相关产品推荐更多 >
万千商家帮你免费找货
0 人在求购买到急需产品
- 详细信息
- 文献和实验
- 技术资料
- 免疫原:
Purified rabbit skeletal muscle sarcoplasmic reticulum.
- 亚型:
IgG1
- 形态:
Liquid
- 保存条件:
Store as concentrated solution. Centrifuge briefly prior to opening vial. For short-term storage (1-2 weeks), store at 4ºC. For long-term storage, aliquot and store at -20ºC or below. Avoid multiple freeze-thaw cycles.
- 克隆性:
Monoclonal
- 标记物:
Unconjugated
- 适应物种:
Human, Mouse, Rat, Rabbit, Dog, Guinea pig
- 保质期:
12 months from the shipping date of the product.
- 抗原来源:
Rabbit
- 目录编号:
GTX22818
- 级别:
Primary Antibodies
- 库存:
Available
- 供应商:
GeneTex
- 宿主:
Mouse
- 应用范围:
WB, ICC/IF, IHC-P, IHC-Fr, IHC
- 靶点:
This antibody detects sarcoplasmic or endoplasmic reticulum calcium 1 (SERCA1) ATPase. It recognizes an epitope between amino acids 199-505 of rabbit skeletal muscle ATPase, a region that is not exposed in native sarcoplasmic reticulum.
- 抗体英文名:
SERCA1 ATPase antibody [IIH11]
- 抗体名:
SERCA1 ATPase 抗体 [IIH11]
- 规格:
100 μl
ICC/IF analysis of C6 cells using GTX22818 SERCA1 ATPase antibody [IIH11].
Blue : Nuclei
Red : Actinbr>Fixation : formaldehyde
Dilution : 1:200 overnight at 4ºC
IHC-P analysis of mouse skeletal muscle tissue using GTX22818 SERCA1 ATPase antibody [IIH11].
Left : Primary antibody
Right : Negative control without primary antibody
Antigen retrieval : heat induced antigen retrieval was performed using 10mM sodium citrate (pH6.0) buffer, microwaved for 8-15 minutes
Dilution : 1:200
IHC-P analysis of mouse heart tissue using GTX22818 SERCA1 ATPase antibody [IIH11].
Left : Primary antibody
Right : Negative control without primary antibody
Antigen retrieval : heat induced antigen retrieval was performed using 10mM sodium citrate (pH6.0) buffer, microwaved for 8-15 minutes
Dilution : 1:20
WB analysis of 25 ug of human skeletal muscle (lane 1), rat skeletal muscle (lane 2) and mouse skeletal muscle (lane 3) using GTX22818 SERCA1 ATPase antibody [IIH11].
Dilution : 1:2000
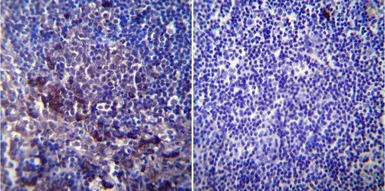
IHC-P analysis of mouse lymph node tissue using GTX22818 SERCA1 ATPase antibody [IIH11].
Left : Primary antibody
Right : Negative control without primary antibody
Antigen retrieval : heat induced antigen retrieval was performed using 10mM sodium citrate (pH6.0) buffer, microwaved for 8-15 minutes
Dilution : 1:200
IHC-P analysis of dog skeletal muscle tissue using GTX22818 SERCA1 ATPase antibody [IIH11].
风险提示:丁香通仅作为第三方平台,为商家信息发布提供平台空间。用户咨询产品时请注意保护个人信息及财产安全,合理判断,谨慎选购商品,商家和用户对交易行为负责。对于医疗器械类产品,请先查证核实企业经营资质和医疗器械产品注册证情况。
文献和实验Zhang Y et al., BMC Cancer 2019 (PMID:31023247)
Measurement of Ca2+-ATPase Activity (in PMCA and SERCA1)
Ca2+ -ATP pumps (those on the plasma membrane; PMCA and sarcoplasmic reticulum; SERCA1) have an important role to play in the regulation of intracellular calcium concentrations. In this chapter, three preparations, two membranes
IMMUNOSCREENING OF LAMBDA-GT11 BACTERIOPHAGE LIBRARIES WITH ANTIBODY PROBES
dishes of lysed E. coli to reduce anti-E. coli antibody background. These antibodies are present in all human sera, rabbit sera, and rodent sera. For each Petri dish containing solidified LB agar, mix 0.6ml of the Y1090 overnight-saturated culture with 30
Antibody Screening of Bacteriophage gt11 DNA Expression Libraries
Much of our current understanding of the molecular details of the activity and interactions of proteins has stemmed from the ability to isolate cDNA encoding these proteins. Computer-based analysis of deduced amino acid sequence allows
技术资料暂无技术资料 索取技术资料





![CD8 antibody [LT8] (PE)](https://img1.dxycdn.com/2023/0711/451/6106825198874858761-14.jpg!wh200)

![E-Cadherin antibody [67A4]](https://custom.dxycdn.com/trademd/upload/pic/2011/12/14/1323695840.jpg!small.t.1)

