相关产品推荐更多 >
万千商家帮你免费找货
0 人在求购买到急需产品
- 详细信息
- 文献和实验
- 技术资料
- 免疫原:
The antiserum was produced against synthesized phosphopeptide derived from human Src around the phosphorylation site of tyrosine 529 (P-Q-Y(p) -Q-P). The Tyr529 of human Src is equivalent to Tyr527 of chicken Src.
- 亚型:
IgG
- 形态:
Liquid
- 保存条件:
Store as concentrated solution. Centrifuge briefly prior to opening vial. For short-term storage (1-2 weeks), store at 4ºC. For long-term storage, aliquot and store at -20ºC or below. Avoid multiple freeze-thaw cycles.
- 克隆性:
Polyclonal
- 标记物:
Unconjugated
- 适应物种:
Human
- 保质期:
12 months from the shipping date of the product.
- 抗原来源:
Human
- 目录编号:
GTX78941
- 级别:
Primary Antibodies
- 库存:
Available
- 供应商:
GeneTex
- 宿主:
Rabbit
- 应用范围:
WB, IHC-P
- 浓度:
Batch dependent (Please refer to the vial label for the specific concentration.)
- 靶点:
Based on sequence homology, this antibody may cross with other Src family members such as YES1 , FYN proteins when phosphorylated at the equivalent sites.
- 抗体英文名:
Src (phospho Tyr527) antibody
- 抗体名:
Src (phospho Tyr527) 抗体
- 规格:
100 μg
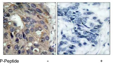
IHC-P analysis of human breast carcinoma tissue using GTX78941 Src (phospho Tyr527) antibody.
WB analysis of EGF-treated 293 cell lysate using GTX78941 Src (phospho Tyr527) antibody.
风险提示:丁香通仅作为第三方平台,为商家信息发布提供平台空间。用户咨询产品时请注意保护个人信息及财产安全,合理判断,谨慎选购商品,商家和用户对交易行为负责。对于医疗器械类产品,请先查证核实企业经营资质和医疗器械产品注册证情况。
文献和实验(4) 而 527 位 Tyr 的磷酸化,当受体无活性时, Src 527-Tyr 自身磷酸化并与 SH2 区结合,抑制 416 位点磷酸化,受体活化后 , 特异位点的 Tyr 磷酸化并与 Src 的 SH2 结合, Src 的 527 从 SH2 区释放出,并去磷酸化,而 Tyr-416 位点失去抑制而磷酸化, Src 激酶活化。 v-src 和 c-src 的 DNA 顺序基本相同,但 v-src 无内含子,它比 c-src 少编码了 7 个氨基酸( C 端),且 C
Using Phospho‐Motif Antibodies to Determine Kinase Substrates
comprising both the phosphorylated residue and the surrounding residues that determine kinase specificity, with degenerate residues taking up the remaining positions. Currently, several categories of phospho?motif antibody are commercially available
Optimized Protocol to Make Phospho-Specific Antibodies that Work
, not simply its level of expression. In this review, we will discuss both the design of the phosphopeptide immunogen and immunization. The affinity purification of the phospho-specific antibody as well as the methods most suitable for characterizing
技术资料暂无技术资料 索取技术资料






![Avian Influenza A virus H5N8 HA (Hemagglutinin) antibody [HL1550]](https://img1.dxycdn.com/2023/0711/058/8406876405285858761-14.jpg!wh200)


