polyclonal
- 标记物:
Unconjugated
- 适应物种:
Human, Mouse, Rat, Sheep
- 保质期:
12 months from the shipping date of the product.
- 抗原来源:
Human
- 目录编号:
GTX109669
- 级别:
Primary Antibodies
- 库存:
Available
- 供应商:
GeneTex
- 宿主:
Rabbit
- 应用范围:
WB, ICC/IF, IHC-P, IP
- 浓度:
0.46 mg/ml (Please refer to the vial label for the specific concentration.)
- 靶点:
IP/MS validation was supported by references (PMID:30377396)
- 抗体英文名:
Calnexin antibody [C3], C-term
- 抗体名:
Calnexin 抗体 [C3], C-term
- 规格:
100 μl/25 μl
| 规格: | 100 μl | 产品价格: | ¥4000.0 |
|---|---|---|---|
| 规格: | 25 μl | 产品价格: | ¥1700.0 |
Non-transfected (–) and transfected (+) 293T whole cell extracts (15 μg) were separated by 7.5% SDS-PAGE, and the membrane was blotted with Calnexin antibody [C3], C-term (GTX109669) diluted at 1:20000. The HRP-conjugated anti-rabbit IgG antibody (GTX213110-01) was used to detect the primary antibody.
Calnexin antibody immunoprecipitates Calnexin protein in IP experiments. IP Sample: 1000 μg HeLa whole cell lysate/extract A. 30 μg HeLa whole cell lysate/extract B. Control with 2 μg of preimmune rabbit IgG C. Immunoprecipitation of Calnexin protein by 2 μg of Calnexin antibody (GTX109669) 7.5% SDS-PAGE The immunoprecipitated Calnexin protein was detected by Calnexin antibody (GTX109669) diluted at 1:1000. EasyBlot anti-rabbit IgG (GTX221666-01) was used as a secondary reagent.
Various whole cell extracts (30 μg) were separated by 7.5% SDS-PAGE, and the membranes were blotted with Calnexin antibody [C3], C-term (GTX109669) diluted at 1:5000 and competitor's antibody diluted at 1:5000. The HRP-conjugated anti-rabbit IgG antibody (GTX213110-01) was used to detect the primary antibody.
*The competitor is not affiliated with GeneTex and does not endorse this product.
Calnexin antibody [C3], C-term detects Calnexin protein by immunofluorescent analysis.
Sample: DIV9 rat E18 primary cortical neuron cells were fixed in 4% PFA at RT for 15 min.
Green: Calnexin stained by Calnexin antibody [C3], C-term (GTX109669) diluted at 1:500.
Red: beta Tubulin 3/ Tuj1, stained by beta Tubulin 3/ Tuj1 antibody [GT1338] (GTX631831) diluted at 1:500.
Blue: Fluoroshield with DAPI (GTX30920).
Calnexin antibody [C3], C-term detects Calnexin protein at cytosol on mouse testis by immunohistochemical analysis.
Sample: Paraffin-embedded mouse testis.
Calnexin antibody [C3], C-term (GTX109669) dilution: 1:500.
Antigen Retrieval: Trilogy™ (EDTA based, pH 8.0) buffer, 15min
Calnexin antibody [C3], C-term detects Calnexin protein at cytosol on mouse middle brain by immunohistochemical analysis.
Sample: Paraffin-embedded mouse middle brain.
Calnexin antibody [C3], C-term (GTX109669) dilution: 1:500.
Antigen Retrieval: Trilogy™ (EDTA based, pH 8.0) buffer, 15min
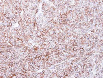
Immunohistochemical analysis of paraffin-embedded DLD-1 xenograft, using Calnexin(GTX109669) antibody at 1:500 dilution.
Antigen Retrieval: Trilogy™ (EDTA based, pH 8.0) buffer, 15min
Various whole cell extracts (30 μg) were separated by 7.5% SDS-PAGE, and the membrane was blotted with Calnexin antibody [C3], C-term (GTX109669) diluted at 1:10000. The HRP-conjugated anti-rabbit IgG antibody (GTX213110-01) was used to detect the primary antibody.
