相关产品推荐更多 >
万千商家帮你免费找货
0 人在求购买到急需产品
- 详细信息
- 文献和实验
- 技术资料
- 免疫原:
Recombinant protein encompassing a sequence within the center region of human beta A4 Crystallin. The exact sequence is proprietary.
- 亚型:
IgG
- 形态:
Liquid
- 保存条件:
Store as concentrated solution. Centrifuge briefly prior to opening vial. For short-term storage (1-2 weeks), store at 4ºC. For long-term storage, aliquot and store at -20ºC or below. Avoid multiple freeze-thaw cycles.
- 克隆性:
Polyclonal
- 标记物:
Unconjugated
- 适应物种:
Human, Mouse
- 保质期:
12 months from the shipping date of the product.
- 抗原来源:
Human
- 目录编号:
GTX109526
- 级别:
Primary Antibodies
- 库存:
Available
- 供应商:
GeneTex
- 宿主:
Rabbit
- 应用范围:
WB, ICC/IF
- 浓度:
1 mg/ml (Please refer to the vial label for the specific concentration.)
- 靶点:
beta A4 Crystallin
- 抗体英文名:
beta A4 Crystallin antibody [N1C3-2]
- 抗体名:
beta A4 Crystallin 抗体 [N1C3-2]
- 规格:
100 μl/25 μl
| 规格: | 100 μl | 产品价格: | ¥4000.0 |
|---|---|---|---|
| 规格: | 25 μl | 产品价格: | ¥1700.0 |
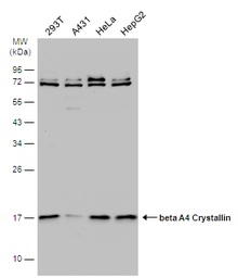
Whole cell extract (30 μg) was separated by 12% SDS-PAGE, and the membrane was blotted with beta A4 Crystallin antibody [N1C3-2] (GTX109526) diluted at 1:1000. The HRP-conjugated anti-rabbit IgG antibody (GTX213110-01) was used to detect the primary antibody.
Immunofluorescence analysis of PFA-fixed HeLa, using Beta-crystallin A4(GTX109526) antibody at 1:200 dilution.
Sample (50 ug of whole cell lysate)
A: mouse brain
12% SDS PAGE
GTX109526 diluted at 1:1000
Various whole cell extracts (30 μg) were separated by 12% SDS-PAGE, and the membrane was blotted with beta A4 Crystallin antibody [N1C3-2] (GTX109526) diluted at 1:1000. The HRP-conjugated anti-rabbit IgG antibody (GTX213110-01) was used to detect the primary antibody.
风险提示:丁香通仅作为第三方平台,为商家信息发布提供平台空间。用户咨询产品时请注意保护个人信息及财产安全,合理判断,谨慎选购商品,商家和用户对交易行为负责。对于医疗器械类产品,请先查证核实企业经营资质和医疗器械产品注册证情况。
文献和实验The Mouse as Model System to Study Host‐Pathogen Interactions in Influenza A Infections
) Primary antibody (polyclonal, against influenza A virions, H1N1; Virostat, http://www.virostat‐inc.com/) Secondary antibody (anti‐goat‐IgG‐HRP; KPL, http://www.kpl.com
[资源] 所有的看家基因(housekeeping genes)列表+引物设计服务
4 (tax-responsive enhancer element B67) (ATF4), mRNA 1392 NM_001642 Homo sapiens amyloid beta (A4) precursor-like protein 2 (APLP2), mRNA 1341 NM_014724 Homo sapiens zinc finger protein 305 (ZNF305), mRNA 719 NM_005494 Homo sapiens DnaJ (Hsp
Imaging Protein‐Protein Interactions by Fluorescence Resonance Energy Transfer (FRET) Microscopy
Antibody (e.g., PY72 monoclonal anti‐phosphotyrosine antibody) labeled with Cy3 (see protocol 3 ) 1% (w/v) bovine serum albumin (BSA, fraction V) in recipePBS
技术资料暂无技术资料 索取技术资料









