相关产品推荐更多 >
万千商家帮你免费找货
0 人在求购买到急需产品
- 详细信息
- 文献和实验
- 技术资料
- 免疫原:
The antiserum was produced against synthesized peptide derived from human CFTR (711-760).
- 亚型:
IgG
- 形态:
Liquid
- 保存条件:
Store as concentrated solution. Centrifuge briefly prior to opening vial. For short-term storage (1-2 weeks), store at 4ºC. For long-term storage, aliquot and store at -20ºC or below. Avoid multiple freeze-thaw cycles.
- 克隆性:
Polyclonal
- 标记物:
Unconjugated
- 适应物种:
Human, Mouse
- 保质期:
12 months from the shipping date of the product.
- 抗原来源:
Human
- 目录编号:
GTX87672
- 级别:
Primary Antibodies
- 库存:
Available
- 供应商:
GeneTex
- 宿主:
Rabbit
- 应用范围:
WB, ICC/IF, IHC-P
- 浓度:
Batch dependent (Please refer to the vial label for the specific concentration.)
- 靶点:
CFTR
- 抗体英文名:
CFTR antibody
- 抗体名:
CFTR 抗体
- 规格:
100 μg
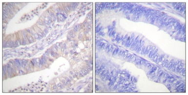
IHC-P analysis of human colon carcinoma tissue using GTX87672 CFTR antibody. The picture on the right is blocked with the synthesized peptide.
WB analysis of 293T cell lysate using GTX87672 CFTR antibody.
Dilution : 1:2000
WB analysis of NIH/3T3 cell lysates using GTX87672 CFTR antibody. The lane on the right is blocked with the synthesized peptide.
WB analysis of SH-SY5Y cell lysates using GTX87672 CFTR antibody.
Dilution : 1:2000
风险提示:丁香通仅作为第三方平台,为商家信息发布提供平台空间。用户咨询产品时请注意保护个人信息及财产安全,合理判断,谨慎选购商品,商家和用户对交易行为负责。对于医疗器械类产品,请先查证核实企业经营资质和医疗器械产品注册证情况。
文献和实验Kai Du et al., Journal of Cystic Fibrosis 2014
CFTR Folding Consortium: Methods Available for Studies of CFTR Folding and Correction
of expressed HA-tagged CFTR by ELISA and (b) the generation and use of an antibody to CFTR’s first extracellular loop for the detection of endogenous CFTR. Finally, we highlight a systematic collection of assays, the CFC Roadmap, which is being used to assess
CFTR Three-Dimensional Structure
CFTR is a member of the ATP-binding cassette family of membrane proteins. This is one of the best characterised membrane protein families in terms of structure and function. CFTR operates as an ion channel, unlike nearly all other family
Quantification of CFTR Transcripts
Quantification and analysis of CFTR transcripts is of crucial importance not only for cystic fibrosis (CF) diagnosis and prognosis, but also in evaluating the efficiency of various therapeutic approaches to CF, including gene therapy. Reverse
技术资料暂无技术资料 索取技术资料





![Fibulin 5 antibody [1G6A4]](https://img1.dxycdn.com/2023/0711/451/6106825198874858761-14.jpg!wh200)