Non-transfected (–) and transfected (+) 293T whole cell extracts (30 μg) were separated by 7.5% SDS-PAGE, and the membrane was blotted with Calnexin antibody [C3], C-term (GTX109669) diluted at 1:5000. The HRP-conjugated anti-rabbit IgG antibody (GTX213110-01) was used to detect the primary antibody.
风险提示:丁香通仅作为第三方平台,为商家信息发布提供平台空间。用户咨询产品时请注意保护个人信息及财产安全,合理判断,谨慎选购商品,商家和用户对交易行为负责。对于医疗器械类产品,请先查证核实企业经营资质和医疗器械产品注册证情况。
文献和实验Kondo Y et al., JCI Insight 2018 (PMID:30046013)
Jiang Y et al., J Cell Mol Med 2020 (PMID:32073234)
Kuo HF et al., J Clin Med 2019 (PMID:31167519)
Inoue J et al., J Virol 2019 (PMID:31118260)
Huang WT et al., Cancer Lett 2019 (PMID:30439539)
Chang HY et al., Sci Rep 2017 (PMID:28615694)
Sikorski K et al., Nat Methods 2018 (PMID:30377371)
Morioka S et al., Exp Cell Res 2017 (PMID:28552585)
De Palma C et al., Skelet Muscle 2014 (PMID:25530838)
Miyauchi Y et al., Mol Pharmacol 2015 (PMID:26243732)
Sugahara D et al., Glycobiology 2016 (Epub)
Lopes da Fonseca T et al., Hum Mol Genet 2016 (PMID:27282395)
Palmer DN et al., Biochim Biophys Acta 2015 (PMID:26073432)
Sharma S et al., Nat Commun 2015 (PMID:25898173)
Luo YH et al., Chem Res Toxicol 2013 (PMID:23617821)
Holzer RG et al., Cell 2011 (PMID:21962514)
Chen YT et al., PLoS One 2012 (PMID:23049968)
Zhao X et al., Front Cell Neurosci 2022 (PMID:36439204)
Ge Gao et al., Am J Cancer Res 2022 (PMID:35693076)
Jonathan P Davies et al., ACS Infect Dis 2020 (PMID:33263384)
Madison T Wright et al., Mol Cell Proteomics 2020 (PMID:33581410)
Vultaggio-Poma V et al., Theranostics 2022 (PMID:34976217)
Pegoraro A et al., Cell Death Dis 2021 (PMID:34789738)
Hanif A et al., Oncotarget 2020 (PMID:32577168)
Hu W et al., JCI Insight 2021 (PMID:33400686)
Gaballa R et al., Cancers (Basel) 2020 (PMID:32824235)
Fan J et al., J Cell Biol 2017 (PMID:29133483)
Chen JF et al., J Pharm Biomed Anal 2020 (PMID:32460214)
补体成分 C3(C3a/C3b) 补体成分:C3 血清浓度(μg/ml):550-1200 分子量(kDa):195 亚单位(链)及分子量(kDa):α∶110;β∶85 激活产物:C3a;C3b 生物学活性:C3a 过敏毒素、趋化作用等。 C3b 组成CP、AP中的C3、C5转化
上海西唐生物科技有限公司 021-55229872, 65333639 www.westang.com 大鼠补体 C3(C3)ELISA 试剂盒 ( 用于血清、血浆、细胞培养上清液和生物体液内 ) 原理 本实验采用双抗体夹心 ABC-ELISA 法。用抗大鼠 C3 单抗包被于酶标板上,标准品和样品中的 C3 与单抗结合,加入生物素化的抗大鼠 C3 ,形成免疫复合物连接在板上,辣根
人补体C3 (C3)ELISA 试剂盒 ( 用于血清、血浆、细胞培养上清液和其它生物体液内 ) 原理 本实验采用双抗体夹心 ABC-ELISA 法。用抗人 C3 单抗包被于酶标板上,标准品和样品中的 C3与单抗结合,加入生物素化的抗人 C3 ,形成免疫复合物连接在板上,辣根过氧化物酶标记的 Streptavidin 与生物素结合,加入底物工作液显蓝色,最后加终止液硫酸,在 450nm 处测
技术资料暂无技术资料 索取技术资料







![PI3 kinase p85 alpha antibody [U5]](https://img1.dxycdn.com/2023/0711/451/6106825198874858761-14.jpg!wh200)

