相关产品推荐更多 >
万千商家帮你免费找货
0 人在求购买到急需产品
- 详细信息
- 文献和实验
- 技术资料
- 免疫原:
Porcine lamin preparation.
- 亚型:
IgG2b
- 形态:
Liquid
- 保存条件:
Store as concentrated solution. Centrifuge briefly prior to opening vial. For short-term storage (1-2 weeks), store at 4ºC. For long-term storage, aliquot and store at -20ºC or below. Avoid multiple freeze-thaw cycles.
- 克隆性:
Monoclonal
- 标记物:
Unconjugated
- 适应物种:
Human, Mouse, Bovine, Dog, Pig
- 保质期:
12 months from the shipping date of the product.
- 抗原来源:
Pig
- 目录编号:
GTX80813
- 级别:
Primary Antibodies
- 库存:
Available
- 供应商:
GeneTex
- 宿主:
Mouse
- 应用范围:
WB, ICC/IF, IHC-Fr
- 靶点:
Lamin A + C
- 抗体英文名:
Lamin A + C antibody [mab636]
- 抗体名:
Lamin A + C 抗体 [mab636]
- 规格:
200 μl
ICC/IF analysis of Human fibroblast cells using GTX80813 Lamin A + C antibody [mab636].
Fixation : methanol
Permeabilization : 0.1% Triton X-100 in TBS for 10 minutes
Dilution : 1:200 for at least 1 hour at room temperature
ICC/IF analysis of U251 cells using GTX80813 Lamin A + C antibody [mab636]. Cells were probed without (right) or with(left) an antibody.
Green : Primary antibody
Blue : Nuclei
Red : Actin
Fixation : formaldehyde
Dilution : 1:200 overnight at 4ºC
ICC/IF analysis of HMVEC Cells using GTX80813 Lamin A + C antibody [mab636].
Green : Primary antibody
Blue : Nuclei
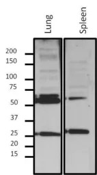
WB analysis of 10μg nuclear extract from fractionated mouse tissue lysate using GTX80813 Lamin A + C antibody [mab636].
Dilution : 1:500
WB analysis of various amounts of human fibroblast whole cell lysate using GTX80813 Lamin A + C antibody [mab636].
Dilution : 1:2000
ICC/IF analysis of U2-OS cells (A) or HeLa cells (B) using GTX80813 Lamin A + C antibody [mab636].
Green : Primary antibody
Blue : Nuclei
Fixation : Formalin
Permeabilization : 0.1% Triton X-100 in TBS for 10 minutes
Dilution : 1:100 for at least 1 hour at room temperature
ICC/IF analysis of MDCK cells using GTX80813 Lamin A + C antibody [mab636].
Red : Primary antibody
Blue : cell nucleus
Permeabilization : 0.1% Triton X-100
Dilution : 1:100 in blocking buffer for at least 1 hour at room temperature
ICC/IF analysis of A549 cells using GTX80813 Lamin A + C antibody [mab636].
Green : Primary antibody
Blue : Nuclei
ICC/IF analysis of HeLa cells using GTX80813 Lamin A + C antibody [mab636].
风险提示:丁香通仅作为第三方平台,为商家信息发布提供平台空间。用户咨询产品时请注意保护个人信息及财产安全,合理判断,谨慎选购商品,商家和用户对交易行为负责。对于医疗器械类产品,请先查证核实企业经营资质和医疗器械产品注册证情况。
文献和实验Purification of mAb (IgG) by Chang-Duk Jun, 03/14/2000 Purpose Materials Antibody 7E3 , 2L sup grown in flasks, frozen and thawed overnight. BioRad Affi-Gel Protein A MAPS II Buffers
T-Cell Activation Using mAb to CD3
of the antibody solution to each well of the 96-well assay plate. For the control unstimulated wells, add 50µl of sterile PBS. Tightly cover the plate with ParafilmTM to avoid sample evaporation and incubate at 37°C for 2 hours or prepare the plate one day
Expression of Full Length Monoclonal Antibodies (mAb) in Algal Chloroplast
Antibodies have come to the forefront of protein therapeutics in the past decade and while they are now widely accepted and administered to patients, the cost of using antibody therapy remains extremely high. Here we describe a protocol
技术资料暂无技术资料 索取技术资料






![MRPL39 antibody [N1C1]](https://img1.dxycdn.com/2023/0711/255/2344116916935858761-14.jpg!wh200)


