相关产品推荐更多 >
万千商家帮你免费找货
0 人在求购买到急需产品
- 详细信息
- 文献和实验
- 技术资料
- 免疫原:
Progesterone receptor purified from chick oviduct cytosol.
- 亚型:
IgG2a
- 形态:
Liquid
- 保存条件:
Store as concentrated solution. Centrifuge briefly prior to opening vial. For short-term storage (1-2 weeks), store at 4ºC. For long-term storage, aliquot and store at -20ºC or below. Avoid multiple freeze-thaw cycles.
- 克隆性:
Monoclonal
- 标记物:
Unconjugated
- 适应物种:
Human, Mouse, Rat, Rabbit, Sheep, Bovine, Chicken, Guinea pig, Camelid, Primate
- 保质期:
12 months from the shipping date of the product.
- 抗原来源:
Chicken
- 目录编号:
GTX22765
- 级别:
Primary Antibodies
- 库存:
Available
- 供应商:
GeneTex
- 宿主:
Mouse
- 应用范围:
WB, ICC/IF, IHC-P, IHC-Fr, IP, ChIP assay
- 浓度:
Batch dependent (Please refer to the vial label for the specific concentration.)
- 靶点:
This antibody does detects the B form of the progesterone receptor. It does not cross-react with estrogen receptor or glucocorticoid receptor.
- 抗体英文名:
Progesterone Receptor antibody [Alpha PR6]
- 抗体名:
Progesterone Receptor 抗体 [Alpha PR6]
- 规格:
100 μg
WB analysis of 20 ug of T47D cell lysates, untreated (-) or stimulated (+) with 100 nm promegestone for 1 hour using GTX22765 Progesterone Receptor antibody [Alpha PR6].
Dilution : 1 μg/ml
ICC/IF analysis of T47D cells untreated (left) or stimulated with 100nm promegestone, R5020, for 1 hour (right) using GTX22765 Progesterone Receptor antibody [Alpha PR6].
Green : Primary antibody
Blue : Nuclei
Red : Actin
Fixation : Formalin
Permeabilization : 0.1% Triton X-100 in TBS for 10 minutes
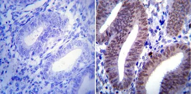
IHC-P analysis of human uterus tissue using GTX22765 Progesterone Receptor antibody [Alpha PR6].
Antigen retrieval : 10mM sodium citrate followed by microwave treatment for 8-15 minutes.
Dilution : 1:20
风险提示:丁香通仅作为第三方平台,为商家信息发布提供平台空间。用户咨询产品时请注意保护个人信息及财产安全,合理判断,谨慎选购商品,商家和用户对交易行为负责。对于医疗器械类产品,请先查证核实企业经营资质和医疗器械产品注册证情况。
文献和实验Jamio? M et al., Molecules 2022 (PMID:36364246)
Leonel ECR et al., Ecotoxicol Environ Saf 2020 (PMID:31753310)
细胞数目及细胞活力,一定范围内信号强度和ATP 含量成正比 Estrogen Receptor alpha Antidiv (YA450) (HY-P80663) www.medchemexpress.cn/antibody/estrogen-receptor-alpha-rabbit-mab.html 可用于乳腺癌组织的免疫组化分析 C-erbB-2/HER2 Antidiv (YA771) (HY-P80658) www.medchemexpress.cn/antibody/erbb-2-1c4
-l1-antibody-ya4674.html 兔来源、无偶联标记、抗 PD-L1 的 IgG 单克隆抗体。 Estrogen Receptor alpha Antibody (YA450) (HY-P80663) www.medchemexpress.cn/antibody/estrogen-receptor-alpha-rabbit-mab.html 兔来源、无偶联标记、抗 Estrogen Receptor alpha 的 IgG 单克隆抗体 CDX2 Antibody (YA3498
Chromatin immunoprecipitation assay detects er recruitment to gene specific promoters in uterus
interested in examining estrogen-dependent transcriptional mechanism in respect of recruitment of estrogen receptor-alpha (ERα), a ligand-activated transcription factor, to uterine gene promoters in mice. Recent genearray studies, utilizing ERα knock-out vs
技术资料暂无技术资料 索取技术资料






![Cytokeratin 19 antibody [KRT19/1959R]](https://img1.dxycdn.com/2023/0711/451/6106825198874858761-14.jpg!wh200)


