相关产品推荐更多 >
万千商家帮你免费找货
0 人在求购买到急需产品
- 详细信息
- 文献和实验
- 技术资料
- 免疫原:
Full length human Troponin T1 (slow) skeletal muscle Recombinant protein.
- 亚型:
IgG
- 形态:
Liquid
- 保存条件:
Store as concentrated solution. Centrifuge briefly prior to opening vial. For short-term storage (1-2 weeks), store at 4ºC. For long-term storage, aliquot and store at -20ºC or below. Avoid multiple freeze-thaw cycles.
- 克隆性:
Polyclonal
- 标记物:
Unconjugated
- 适应物种:
Human, Pig
- 保质期:
12 months from the shipping date of the product.
- 抗原来源:
Human
- 目录编号:
GTX109585
- 级别:
Primary Antibodies
- 库存:
Available
- 供应商:
GeneTex
- 宿主:
Rabbit
- 应用范围:
WB, IHC-P
- 浓度:
0.89 mg/ml (Please refer to the vial label for the specific concentration.)
- 靶点:
Troponin T1 (slow) skeletal muscle
- 抗体英文名:
Troponin T1 (slow) skeletal muscle antibody
- 抗体名:
Troponin T1 (slow) skeletal muscle 抗体
- 规格:
100 μl/25 μl
| 规格: | 100 μl | 产品价格: | ¥4000.0 |
|---|---|---|---|
| 规格: | 25 μl | 产品价格: | ¥1700.0 |
Sample (30 ug of whole cell lysate)
A: H1299
10% SDS PAGE
GTX109585 diluted at 1:1000
Immunohistochemical analysis of paraffin-embedded Porcine skeletal muscle, using Troponin T1(GTX109585) antibody at 1:500 dilution.
Antigen Retrieval: Trilogy™ (EDTA based, pH 8.0) buffer, 15min
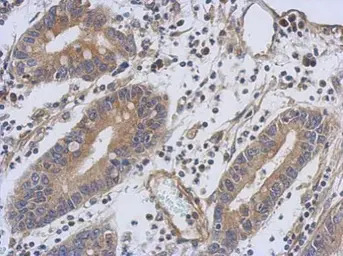
Immunohistochemical analysis of paraffin-embedded human colon carcinoma, using Troponin T1 (slow skeletal)(GTX109585) antibody at 1:500 dilution.
Antigen Retrieval: Trilogy™ (EDTA based, pH 8.0) buffer, 15min
风险提示:丁香通仅作为第三方平台,为商家信息发布提供平台空间。用户咨询产品时请注意保护个人信息及财产安全,合理判断,谨慎选购商品,商家和用户对交易行为负责。对于医疗器械类产品,请先查证核实企业经营资质和医疗器械产品注册证情况。
文献和实验Megumi Yumoto et al., In Vivo 2022 (PMID:35241507)
Zhang T et al., Geroscience 2022 (PMID:35034279)
Analysis of Muscle Gene Transcription in Cultured Skeletal Muscle Cells
The mechanisms by which muscle gene expression is initiated and maintained are not fully understood. Muscle genes are regulated by combinatorial interactions between numerous transcription factors bound to enhancers and promoters
Measurement of Calcium Release Due to Inositol Trisphosphate Receptors in Skeletal Muscle
Calcium transients elicited by IP3 receptors upon electrical stimulation of skeletal muscle cells (slow calcium signals) are often hard to visualize due to their relatively small amplitude compared to the large transient originated
troponin蛋白纯化 Protein purification: troponins
regulatory mechanism for muscle contration. Material Source: skeletal muscle ether powder Equipment: • centrifuge • Cibaron Blue-sephacryl column (5 x 50 cm) • DEAE-sephadex A-50 column (2.5 x 25 cm) • CM-sephadex C-50-120 column
技术资料暂无技术资料 索取技术资料





![beta Tubulin 3/ Tuj1 antibody [5H2]](https://img1.dxycdn.com/2023/0711/451/6106825198874858761-14.jpg!wh200)


![GPD2 antibody [N1N3]](https://img1.dxycdn.com/2023/0516/045/6925717576889828561-14.jpg!wh200)

