相关产品推荐更多 >
万千商家帮你免费找货
0 人在求购买到急需产品
- 详细信息
- 文献和实验
- 技术资料
- 免疫原:
Recombinant protein encompassing a sequence within the center region of human TKTL1. The exact sequence is proprietary.
- 亚型:
IgG
- 形态:
Liquid
- 保存条件:
Store as concentrated solution. Centrifuge briefly prior to opening vial. For short-term storage (1-2 weeks), store at 4ºC. For long-term storage, aliquot and store at -20ºC or below. Avoid multiple freeze-thaw cycles.
- 克隆性:
Polyclonal
- 标记物:
Unconjugated
- 适应物种:
Human
- 保质期:
12 months from the shipping date of the product.
- 抗原来源:
Human
- 目录编号:
GTX109459
- 级别:
Primary Antibodies
- 库存:
Available
- 供应商:
GeneTex
- 宿主:
Rabbit
- 应用范围:
WB, ICC/IF, IHC-P
- 浓度:
0.98 mg/ml (Please refer to the vial label for the specific concentration.)
- 靶点:
TKTL1
- 抗体英文名:
TKTL1 antibody [N1C1]
- 抗体名:
TKTL1 抗体 [N1C1]
- 规格:
100 μl/25 μl
| 规格: | 100 μl | 产品价格: | ¥4000.0 |
|---|---|---|---|
| 规格: | 25 μl | 产品价格: | ¥1700.0 |
TKTL1 antibody [N1C1] detects TKTL1 protein at cytoplasm and nucleus by immunofluorescent analysis.
Sample: HeLa cells were fixed in 4% PFA at RT for 15 min.
Green: TKTL1 protein stained by TKTL1 antibody [N1C1] (GTX109459) diluted at 1:500.
Red: Phalloidin, a cytoskeleton marker, diluted at 1:100.
Scale bar = 10 μm.
Various whole cell extracts (30 μg) were separated by 7.5% SDS-PAGE, and the membrane was blotted with TKTL1 antibody [N1C1] (GTX109459) diluted at 1:5000. The HRP-conjugated anti-rabbit IgG antibody (GTX213110-01) was used to detect the primary antibody.
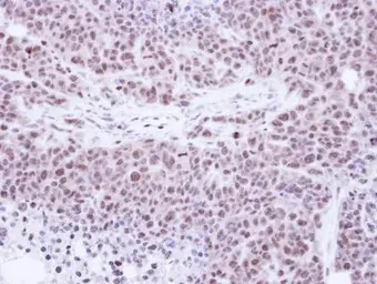
Immunohistochemical analysis of paraffin-embedded SAS xenograft , using Transketolase-like protein 1(GTX109459) antibody at 1:100 dilution.
Antigen Retrieval: Trilogy™ (EDTA based, pH 8.0) buffer, 15min
风险提示:丁香通仅作为第三方平台,为商家信息发布提供平台空间。用户咨询产品时请注意保护个人信息及财产安全,合理判断,谨慎选购商品,商家和用户对交易行为负责。对于医疗器械类产品,请先查证核实企业经营资质和医疗器械产品注册证情况。
文献和实验Li B et al., Aging Cell 2014 (PMID:24757718)
Yuan SS et al., J Natl Cancer Inst 2014;13(2)
Qin Z et al., J Exp Clin Cancer Res 2019 (PMID:30971297)
Tseng CW et al., Cancer Res 2018 (PMID:29599405)
技术资料暂无技术资料 索取技术资料





![HS1BP3 antibody [C2C3], C-term](https://img1.dxycdn.com/2023/0711/255/2344116916935858761-14.jpg!wh200)

![ZNF259 antibody [LG1]](https://img1.dxycdn.com/2023/0711/451/6106825198874858761-14.jpg!wh200)
![SENP8 antibody [N1C3]](https://img1.dxycdn.com/2023/0516/045/6925717576889828561-14.jpg!wh200)

