相关产品推荐更多 >
万千商家帮你免费找货
0 人在求购买到急需产品
- 详细信息
- 文献和实验
- 技术资料
- 免疫原:
Recombinant protein corresponding to 150 N-terminal residues of human Nup358.
- 亚型:
IgG2b
- 形态:
Liquid
- 保存条件:
Store as concentrated solution. Centrifuge briefly prior to opening vial. For short-term storage (1-2 weeks), store at 4ºC. For long-term storage, aliquot and store at -20ºC or below. Avoid multiple freeze-thaw cycles.
- 克隆性:
Monoclonal
- 标记物:
Unconjugated
- 适应物种:
Human
- 保质期:
12 months from the shipping date of the product.
- 抗原来源:
Human
- 目录编号:
GTX79468
- 级别:
Primary Antibodies
- 库存:
Available
- 供应商:
GeneTex
- 宿主:
Mouse
- 应用范围:
WB, ICC/IF, IHC-P
- 浓度:
1 mg/ml (Please refer to the vial label for the specific concentration.)
- 靶点:
RANBP2
- 抗体英文名:
RANBP2 antibody [2E1]
- 抗体名:
RANBP2 抗体 [2E1]
- 规格:
100 μg
WB analysis of 25 ug of cytoplasmic and nuclear HeLa cell using GTX79468 RANBP2 antibody [2E1].
Dilution : 1:1000
ICC/IF analysis of HeLa cells using GTX79468 RANBP2 antibody [2E1].
Fixation : 4% PFA
Permeabilization : 0.1% Triton X-100 in PBS
Dilution : 10 μg/ml in 1% Blocker BSA in PBS
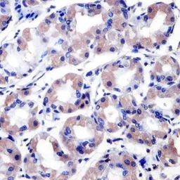
IHC-P analysis of human stomach tissue using GTX79468 RANBP2 antibody [2E1].
Antigen retrieval : heat induced antigen retrieval was performed using 10mM sodium citrate (pH6.0) buffer, microwaved for 8-15 minutes
Dilution : 1:100
风险提示:丁香通仅作为第三方平台,为商家信息发布提供平台空间。用户咨询产品时请注意保护个人信息及财产安全,合理判断,谨慎选购商品,商家和用户对交易行为负责。对于医疗器械类产品,请先查证核实企业经营资质和医疗器械产品注册证情况。
文献和实验secondary antibody review -- data from 99 publications
cytometry used as a control to detect cell responses targeted antigen 7 Alexa Fluor 488 7 Cy3 8 goat IgG Alexa Fluor 488 1:2000 detect antibody binding in human embryonic kidney 293T cells Invitrogen 9 donkey
Performing In Vitro Sumoylation Reactions Using Recombinant Enzymes
to perform in vitro sumoylation reactions, namely the E1 activating enzyme Aos1/Uba2 (SAE1/SAE2), the E2 conjugating enzyme Ubc9, SUMO-1 (identical protocols can be used for SUMO-2/3), and the catalytic domain of the E3 ligase RanBP2/Nup358. Two alternative
Studies of the Ubiquitin Proteasome System
modification; NEDD8; E1; E2; E3
技术资料暂无技术资料 索取技术资料








![CD169 antibody [3D6.112] (FITC)](https://img1.dxycdn.com/2023/0711/451/6106825198874858761-14.jpg!wh200)

